Skip to main content

RGS16 Antibody (OTI4E5) - Azide and BSA Free

Novus Biologicals, part of Bio-Techne | Catalog # NBP2-73881

Novus Biologicals, part of Bio-Techne
Catalog #
Availability
Size / Price
Qty
Loading...
NBP2-73881

Key Product Details

Species Reactivity

Human, Mouse, Rat

Applications

Immunohistochemistry, Immunohistochemistry-Paraffin, Western Blot, Flow Cytometry, Immunocytochemistry/ Immunofluorescence, CyTOF-ready

Label

Unconjugated

Antibody Source

Monoclonal Mouse IgG1 Clone # OTI4E5

Format

Azide and BSA Free

Concentration

LYOPH mg/ml

Product Specifications

Immunogen

Full length human recombinant protein of human RGS16(NP_002919) produced in HEK293T cell.

Reactivity Notes

Please note that this antibody is reactive to Mouse and derived from the same host, Mouse. Mouse-On-Mouse blocking reagent may be needed for IHC and ICC experiments to reduce high background signal. You can find these reagents under catalog numbers PK-2200-NB and MP-2400-NB. Please contact Technical Support if you have any questions.

Clonality

Monoclonal

Host

Mouse

Isotype

IgG1

Theoretical MW

22.6 kDa.
Disclaimer note: The observed molecular weight of the protein may vary from the listed predicted molecular weight due to post translational modifications, post translation cleavages, relative charges, and other experimental factors.

Description

Novus Biologicals Mouse RGS16 Antibody (OTI4E5) - Azide and BSA Free (NBP2-01584) is a monoclonal antibody validated for use in IHC, WB, Flow and ICC/IF. All Novus Biologicals antibodies are covered by our 100% guarantee.

Scientific Data Images for RGS16 Antibody (OTI4E5) - Azide and BSA Free

Western Blot: RGS16 Antibody (OTI4E5)Azide and BSA Free [NBP2-73881]

Western Blot: RGS16 Antibody (OTI4E5)Azide and BSA Free [NBP2-73881]

Western Blot: RGS16 Antibody (OTI4E5) - Azide and BSA Free [NBP2-73881] - HEK293T cells were transfected with the pCMV6-ENTRY control (Left lane) or pCMV6-ENTRY RGS16 (Right lane) cDNA for 48 hrs and lysed. Equivalent amounts of cell lysates (5 ug per lane) were separated by SDS-PAGE and immunoblotted with anti-RGS16.
Immunocytochemistry/ Immunofluorescence: RGS16 Antibody (OTI4E5) - Azide and BSA Free [NBP2-73881]

Immunocytochemistry/ Immunofluorescence: RGS16 Antibody (OTI4E5) - Azide and BSA Free [NBP2-73881]

Immunocytochemistry/Immunofluorescence: RGS16 Antibody (OTI4E5) - Azide and BSA Free [NBP2-73881] - Staining of COS7 cells transiently transfected by pCMV6-ENTRY RGS16.
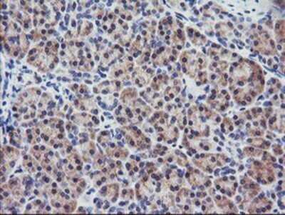
Immunohistochemistry: RGS16 Antibody (OTI4E5) - Azide and BSA Free [NBP2-73881]

Immunohistochemistry: RGS16 Antibody (OTI4E5) - Azide and BSA Free [NBP2-73881]

Immunohistochemistry: RGS16 Antibody (OTI4E5) - Azide and BSA Free [NBP2-73881] - Staining of paraffin-embedded Human pancreas tissue using anti-RGS16 mouse monoclonal antibody.

Applications for RGS16 Antibody (OTI4E5) - Azide and BSA Free

Application
Recommended Usage

Flow Cytometry

1:100

Immunocytochemistry/ Immunofluorescence

1:100

Immunohistochemistry

1:150

Western Blot

1:500-2000

Formulation, Preparation, and Storage

Purification

Immunogen affinity purified

Reconstitution

we recommend adding 100uL distilled water to a final antibody concentration of about 1 mg/mL. To use this carrier-free antibody for conjugation experiment, we strongly recommend performing another round of desalting process.

Formulation

Lyophilized from PBS (pH 7.3) with 8% Trehalose

Format

Azide and BSA Free

Preservative

No Preservative

Concentration

LYOPH mg/ml

Shipping

The product is shipped with polar packs. Upon receipt, store it immediately at the temperature recommended below.

Stability & Storage

Store at -20C. Avoid freeze-thaw cycles.

Background: RGS16

RGS16 (regulator of G protein signalling 16) negatively regulates G protein coupled receptor signalling. RGS16 inhibits signal transduction by increasing the GTPase activity of G protein alpha subunits, thereby driving them into their inactive GDP bound form. Binds to G(i) alpha and G(o) alpha, but not to G(s) alpha. May play a role in regulating the kinetics of signaling in the phototransduction cascade.

Alternate Names

A28-RGS14, A28-RGS14P, hRGS-r, regulator of G-protein signaling 16, regulator of G-protein signalling 16, Retinally abundant regulator of G-protein signaling, Retinal-specific RGS, RGSR, RGS-R

Gene Symbol

RGS16

Additional RGS16 Products

Product Documents for RGS16 Antibody (OTI4E5) - Azide and BSA Free

Certificate of Analysis

To download a Certificate of Analysis, please enter a lot number in the search box below.

Product Specific Notices for RGS16 Antibody (OTI4E5) - Azide and BSA Free

This product is for research use only and is not approved for use in humans or in clinical diagnosis. Primary Antibodies are guaranteed for 1 year from date of receipt.

Loading...
Loading...
Loading...
Loading...
Loading...
Loading...