Skip to main content

RFX7 Antibody - BSA Free

Novus Biologicals, part of Bio-Techne | Catalog # NBP1-83705

Novus Biologicals, part of Bio-Techne
Catalog #
Availability
Size / Price
Qty
Loading...
NBP1-83705-25ul
NBP1-83705

Key Product Details

Species Reactivity

Validated:

Human

Predicted:

Mouse (98%), Rat (98%). Backed by our 100% Guarantee.

Applications

Immunohistochemistry, Immunohistochemistry-Paraffin, Immunocytochemistry/ Immunofluorescence

Label

Unconjugated

Antibody Source

Polyclonal Rabbit IgG

Format

BSA Free

Concentration

Concentrations vary lot to lot. See vial label for concentration. If unlisted please contact technical services.

Product Specifications

Immunogen

This antibody was developed against Recombinant Protein corresponding to amino acids: VVTQHMQSVKQAPKTPQNVPASPGGDRSARHRYPQILPKPANTSALTIRSPTTVLFTSSPIKTAVVPASHMSSLNVVKMTTISLTPSNSNTPLK

Clonality

Polyclonal

Host

Rabbit

Isotype

IgG

Scientific Data Images for RFX7 Antibody - BSA Free

Immunocytochemistry/ Immunofluorescence: RFX7 Antibody [NBP1-83705]

Immunocytochemistry/ Immunofluorescence: RFX7 Antibody [NBP1-83705]

Immunocytochemistry/Immunofluorescence: RFX7 Antibody [NBP1-83705] - Staining of human cell line A-431 shows positivity in nucleus and nuclear membrane.
RFX7 Antibody

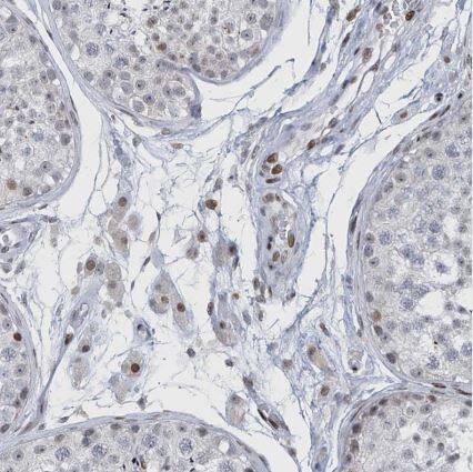
Immunohistochemistry-Paraffin: RFX7 Antibody [NBP1-83705] -

Immunohistochemistry-Paraffin: RFX7 Antibody [NBP1-83705] -Staining of human testis shows moderate nuclear positivity in Leydig cells.
RFX7 Antibody

Immunohistochemistry-Paraffin: RFX7 Antibody [NBP1-83705] -

Immunohistochemistry-Paraffin: RFX7 Antibody [NBP1-83705] -Staining of human cerebral cortex shows moderate nuclear positivity in glial cells.

Applications for RFX7 Antibody - BSA Free

Application
Recommended Usage

Immunocytochemistry/ Immunofluorescence

0.25-2 ug/ml

Immunohistochemistry

1:20 - 1:50

Immunohistochemistry-Paraffin

1:20 - 1:50
Application Notes
For IHC-Paraffin, HIER pH 6 retrieval is recommended. ICC/IF Fixation Permeabilization: Use PFA/Triton X-100.

Formulation, Preparation, and Storage

Purification

Affinity purified

Formulation

PBS (pH 7.2) and 40% Glycerol

Format

BSA Free

Preservative

0.02% Sodium Azide

Concentration

Concentrations vary lot to lot. See vial label for concentration. If unlisted please contact technical services.

Shipping

The product is shipped with polar packs. Upon receipt, store it immediately at the temperature recommended below.

Stability & Storage

Store at 4C short term. Aliquot and store at -20C long term. Avoid freeze-thaw cycles.

Background: RFX7

RFX7 is a member of the regulatory factor X (RFX) family of transcription factors (see RFX1, MIM 600006) (Aftab et al.,2008 (PubMed 18673564)).(supplied by OMIM)

Alternate Names

DNA-binding protein RFX7, FLJ12994, FLJ21104, Regulatory factor X 7, regulatory factor X domain containing 2, Regulatory factor X domain-containing protein 2, regulatory factor X, 7, RFXDC2MGC131836

Gene Symbol

RFX7

Additional RFX7 Products

Product Documents for RFX7 Antibody - BSA Free

Certificate of Analysis

To download a Certificate of Analysis, please enter a lot number in the search box below.

Product Specific Notices for RFX7 Antibody - BSA Free

This product is for research use only and is not approved for use in humans or in clinical diagnosis. Primary Antibodies are guaranteed for 1 year from date of receipt.

Loading...
Loading...
Loading...
Loading...