Skip to main content

RED Antibody - BSA Free

Novus Biologicals, part of Bio-Techne | Catalog # NBP2-20120

Novus Biologicals, part of Bio-Techne
Catalog #
Availability
Size / Price
Qty
Loading...
NBP2-20120

Key Product Details

Species Reactivity

Validated:

Human

Predicted:

Bovine (97%), Chimpanzee (99%), Mouse (96%), Rat (96%), Rhesus Macaque (98%). Backed by our 100% Guarantee.

Applications

Immunohistochemistry, Immunohistochemistry-Paraffin, Western Blot, Immunocytochemistry/ Immunofluorescence

Label

Unconjugated

Antibody Source

Polyclonal Rabbit IgG

Format

BSA Free

Concentration

Concentrations vary lot to lot. See vial label for concentration. If unlisted please contact technical services.

Product Specifications

Immunogen

Recombinant protein encompassing a sequence within the center region of human RED. The exact sequence is proprietary.

Reactivity Notes

Chicken (83%).

Clonality

Polyclonal

Host

Rabbit

Isotype

IgG

Theoretical MW

66 kDa.
Disclaimer note: The observed molecular weight of the protein may vary from the listed predicted molecular weight due to post translational modifications, post translation cleavages, relative charges, and other experimental factors.

Description

Novus Biologicals Rabbit RED Antibody - BSA Free (NBP2-20120) is a polyclonal antibody validated for use in IHC, WB and ICC/IF. All Novus Biologicals antibodies are covered by our 100% guarantee.

Scientific Data Images for RED Antibody - BSA Free

Western Blot: RED Antibody [NBP2-20120]

Western Blot: RED Antibody [NBP2-20120]

Western Blot: RED Antibody [NBP2-20120] - Sample (30 ug of whole cell lysate) A: 293T B: A431 C: HepG2 7. 5% SDS PAGE gel, diluted at 1:3000.
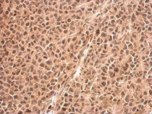
RED Antibody - BSA Free

Immunohistochemistry: RED Antibody [NBP2-20120] -

RED antibody detects IK protein at cytosol and nucleus on HeLa xenograft by immunohistochemical analysis.
Sample: Paraffin-embedded HeLa xenograft.
RED antibody (NBP2-20120) dilution: 1:500.
br>Antigen Retrieval: Trilogy(TM) (EDTA based, pH 8.0) buffer, 15min
RED Antibody - BSA Free

Immunocytochemistry/ Immunofluorescence: RED Antibody [NBP2-20120] -

RED antibody detects RED protein at nucleus by immunofluorescent analysis.
Sample: A549 cells were fixed in 4% paraformaldehyde at RT for 15 min.
Green: RED protein stained by RED antibody (NBP2-20120) diluted at 1:500.
Blue: Hoechst 33342 staining.
Scale bar = 10 um.

Applications for RED Antibody - BSA Free

Application
Recommended Usage

Immunocytochemistry/ Immunofluorescence

1:100-1:1000

Immunohistochemistry

1:100-1:1000

Immunohistochemistry-Paraffin

1:100-1:1000

Western Blot

1:500-1:3000

Formulation, Preparation, and Storage

Purification

Antigen Affinity-purified

Formulation

PBS, 20% Glycerol

Format

BSA Free

Preservative

0.01% Thimerosal

Concentration

Concentrations vary lot to lot. See vial label for concentration. If unlisted please contact technical services.

Shipping

The product is shipped with polar packs. Upon receipt, store it immediately at the temperature recommended below.

Stability & Storage

Aliquot and store at -20C or -80C. Avoid freeze-thaw cycles.

Background: RED

The protein encoded by this gene was identified by its RED repeat, a stretch of repeated arginine, glutamic acid and aspartic acid residues. The protein localizes to discrete dots within the nucleus, excluding the nucleolus. Its function is unknown. This gene maps to chromosome 5; however, a pseudogene may exist on chromosome 2. [provided by RefSeq]

Alternate Names

chondrosarcoma-associated protein 2, CSA2, Cytokine IK, IK cytokine, down-regulator of HLA II, IK factor, MGC59741, protein Red, Protein RER, RD element, REDprer protein, RER

Gene Symbol

IK

Additional RED Products

Product Documents for RED Antibody - BSA Free

Certificate of Analysis

To download a Certificate of Analysis, please enter a lot number in the search box below.

Product Specific Notices for RED Antibody - BSA Free

This product is for research use only and is not approved for use in humans or in clinical diagnosis. Primary Antibodies are guaranteed for 1 year from date of receipt.

Loading...
Loading...
Loading...
Loading...

⚠ WARNING: This product can expose you to chemicals including mercury, which is known to the State of California to cause reproductive toxicity with developmental effects.  For more information go to www.P65Warnings.ca.gov.