Skip to main content

Retinol Binding Protein RBP Antibody (OTI2H3)

Novus Biologicals, part of Bio-Techne | Catalog # NBP2-00637

Novus Biologicals, part of Bio-Techne
Catalog #
Availability
Size / Price
Qty
Loading...
NBP2-00637

Key Product Details

Species Reactivity

Human, Mouse, Rat

Applications

Flow Cytometry, Immunocytochemistry/ Immunofluorescence, Immunohistochemistry, Immunohistochemistry-Paraffin, Western Blot

Label

Unconjugated

Antibody Source

Monoclonal Mouse IgG2A Clone # OTI2H3

Concentration

Please see the vial label for concentration. If unlisted please contact technical services.

Product Specifications

Immunogen

Full length human recombinant protein of human RBP1 (NP_002890) produced in HEK293T cell.

Reactivity Notes

Please note that this antibody is reactive to Mouse and derived from the same host, Mouse. Mouse-On-Mouse blocking reagent may be needed for IHC and ICC experiments to reduce high background signal. You can find these reagents under catalog numbers PK-2200-NB and MP-2400-NB. Please contact Technical Support if you have any questions.

Clonality

Monoclonal

Host

Mouse

Isotype

IgG2A

Theoretical MW

15.7 kDa.
Disclaimer note: The observed molecular weight of the protein may vary from the listed predicted molecular weight due to post translational modifications, post translation cleavages, relative charges, and other experimental factors.

Description

Novus Biologicals Mouse Retinol Binding Protein RBP Antibody (OTI2H3) (NBP2-00637) is a monoclonal antibody validated for use in IHC, WB, Flow and ICC/IF. All Novus Biologicals antibodies are covered by our 100% guarantee.

Scientific Data Images for Retinol Binding Protein RBP Antibody (OTI2H3)

Western Blot: Retinol Binding Protein RBP Antibody (OTI2H3) [NBP2-00637]

Western Blot: Retinol Binding Protein RBP Antibody (OTI2H3) [NBP2-00637]

Western Blot: Retinol Binding Protein RBP Antibody (2H3) [NBP2-00637] - HEK293T cells were transfected with the pCMV6-ENTRY control (Left lane) or pCMV6-ENTRY Retinol Binding Protein RBP (Right lane) cDNA for 48 hrs and lysed. Equivalent amounts of cell lysates (5 ug per lane) were separated by SDS-PAGE and immunoblotted with anti-Retinol Binding Protein RBP.
Immunocytochemistry/Immunofluorescence: Retinol Binding Protein RBP Antibody (2H3) [NBP2-00637] Staining of COS7 cells transiently transfected by pCMV6-ENTRY Retinol Binding Protein RBP.
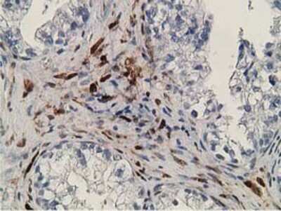
Immunohistochemistry-Paraffin: Retinol Binding Protein RBP Antibody (OTI2H3) [NBP2-00637]

Immunohistochemistry-Paraffin: Retinol Binding Protein RBP Antibody (OTI2H3) [NBP2-00637]

Immunohistochemistry-Paraffin: Retinol Binding Protein RBP Antibody (2H3) [NBP2-00637] - Staining of paraffin-embedded Human Ovary tissue using anti-Retinol Binding Protein RBP mouse monoclonal antibody.

Applications for Retinol Binding Protein RBP Antibody (OTI2H3)

Application
Recommended Usage

Flow Cytometry

1:100

Immunocytochemistry/ Immunofluorescence

1:100

Immunohistochemistry

1:150

Immunohistochemistry-Paraffin

1:150

Western Blot

1:2000

Formulation, Preparation, and Storage

Purification

Immunogen affinity purified

Formulation

PBS (pH 7.3), 1.0% BSA and 50% Glycerol

Preservative

0.02% Sodium Azide

Concentration

Please see the vial label for concentration. If unlisted please contact technical services.

Shipping

The product is shipped with polar packs. Upon receipt, store it immediately at the temperature recommended below.

Stability & Storage

Store at -20C. Avoid freeze-thaw cycles.

Background: Retinol Binding Protein RBP

This gene encodes the carrier protein involved in the transport of retinol (vitamin A alcohol) from the liver storage site to peripheral tissue. Vitamin A is a fat-soluble vitamin necessary for growth, reproduction, differentiation of epithelial tissues, and vision. Multiple transcript variants encoding different isoforms have been found for this gene. [provided by RefSeq].

Alternate Names

C, Cellular retinol-binding protein, CRABP-I, CRBP1CRBP-I, CRBPCellular retinol-binding protein I, CRBPI, RBPC, retinol binding protein 1, cellular, retinol-binding protein 1, retinol-binding protein 1, cellular

Entrez Gene IDs

5947 (Human)

Gene Symbol

RBP1

Additional Retinol Binding Protein RBP Products

Product Documents for Retinol Binding Protein RBP Antibody (OTI2H3)

Certificate of Analysis

To download a Certificate of Analysis, please enter a lot number in the search box below.

Product Specific Notices for Retinol Binding Protein RBP Antibody (OTI2H3)

This product is for research use only and is not approved for use in humans or in clinical diagnosis. Primary Antibodies are guaranteed for 1 year from date of receipt.

Loading...
Loading...
Loading...
Loading...
Loading...