Skip to main content

Recoverin Antibody - BSA Free

Novus Biologicals, part of Bio-Techne | Catalog # NBP3-38258

Novus Biologicals, part of Bio-Techne
Catalog #
Availability
Size / Price
Qty
Loading...
NBP3-38258-100ul
NBP3-38258-20ul

Key Product Details

Species Reactivity

Human, Mouse, Rat

Applications

ELISA, Immunocytochemistry/ Immunofluorescence, Immunohistochemistry, Immunohistochemistry-Paraffin, Western Blot

Label

Unconjugated

Antibody Source

Polyclonal Rabbit IgG

Format

BSA Free

Concentration

Please see the vial label for concentration. If unlisted please contact technical services.

Product Specifications

Immunogen

Recombinant fusion protein containing a sequence corresponding to amino acids 1-200 of human Recoverin (NP_002894.1).

Sequence:
MGNSKSGALSKEILEELQLNTKFSEEELCSWYQSFLKDCPTGRITQQQFQSIYAKFFPDTDPKAYAQHVFRSFDSNLDGTLDFKEYVIALHMTTAGKTNQKLEWAFSLYDVDGNGTISKNEVLEIVMAIFKMITPEDVKLLPDDENTPEKRAEKIWKYFGKNDDDKLTEKEFIEGTLANKEILRLIQFEPQKVKEKMKNA

Clonality

Polyclonal

Host

Rabbit

Isotype

IgG

Theoretical MW

23 kDa.
Disclaimer note: The observed molecular weight of the protein may vary from the listed predicted molecular weight due to post translational modifications, post translation cleavages, relative charges, and other experimental factors.

Description

Novus Biologicals Rabbit Recoverin Antibody - BSA Free (NBP3-38258) is a polyclonal antibody validated for use in IHC, WB, ELISA and ICC/IF. All Novus Biologicals antibodies are covered by our 100% guarantee.

Scientific Data Images for Recoverin Antibody - BSA Free

Recoverin Antibody

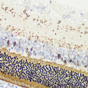
Immunohistochemistry: Recoverin Antibody [NBP3-38258] -

Immunohistochemistry: Recoverin Antibody [NBP3-38258] - Immunohistochemistry analysis of paraffin-embedded Mouse retina using Recoverin Rabbit pAb at dilution of 1:200 (40x lens). Microwave antigen retrieval performed with 0.01M PBS Buffer (pH 7.2) prior to IHC staining.
Recoverin Antibody

Immunohistochemistry: Recoverin Antibody [NBP3-38258] -

Immunohistochemistry: Recoverin Antibody [NBP3-38258] - Immunohistochemistry analysis of paraffin-embedded Rat retina using Recoverin Rabbit pAb at dilution of 1:200 (40x lens). Microwave antigen retrieval performed with 0.01M PBS Buffer (pH 7.2) prior to IHC staining.
Recoverin Antibody

Western Blot: Recoverin Antibody [NBP3-38258] -

Western Blot: Recoverin Antibody [NBP3-38258] - Western blot analysis of various lysates using Recoverin Rabbit pAb at 1:1000 dilution.
Secondary antibody: HRP-conjugated Goat anti-Rabbit IgG (H+L) at 1:10000 dilution.
Lysates/proteins: 25ug per lane.
Blocking buffer: 3% nonfat dry milk in TBST.
Detection: ECL Basic Kit.
Exposure time: 15s.

Applications for Recoverin Antibody - BSA Free

Application
Recommended Usage

ELISA

Recommended starting concentration is 1 μg/mL

Immunocytochemistry/ Immunofluorescence

1:10 - 1:100

Immunohistochemistry-Paraffin

1:50 - 1:200

Western Blot

1:500 - 1:2000

Formulation, Preparation, and Storage

Purification

Affinity purified

Formulation

PBS (pH 7.3), 50% glycerol

Format

BSA Free

Preservative

0.09% Sodium Azide

Concentration

Please see the vial label for concentration. If unlisted please contact technical services.

Shipping

The product is shipped with polar packs. Upon receipt, store it immediately at the temperature recommended below.

Stability & Storage

Store at -20C. Avoid freeze-thaw cycles.

Background: Recoverin

Calcium binding proteins are implicated as being a helper molecule in aberrant tissue growth of tumors. Recoverin is a neurologically important calcium binding protein involved in tumor pathology. It is conserved across species and there are indications of several isoforms of this molecule. Recoverin antibodies are a useful tool for distinguishing between pineal gland-derived tissue and the surrounding tissue of the brain. They can also be used to accurately determine malignant tissue in this location of the brain. In pineal tumor tissue, the normal tissue staining pattern is lost, indicating the tissue's loss of this protein.

Alternate Names

cancer associated retinopathy antigen, Protein CAR, RCV1Cancer-associated retinopathy protein, recoverin

Gene Symbol

RCVRN

Additional Recoverin Products

Product Documents for Recoverin Antibody - BSA Free

Certificate of Analysis

To download a Certificate of Analysis, please enter a lot number in the search box below.

Product Specific Notices for Recoverin Antibody - BSA Free

This product is for research use only and is not approved for use in humans or in clinical diagnosis. Primary Antibodies are guaranteed for 1 year from date of receipt.

Loading...
Loading...
Loading...
Loading...