Skip to main content

RDH14 Antibody - BSA Free

Novus Biologicals, part of Bio-Techne | Catalog # NBP2-31647

Novus Biologicals, part of Bio-Techne
Catalog #
Availability
Size / Price
Qty
Loading...
NBP2-31647
NBP2-31647-25ul

Key Product Details

Species Reactivity

Validated:

Human

Predicted:

Mouse (94%), Rat (96%). Backed by our 100% Guarantee.

Applications

Immunocytochemistry/ Immunofluorescence, Immunohistochemistry, Immunohistochemistry-Paraffin, Western Blot

Label

Unconjugated

Antibody Source

Polyclonal Rabbit IgG

Format

BSA Free

Concentration

Concentrations vary lot to lot. See vial label for concentration. If unlisted please contact technical services.

Product Specifications

Immunogen

This antibody was developed against a recombinant protein corresponding to amino acids: QTSIYLASSPEVEGVSGRYFGDCKEEELLPKAMDESVARKLWDISEVMVGL

Clonality

Polyclonal

Host

Rabbit

Isotype

IgG

Description

Novus Biologicals Rabbit RDH14 Antibody - BSA Free (NBP2-31647) is a polyclonal antibody validated for use in IHC, WB and ICC/IF. All Novus Biologicals antibodies are covered by our 100% guarantee.

Scientific Data Images for RDH14 Antibody - BSA Free

Western Blot: RDH14 Antibody [NBP2-31647]

Western Blot: RDH14 Antibody [NBP2-31647]

Western Blot: RDH14 Antibody [NBP2-31647] - Lane 1: Marker [kDa] 250, 130, 95, 72, 55, 36, 28, 17, 10. Lane 2: Human cell line RT-4
Immunocytochemistry/ Immunofluorescence: RDH14 Antibody [NBP2-31647]

Immunocytochemistry/ Immunofluorescence: RDH14 Antibody [NBP2-31647]

Immunocytochemistry/Immunofluorescence: RDH14 Antibody [NBP2-31647] - Immunofluorescent staining of human cell line U-2 OS shows localization to nucleoplasm.
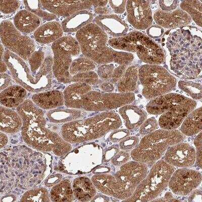
Immunohistochemistry-Paraffin: RDH14 Antibody [NBP2-31647]

Immunohistochemistry-Paraffin: RDH14 Antibody [NBP2-31647]

Immunohistochemistry-Paraffin: RDH14 Antibody [NBP2-31647] - Staining of human kidney shows strong cytoplasmic positivity in cells in tubules.

Applications for RDH14 Antibody - BSA Free

Application
Recommended Usage

Immunocytochemistry/ Immunofluorescence

0.25-2 ug/ml

Immunohistochemistry

1:500 - 1:1000

Immunohistochemistry-Paraffin

1:500 - 1:1000

Western Blot

0.04-0.4 ug/ml
Application Notes
For IHC-Paraffin, HIER pH 6 retrieval is recommended. Immunocytochemistry/Immunofluorescence Fixation Permeabilization: Use PFA/Triton X-100.

Formulation, Preparation, and Storage

Purification

Immunogen affinity purified

Formulation

PBS (pH 7.2) and 40% Glycerol

Format

BSA Free

Preservative

0.02% Sodium Azide

Concentration

Concentrations vary lot to lot. See vial label for concentration. If unlisted please contact technical services.

Shipping

The product is shipped with polar packs. Upon receipt, store it immediately at the temperature recommended below.

Stability & Storage

Store at 4C short term. Aliquot and store at -20C long term. Avoid freeze-thaw cycles.

Background: RDH14

Exhibits an oxidoreductive catalytic activity towards retinoids. Most efficient as an NADPH-dependent retinalreductase. Displays high activity toward 9-cis and all-trans-retinol. No steroid dehydrogenase activity detected

Alternate Names

Alcohol dehydrogenase PAN2, EC 1.1.1.-, PAN2retinol dehydrogenase 14, pancreas protein 2, retinol dehydrogenase 14 (all-trans and 9-cis), retinol dehydrogenase 14 (all-trans/9-cis/11-cis), SDR7C4, short chain dehydrogenase/reductase family 7C, member 4

Gene Symbol

RDH14

UniProt

Additional RDH14 Products

Product Documents for RDH14 Antibody - BSA Free

Certificate of Analysis

To download a Certificate of Analysis, please enter a lot number in the search box below.

Product Specific Notices for RDH14 Antibody - BSA Free

This product is for research use only and is not approved for use in humans or in clinical diagnosis. Primary Antibodies are guaranteed for 1 year from date of receipt.

Loading...
Loading...
Loading...
Loading...