RBMS1 Antibody (OTI2H1)
Novus Biologicals, part of Bio-Techne | Catalog # NBP2-45533
Conjugate
Catalog #
Forumulation
Catalog #
Key Product Details
Species Reactivity
Human, Mouse, Rat
Applications
Immunohistochemistry, Immunohistochemistry-Paraffin, Western Blot
Label
Unconjugated
Antibody Source
Monoclonal Mouse IgG1 Clone # OTI2H1
Concentration
1 mg/ml
Product Specifications
Immunogen
Full length human recombinant protein of human RBMS1(NP_058520) produced in E.coli.
Reactivity Notes
Please note that this antibody is reactive to Mouse and derived from the same host, Mouse. Mouse-On-Mouse blocking reagent may be needed for IHC and ICC experiments to reduce high background signal. You can find these reagents under catalog numbers PK-2200-NB and MP-2400-NB. Please contact Technical Support if you have any questions.
Clonality
Monoclonal
Host
Mouse
Isotype
IgG1
Theoretical MW
44.3 kDa.
Disclaimer note: The observed molecular weight of the protein may vary from the listed predicted molecular weight due to post translational modifications, post translation cleavages, relative charges, and other experimental factors.
Disclaimer note: The observed molecular weight of the protein may vary from the listed predicted molecular weight due to post translational modifications, post translation cleavages, relative charges, and other experimental factors.
Description
Novus Biologicals Mouse RBMS1 Antibody (OTI2H1) (NBP2-45533) is a monoclonal antibody validated for use in IHC and WB. All Novus Biologicals antibodies are covered by our 100% guarantee.
Scientific Data Images for RBMS1 Antibody (OTI2H1)
Western Blot: RBMS1 Antibody (OTI2H1) [NBP2-45533]
Western Blot: RBMS1 Antibody (2H1) [NBP2-45533] - Analysis of HEK293T cells were transfected with the pCMV6-ENTRY control (Left lane) or pCMV6-ENTRY RBMS1.Immunohistochemistry: RBMS1 Antibody (OTI2H1) [NBP2-45533]
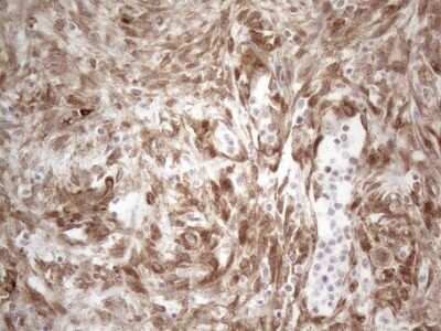
Immunohistochemistry: RBMS1 Antibody (OTI2H1) [NBP2-45533] - RBMS1 Antibody (2H1) [NBP2-45533] - Analysis of Carcinoma of Human thyroid tissue. (Heat-induced epitope retrieval by 1mM EDTA in 10mM Tris buffer (pH8.5) at 120C for 3 min)Immunohistochemistry: RBMS1 Antibody (OTI2H1) [NBP2-45533]
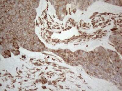
Immunohistochemistry: RBMS1 Antibody (2H1) [NBP2-45533] - Analysis of Human breast tissue. (Heat-induced epitope retrieval by 1mM EDTA in 10mM Tris buffer (pH8.5) at 120C for 3 min)Applications for RBMS1 Antibody (OTI2H1)
Application
Recommended Usage
Immunohistochemistry
1:150
Western Blot
1:2000
Formulation, Preparation, and Storage
Purification
Immunogen affinity purified
Formulation
PBS (pH 7.3), 1.0% BSA and 50% Glycerol
Preservative
0.02% Sodium Azide
Concentration
1 mg/ml
Shipping
The product is shipped with polar packs. Upon receipt, store it immediately at the temperature recommended below.
Stability & Storage
Store at -20C. Avoid freeze-thaw cycles.
Background: RBMS1
Alternate Names
chromosome 2 open reading frame 12, DKFZp564H0764, HCC-4, MGC15146, MGC3331, MGC97258, MGC97270, MGC97282, MGC99543, MSSP1, MSSP-1, MSSP-2, MSSP-3, RNA binding motif, single stranded interacting protein 1, SCR2MGC70597, single-stranded-interacting protein 1, suppressor of cdc 2 (cdc13) with RNA binding motif 2
Gene Symbol
RBMS1
Additional RBMS1 Products
Product Documents for RBMS1 Antibody (OTI2H1)
Product Specific Notices for RBMS1 Antibody (OTI2H1)
This product is for research use only and is not approved for use in humans or in clinical diagnosis. Primary Antibodies are guaranteed for 1 year from date of receipt.
Loading...
Loading...
Loading...
Loading...