Skip to main content

RFXAP Antibody - Azide and BSA Free

Novus Biologicals, part of Bio-Techne | Catalog # H00005994-D01P

Novus Biologicals, part of Bio-Techne
Catalog #
Availability
Size / Price
Qty
Loading...
H00005994-D01P

Key Product Details

Species Reactivity

Human

Applications

Western Blot, Immunocytochemistry/ Immunofluorescence

Label

Unconjugated

Antibody Source

Polyclonal Rabbit IgG

Format

Azide and BSA Free

Concentration

Concentrations vary lot to lot. See vial label for concentration. If unlisted please contact technical services.

Product Specifications

Immunogen

RFXAP (AAH26088.1, 1 a.a. - 272 a.a.) full-length human protein. MEAQSVAEGAGPGAASGVPHPAALAPAAAPTLAPASVAAAASQFTLLVMQPCAGQDEAAAPGGSVGAGKPVRYLCEGAGDGEEEAGEDEADLLDTSDPPGGGESAASLEDLEDEETHSGGEGSSGGARRRGSGGGSMSKTCTYEGCSETTSQVAKQRKPWMCKKHRNKMYKDKYKKKKSDQALNCGGTASTGSAGNVKLEESADNILSIVKQRTGSFGDRPARPTLLEQVLNQKRLSLLRSPEVVQFLQKQQQLLNQQVLEQRQQQFPGTSM

Specificity

Reacts with regulatory factor X-associated protein.

Clonality

Polyclonal

Host

Rabbit

Isotype

IgG

Description

Quality control test: Antibody reactive against mammalian transfected lysate.

Scientific Data Images for RFXAP Antibody - Azide and BSA Free

Western Blot: RFXAP Antibody [H00005994-D01P]

Western Blot: RFXAP Antibody [H00005994-D01P]

Western Blot: RFXAP Antibody [H00005994-D01P] - Analysis of RFXAP expression in human kidney.
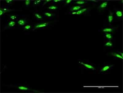
Immunocytochemistry/ Immunofluorescence: RFXAP Antibody [H00005994-D01P]

Immunocytochemistry/ Immunofluorescence: RFXAP Antibody [H00005994-D01P]

Immunocytochemistry/Immunofluorescence: RFXAP Antibody [H00005994-D01P] - Analysis of antibody to RFXAP on HeLa cell. Antibody concentration 20 ug/ml.
Western Blot: RFXAP Antibody [H00005994-D01P]

Western Blot: RFXAP Antibody [H00005994-D01P]

Western Blot: RFXAP Antibody [H00005994-D01P] - Analysis of RFXAP expression in transfected 293T cell line by RFXAP polyclonal antibody.Lane 1: RFXAP transfected lysate(28.30 KDa).Lane 2: Non-transfected lysate.

Applications for RFXAP Antibody - Azide and BSA Free

Application
Recommended Usage

Immunocytochemistry/ Immunofluorescence

Optimal dilutions of this antibody should be experimentally determined.

Western Blot

Optimal dilutions of this antibody should be experimentally determined.
Application Notes
This antibody is reactive against tissue and transfected lysate in WB and as a detection antibody in ELISA.

Formulation, Preparation, and Storage

Purification

Protein A purified

Formulation

PBS (pH 7.4)

Format

Azide and BSA Free

Preservative

No Preservative

Concentration

Concentrations vary lot to lot. See vial label for concentration. If unlisted please contact technical services.

Shipping

The product is shipped with polar packs. Upon receipt, store it immediately at the temperature recommended below.

Stability & Storage

Aliquot and store at -20C or -80C. Avoid freeze-thaw cycles.

Background: RFXAP

Major histocompatibility (MHC) class II molecules are transmembrane proteins that have a central role in development and control of the immune system. The protein encoded by this gene, along with regulatory factor X-associated ankyrin-containing protein and regulatory factor-5, forms a complex that binds to the X box motif of certain MHC class II gene promoters and activates their transcription. Once bound to the promoter, this complex associates with the non-DNA-binding factor MHC class II transactivator, which controls the cell type specificity and inducibility of MHC class II gene expression. Mutations in this gene have been linked to bare lymphocyte syndrome type II, complementation group D. Transcript variants utilizing different polyA signals have been found for this gene. [provided by RefSeq]

Alternate Names

regulatory factor X-associated protein, RFX DNA-binding complex 36 kDa subunit, RFX-associated protein

Entrez Gene IDs

5994 (Human)

Gene Symbol

RFXAP

Additional RFXAP Products

Product Documents for RFXAP Antibody - Azide and BSA Free

Certificate of Analysis

To download a Certificate of Analysis, please enter a lot number in the search box below.

Product Specific Notices for RFXAP Antibody - Azide and BSA Free

This product is produced by and distributed for Abnova, a company based in Taiwan.

This product is for research use only and is not approved for use in humans or in clinical diagnosis. Primary Antibodies are guaranteed for 1 year from date of receipt.

Loading...
Loading...
Loading...
Loading...