Skip to main content

RBM27 Antibody - BSA Free

Novus Biologicals, part of Bio-Techne | Catalog # NB100-60426

Novus Biologicals, part of Bio-Techne

Key Product Details

Validated by

Independent Antibodies, Biological Validation

Species Reactivity

Human, Mouse

Applications

Immunohistochemistry, Immunohistochemistry-Paraffin, Western Blot, Immunoprecipitation

Label

Unconjugated

Antibody Source

Polyclonal Rabbit IgG

Format

BSA Free

Concentration

1.0 mg/ml

Product Specifications

Immunogen

The immunogen recognized by this antibody maps to a region between residue 700 and 750 of human RNA binding motif protein 27 using the numbering given in entry Q9P2N5.2 (GeneID 54439).

Clonality

Polyclonal

Host

Rabbit

Isotype

IgG

Description

Novus Biologicals Rabbit RBM27 Antibody - BSA Free (NB100-60426) is a polyclonal antibody validated for use in IHC, WB and IP. All Novus Biologicals antibodies are covered by our 100% guarantee.

Scientific Data Images for RBM27 Antibody - BSA Free

Western Blot: RBM27 Antibody [NB100-60426]

Western Blot: RBM27 Antibody [NB100-60426]

Western Blot: RBM27 Antibody [NB100-60426] - Detection of Human and Mouse RBM27 by Western Blot. Samples: Whole cell lysate (50 ug) from HeLa, 293T, Jurkat, mouse TCMK-1, and mouse NIH3T3 cells. Antibodies: Affinity purified rabbit anti-RBM27 antibody NB100-60426 used for WB at 0.1 ug/ml. Detection: Chemiluminescence with an exposure time of 3 minutes.
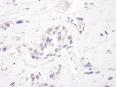
Immunohistochemistry: RBM27 Antibody [NB100-60426]

Immunohistochemistry: RBM27 Antibody [NB100-60426]

Immunohistochemistry: RBM27 Antibody [NB100-60426] - Sample: FFPE section of human breast carcinoma. Antibody: Affinity purified rabbit anti- RBM27 used at a dilution of 1:1,000 (1ug/ml). Detection: DAB
Western Blot: RBM27 Antibody [NB100-60426]

Western Blot: RBM27 Antibody [NB100-60426]

Western Blot: RBM27 Antibody [NB100-60426] - Detection of Human RBM27 on HeLa whole cell lysate using NB100-60426. RBM27 was also immunoprecipitated by rabbit anti-RBM27 antibody NB100-60427.

Applications for RBM27 Antibody - BSA Free

Application
Recommended Usage

Immunohistochemistry

1:500 - 1:2000

Immunohistochemistry-Paraffin

1:100-1:500

Immunoprecipitation

2-5 ug/mg lysate

Western Blot

1:2000-1:10000
Application Notes
Epitope retrieval with citrate buffer pH6.0 is recommended for FFPE tissue sections.

Formulation, Preparation, and Storage

Purification

Immunogen affinity purified

Formulation

Tris-Citrate/Phosphate (pH 7.0 - 8.0)

Format

BSA Free

Preservative

0.09% Sodium Azide

Concentration

1.0 mg/ml

Shipping

The product is shipped with polar packs. Upon receipt, store it immediately at the temperature recommended below.

Stability & Storage

Store at 4C. Do not freeze.

Background: RBM27

RBM27 (RNA-binding motif protein 27) contains a C3H1-type zinc-finger and RNA recognition motif domain. The function of RBM27 has not been determined.

Alternate Names

ARRS1, Psc1, RNA binding motif protein 27, RNA-binding protein 27

Entrez Gene IDs

54439 (Human)

Gene Symbol

RBM27

Additional RBM27 Products

Product Documents for RBM27 Antibody - BSA Free

Certificate of Analysis

To download a Certificate of Analysis, please enter a lot number in the search box below.

Product Specific Notices for RBM27 Antibody - BSA Free

This product is for research use only and is not approved for use in humans or in clinical diagnosis. Primary Antibodies are guaranteed for 1 year from date of receipt.

Loading...
Loading...
Loading...
Loading...