RDH14 Antibody - BSA Free
Novus Biologicals, part of Bio-Techne | Catalog # NBP3-06302
Conjugate
Catalog #
Key Product Details
Species Reactivity
Human
Applications
Immunohistochemistry-Paraffin, Immunoprecipitation, Western Blot
Label
Unconjugated
Antibody Source
Polyclonal Rabbit IgG
Format
BSA Free
Concentration
Please see the vial label for concentration. If unlisted please contact technical services.
Product Specifications
Immunogen
Produced in rabbits immunized with E. coli-derived Human RDH14 fragment.
Clonality
Polyclonal
Host
Rabbit
Isotype
IgG
Description
This antibody can be stored at 2C-8C for one month without detectable loss of activity. Antibody products are stable for twelve months from date of receipt when stored at -20C to -80C. Avoid repeated freeze-thaw cycles.
Scientific Data Images for RDH14 Antibody - BSA Free
Western Blot: RDH14 Antibody [NBP3-06302]
Western Blot: RDH14 Antibody [NBP3-06302] - Anti-RDH14 rabbit polyclonal antibody at 1:500 dilutionLane A: HEK293 Whole Cell LysateLane B: PC3 Whole Cell LysateLysates/proteins at 30 ug per lane.SecondaryGoat Anti-Rabbit IgG (H+L) HRP at 110000 dilution.Developed using the ECL technique.Performed under reducing conditions.Predicted band size:36 kDaObserved band size:36 kDa(We are unsure as to the identity of these extra bands.)Immunohistochemistry-Paraffin: RDH14 Antibody [NBP3-06302]
Immunohistochemistry-Paraffin: RDH14 Antibody [NBP3-06302] - Immunochemical staining of human RDH14 in human rectum with rabbit polyclonal antibody at 1:100 dilution, formalin-fixed paraffin embedded sections.Immunohistochemistry-Paraffin: RDH14 Antibody [NBP3-06302]
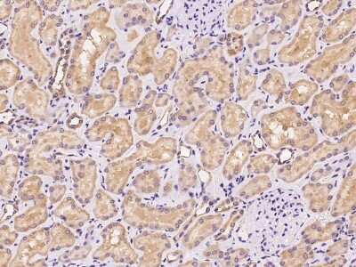
Immunohistochemistry-Paraffin: RDH14 Antibody [NBP3-06302] - Immunochemical staining of human RDH14 in human kidney with rabbit polyclonal antibody at 1:100 dilution, formalin-fixed paraffin embedded sections.Applications for RDH14 Antibody - BSA Free
Application
Recommended Usage
Immunohistochemistry-Paraffin
1:50-1:200
Immunoprecipitation
1-5uL/mg of lysate
Western Blot
1:500-1:2000
Formulation, Preparation, and Storage
Purification
Antigen and protein A Affinity-purified
Formulation
PBS
Format
BSA Free
Preservative
0.03% Proclin 300
Concentration
Please see the vial label for concentration. If unlisted please contact technical services.
Shipping
The product is shipped with polar packs. Upon receipt, store it immediately at the temperature recommended below.
Stability & Storage
Store at 4C short term. Aliquot and store at -20C long term. Avoid freeze-thaw cycles.
Background: RDH14
Alternate Names
Alcohol dehydrogenase PAN2, EC 1.1.1.-, PAN2retinol dehydrogenase 14, pancreas protein 2, retinol dehydrogenase 14 (all-trans and 9-cis), retinol dehydrogenase 14 (all-trans/9-cis/11-cis), SDR7C4, short chain dehydrogenase/reductase family 7C, member 4
Gene Symbol
RDH14
Additional RDH14 Products
Product Specific Notices for RDH14 Antibody - BSA Free
This product is for research use only and is not approved for use in humans or in clinical diagnosis. Primary Antibodies are guaranteed for 1 year from date of receipt.
Loading...
Loading...
Loading...
Loading...