RBM23 Antibody - BSA Free
Novus Biologicals, part of Bio-Techne | Catalog # NBP1-83857
Key Product Details
Species Reactivity
Human
Applications
Immunohistochemistry, Immunohistochemistry-Paraffin, Western Blot, Immunocytochemistry/ Immunofluorescence
Label
Unconjugated
Antibody Source
Polyclonal Rabbit IgG
Format
BSA Free
Concentration
Concentrations vary lot to lot. See vial label for concentration. If unlisted please contact technical services.
Product Specifications
Immunogen
This antibody was developed against Recombinant Protein corresponding to amino acids: MASDDFDIVIEAMLEAPYKKEEDEQQRKEVKKDYPSNTTSSTSNSGNETSGSSTIGETSNRSRDRDRYRRRNSRSRSPGRQCRHRSRSWDRRHGSESRSRDHRREDRVHYRSPPLATGYRYGHSKSPHFREKSP
Clonality
Polyclonal
Host
Rabbit
Isotype
IgG
Scientific Data Images for RBM23 Antibody - BSA Free
Western Blot: RBM23 Antibody [NBP1-83857]
Western Blot: RBM23 Antibody [NBP1-83857] - Analysis in control (vector only transfected HEK293T lysate) and RBM23 over-expression lysate (Co-expressed with a C-terminal myc-DDK tag (3.1 kDa) in mammalian HEK293T cells).Immunocytochemistry/ Immunofluorescence: RBM23 Antibody [NBP1-83857]
Immunocytochemistry/Immunofluorescence: RBM23 Antibody [NBP1-83857] - Staining of human cell line U-2 OS shows localization to intermediate filaments. Antibody staining is shown in green.Immunohistochemistry-Paraffin: RBM23 Antibody [NBP1-83857]
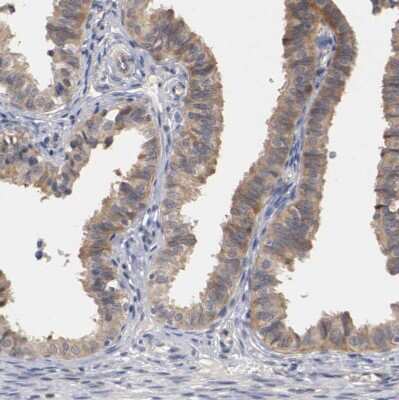
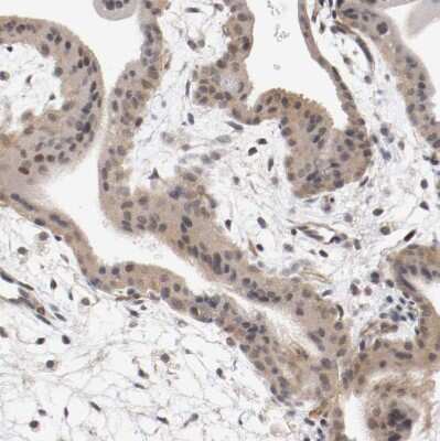
Immunohistochemistry-Paraffin: RBM23 Antibody [NBP1-83857] - Staining of human fallopian tube shows moderate cytoplasmic positivity in glandular cells.Applications for RBM23 Antibody - BSA Free
Application
Recommended Usage
Immunocytochemistry/ Immunofluorescence
0.25-2 ug/ml
Immunohistochemistry
1:200 -1:500
Immunohistochemistry-Paraffin
1:200-1:500
Western Blot
0.04 - 0.4 ug/ml
Application Notes
For IHC-Paraffin, HIER pH 6 retrieval is recommended. ICC/IF Fixation Permeabilization: Use PFA/Triton X-100.
Formulation, Preparation, and Storage
Purification
Affinity purified
Formulation
PBS (pH 7.2) and 40% Glycerol
Format
BSA Free
Preservative
0.02% Sodium Azide
Concentration
Concentrations vary lot to lot. See vial label for concentration. If unlisted please contact technical services.
Shipping
The product is shipped with polar packs. Upon receipt, store it immediately at the temperature recommended below.
Stability & Storage
Store at 4C short term. Aliquot and store at -20C long term. Avoid freeze-thaw cycles.
Background: RBM23
Alternate Names
CAPERbeta, FLJ10482, MGC4458, probable RNA-binding protein 23, RNA binding motif protein 23, RNA-binding motif protein 23, RNA-binding region (RNP1, RRM) containing 4, RNA-binding region-containing protein 4, RNPC4, Splicing factor SF2
Gene Symbol
RBM23
Additional RBM23 Products
Product Documents for RBM23 Antibody - BSA Free
Product Specific Notices for RBM23 Antibody - BSA Free
This product is for research use only and is not approved for use in humans or in clinical diagnosis. Primary Antibodies are guaranteed for 1 year from date of receipt.
Loading...
Loading...
Loading...
Loading...