Skip to main content

RBX1 Antibody - BSA Free

Novus Biologicals, part of Bio-Techne | Catalog # NBP3-30395

Novus Biologicals, part of Bio-Techne
Catalog #
Availability
Size / Price
Qty
Loading...
NBP3-30395

Key Product Details

Species Reactivity

Human, Mouse

Applications

Immunohistochemistry, Western Blot

Label

Unconjugated

Antibody Source

Polyclonal Rabbit IgG

Format

BSA Free

Concentration

Please see the vial label for concentration. If unlisted please contact technical services.

Product Specifications

Immunogen

between 1 and 50

Clonality

Polyclonal

Host

Rabbit

Isotype

IgG

Description

Novus Biologicals Rabbit RBX1 Antibody - BSA Free (NBP3-30395) is a polyclonal antibody validated for use in IHC and WB. All Novus Biologicals antibodies are covered by our 100% guarantee.

Scientific Data Images for RBX1 Antibody - BSA Free

RBX1 Antibody

Immunohistochemistry;RBX1 Antibody[NBP3-30392]

Immunohistochemistry;RBX1 Antibody[NBP3-30392]Detection of human ROC1 by immunohistochemistry. Sample: FFPE section of human osteosarcoma. Antibody: Affinity purified rabbit anti-ROC1 used at a dilution of 1:1,000 . Detection: DAB
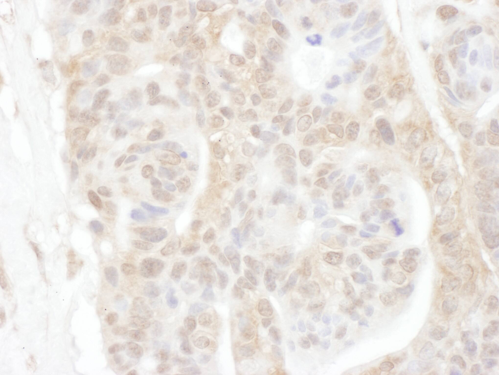
RBX1 Antibody

Immunohistochemistry;RBX1 Antibody[NBP3-30395]

Immunohistochemistry;RBX1 Antibody[NBP3-30395]Detection of human ROC1 by immunohistochemistry. Sample: FFPE section of human ovarian carcinoma. Antibody: Affinity purified rabbit anti-ROC1 used at a dilution of 1:1,000 . Detection: DAB

Applications for RBX1 Antibody - BSA Free

Application
Recommended Usage

Immunohistochemistry

Optimal dilutions of this antibody should be experimentally determined.

Western Blot

Optimal dilutions of this antibody should be experimentally determined.

Formulation, Preparation, and Storage

Purification

Affinity purified

Formulation

Tris-citrate/phosphate buffer, pH 7 to 8

Format

BSA Free

Preservative

0.09% Sodium Azide

Concentration

Please see the vial label for concentration. If unlisted please contact technical services.

Shipping

The product is shipped with polar packs. Upon receipt, store it immediately at the temperature recommended below.

Stability & Storage

Store at 4C. Do not freeze.

Background: RBX1

ROC1 is a component of the SCF (SKP1-CUL1-F-box protein) and the CBC(VHL) (CUL2-elonging BC-VHL) E3 ubiquitin ligase complexes, which mediate the ubiquitination and subsequent proteasomal degradation of target proteins involved in cell cycle progression, signal transduction and transcription. ROC1 appears to recruit the E2 ubiquitination enzyme through the RING-type zinc finger in a manner similar to CDC34, and brings it into close proximity to the substrate. The RING-type zinc finger domain is essential for ubiquitin ligase activity. ROC1 probably also stimulates CDC34 autoubiquitination and promotes the neddylation of CUL1 and probably CUL2. ROC1 has a cytoplasmic and nuclear localization and is widely expressed in most tissues.

Long Name

Ring-Box 1

Alternate Names

Ring Box 1, RNF75, ZYP Protein

Gene Symbol

RBX1

Additional RBX1 Products

Product Documents for RBX1 Antibody - BSA Free

Certificate of Analysis

To download a Certificate of Analysis, please enter a lot number in the search box below.

Product Specific Notices for RBX1 Antibody - BSA Free

This product is for research use only and is not approved for use in humans or in clinical diagnosis. Primary Antibodies are guaranteed for 1 year from date of receipt.

Loading...
Loading...
Loading...
Loading...