Skip to main content

RBPMS Antibody (OTI3B7)

Novus Biologicals, part of Bio-Techne | Catalog # NBP2-03905

Novus Biologicals, part of Bio-Techne
Catalog #
Availability
Size / Price
Qty
Loading...
NBP2-03905

Key Product Details

Species Reactivity

Validated:

Human, Mouse, Rat, Monkey

Cited:

Mouse, Primate - Macaca mulatta (Rhesus Macaque)

Applications

Validated:

Immunohistochemistry, Immunohistochemistry-Paraffin, Western Blot, Flow Cytometry

Cited:

Immunohistochemistry-Frozen

Label

Unconjugated

Antibody Source

Monoclonal Mouse IgG1 Clone # OTI3B7

Concentration

1 mg/ml

Product Specifications

Immunogen

Full length human recombinant protein of human RBPMS (NP_001008712) produced in E.coli.

Reactivity Notes

Monkey reactivity reported in scientific literature (PMID: 29954626). Mouse reactivity reported in scientific literature (PMID: 30073365). Please note that this antibody is reactive to Mouse and derived from the same host, Mouse. Mouse-On-Mouse blocking reagent may be needed for IHC and ICC experiments to reduce high background signal. You can find these reagents under catalog numbers PK-2200-NB and MP-2400-NB. Please contact Technical Support if you have any questions.

Clonality

Monoclonal

Host

Mouse

Isotype

IgG1

Theoretical MW

24.1 kDa.
Disclaimer note: The observed molecular weight of the protein may vary from the listed predicted molecular weight due to post translational modifications, post translation cleavages, relative charges, and other experimental factors.

Description

Novus Biologicals Mouse RBPMS Antibody (OTI3B7) (NBP2-03905) is a monoclonal antibody validated for use in IHC, WB and Flow. Anti-RBPMS Antibody: Cited in 2 publications. All Novus Biologicals antibodies are covered by our 100% guarantee.

Scientific Data Images for RBPMS Antibody (OTI3B7)

Western Blot: RBPMS Antibody (3B7) [NBP2-03905] Analysis of extracts (35ug) from 9 different cell lines by using anti-RBPMS monoclonal antibody (HepG2: human; HeLa: human; SVT2: mouse; A549: human; COS7: monkey; Jurkat: human; MDCK: canine; PC12: rat; MCF7: human).
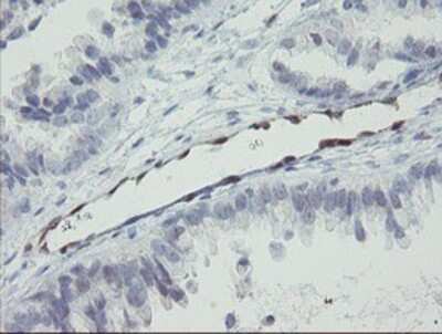
Immunohistochemistry-Paraffin: RBPMS Antibody (OTI3B7) [NBP2-03905]

Immunohistochemistry-Paraffin: RBPMS Antibody (OTI3B7) [NBP2-03905]

Immunohistochemistry-Paraffin: RBPMS Antibody (3B7) [NBP2-03905] - Human tonsil.
Flow Cytometry: RBPMS Antibody (OTI3B7) [NBP2-03905]

Flow Cytometry: RBPMS Antibody (OTI3B7) [NBP2-03905]

Flow Cytometry: RBPMS Antibody (3B7) [NBP2-03905] - HEK293T cells transfected with either overexpression plasmid (Red) or empty vector control plasmid (Blue) were immunostained by anti-RBPMS antibody, and then analyzed by flow cytometry.

Applications for RBPMS Antibody (OTI3B7)

Application
Recommended Usage

Flow Cytometry

1:100

Immunohistochemistry

1:150

Immunohistochemistry-Paraffin

1:150

Western Blot

1:2000

Reviewed Applications

Read 1 review rated 4 using NBP2-03905 in the following applications:

Formulation, Preparation, and Storage

Purification

Immunogen affinity purified

Formulation

PBS (pH 7.3), 1.0% BSA and 50% Glycerol

Preservative

0.02% Sodium Azide

Concentration

1 mg/ml

Shipping

The product is shipped with polar packs. Upon receipt, store it immediately at the temperature recommended below.

Stability & Storage

Store at -20C. Avoid freeze-thaw cycles.

Background: RBPMS

This gene encodes a member of the RRM family of RNA-binding proteins. The RRM domain is between 80-100 amino acids in length and family members contain one to four copies of the domain. The RRM domain consists of two short stretches of conserved sequence called RNP1 and RNP2, as well as a few highly conserved hydrophobic residues. The protein encoded by this gene has a single, putative RRM domain in its N-terminus. Alternative splicing results in multiple transcript variants encoding different isoforms. [provided by RefSeq].

Long Name

RNA binding protein, mRNA processing factor

Alternate Names

HERMES, RBPMS

Entrez Gene IDs

11030 (Human)

Gene Symbol

RBPMS

Additional RBPMS Products

Product Documents for RBPMS Antibody (OTI3B7)

Certificate of Analysis

To download a Certificate of Analysis, please enter a lot number in the search box below.

Product Specific Notices for RBPMS Antibody (OTI3B7)

This product is for research use only and is not approved for use in humans or in clinical diagnosis. Primary Antibodies are guaranteed for 1 year from date of receipt.

Loading...
Loading...
Loading...
Loading...
Loading...