Skip to main content

RFC5 Antibody (1B1) - Azide and BSA Free

Novus Biologicals, part of Bio-Techne | Catalog # H00005985-M01

Novus Biologicals, part of Bio-Techne
Catalog #
Availability
Size / Price
Qty
Loading...
H00005985-M01

Key Product Details

Species Reactivity

Human

Applications

Western Blot, ELISA, Immunocytochemistry/ Immunofluorescence

Label

Unconjugated

Antibody Source

Monoclonal Mouse IgG2a Kappa Clone # 1B1

Format

Azide and BSA Free

Concentration

Concentrations vary lot to lot. See vial label for concentration. If unlisted please contact technical services.

Product Specifications

Immunogen

RFC5 (AAH13961, 1 a.a. ~ 340 a.a) full-length recombinant protein with GST tag. MW of the GST tag alone is 26 KDa. METSALKQQEQPAATKIRNLPWVEKYRPQTLNDLISHQDILSTIQKFINEDRLPHLLLYGPPGTGKTSTILACAKQLYKDKEFGSMVLELNASDDRGIDIIRGPILSFASTRTIFKKGFKLVILDEADAMTQDAQNALRRVIEKFTENTRFCLICNYLSKIIPALQSRCTRFRFGPLTPELMAPRLEHVVEEEKVDISEDGMKALVTLSSGDMRRALNILQSTNMAFGKVTEETVYTCTGHPLKSDIANILDWMLNQDFTTAYRNITELKTLKGLALHDILTEIHLFVHRVDFPSSVRIHLLTKMADIEYRLSVGTNEKIQLSSLIAAFQVTRDLIVAEA

Specificity

RFC5 - replication factor C (activator 1) 5, 36.5kDa (1B1)

Clonality

Monoclonal

Host

Mouse

Isotype

IgG2a Kappa

Description

Quality control test: Antibody Reactive Against Recombinant Protein.

Scientific Data Images for RFC5 Antibody (1B1) - Azide and BSA Free

Western Blot: RFC5 Antibody (1B1) [H00005985-M01]

Western Blot: RFC5 Antibody (1B1) [H00005985-M01]

Western Blot: RFC5 Antibody (1B1) [H00005985-M01] - RFC5 monoclonal antibody (M01), clone 1B1. Analysis of RFC5 expression in Jurkat.
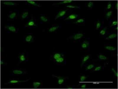
Immunocytochemistry/ Immunofluorescence: RFC5 Antibody (1B1) [H00005985-M01]

Immunocytochemistry/ Immunofluorescence: RFC5 Antibody (1B1) [H00005985-M01]

Immunocytochemistry/Immunofluorescence: RFC5 Antibody (1B1) [H00005985-M01] - Analysis of monoclonal antibody to RFC5 on HeLa cell . Antibody concentration 10 ug/ml.

Applications for RFC5 Antibody (1B1) - Azide and BSA Free

Application
Recommended Usage

Western Blot

1:500
Application Notes
Antibody reactivity against Recombinant Protein with GST tag on ELISA and WB. GST tag alone is used as a negative control.

Formulation, Preparation, and Storage

Purification

IgG purified

Formulation

In 1x PBS, pH 7.4

Format

Azide and BSA Free

Preservative

No Preservative

Concentration

Concentrations vary lot to lot. See vial label for concentration. If unlisted please contact technical services.

Shipping

The product is shipped with polar packs. Upon receipt, store it immediately at the temperature recommended below.

Stability & Storage

Aliquot and store at -20C or -80C. Avoid freeze-thaw cycles.

Background: RFC5

The elongation of primed DNA templates by DNA polymerase delta and DNA polymerase epsilon requires the accessory proteins proliferating cell nuclear antigen (PCNA) and replication factor C (RFC). RFC, also named activator 1, is a protein complex consisting of five distinct subunits of 140, 40, 38, 37, and 36 kD. This gene encodes the 36 kD subunit. This subunit can interact with the C-terminal region of PCNA. It forms a core complex with the 38 and 40 kDa subunits. The core complex possesses DNA-dependent ATPase activity, which was found to be stimulated by PCNA in an in vitro system. Alternatively spliced transcript variants encoding distinct isoforms have been reported. [provided by RefSeq]

Alternate Names

Activator 1 36 kDa subunit, Activator 1 subunit 5,36.5 kD subunit, MGC1155, replication factor C (activator 1) 5, 36.5kDa, RF-C 36 kDa subunit, RFC36replication factor C (activator 1) 5 (36.5kD)

Entrez Gene IDs

5985 (Human)

Gene Symbol

RFC5

Additional RFC5 Products

Product Documents for RFC5 Antibody (1B1) - Azide and BSA Free

Certificate of Analysis

To download a Certificate of Analysis, please enter a lot number in the search box below.

Product Specific Notices for RFC5 Antibody (1B1) - Azide and BSA Free

This product is produced by and distributed for Abnova, a company based in Taiwan.

This product is for research use only and is not approved for use in humans or in clinical diagnosis. Primary Antibodies are guaranteed for 1 year from date of receipt.

Loading...
Loading...
Loading...
Loading...