RBFOX3/NeuN Antibody (NeuN/288R) - Azide and BSA Free
Novus Biologicals, part of Bio-Techne | Catalog # NBP3-14002
Recombinant Monoclonal Antibody
Conjugate
Catalog #
Key Product Details
Species Reactivity
Human, Mouse
Applications
Immunohistochemistry-Paraffin
Label
Unconjugated
Antibody Source
Recombinant Monoclonal Rabbit IgG Kappa Clone # NeuN/288R
Format
Azide and BSA Free
Concentration
1 mg/ml
Product Specifications
Immunogen
Recombinant full-length human RBFOX3/NeuN protein (Uniprot: A6NFN3)
Localization
Nucleus, Cytoplasm
Specificity
NeuN antibody specifically recognizes the DNA-binding, neuron-specific protein NeuN, which is present in most CNS and PNS neuronal cell types of all vertebrates tested. NeuN protein distributions are apparently restricted to neuronal nuclei and some proximal neuronal processes in both fetal and adult brain although, some neurons fail to be recognized by NeuN at all ages: INL retinal cells, Cajal-Retzius cells, Purkinje cells, inferior olivary and dentate nucleus neurons, and sympathetic ganglion cells are examples. Immunohistochemically detectable NeuN protein first appears at developmental timepoints that correspond with the withdrawal of the neuron from the cell cycle and/or with the initiation of terminal differentiation of the neuro. Immunoreactivity appears around E9.5 in the mouse neural tube and is extensive throughout the developing nervous system by E12.5. Strong nuclear staining suggests a nuclear regulatory protein function; however, no evidence currently exists as to whether the NeuN protein antigen has a function in the distal cytoplasm or whether it is merely synthesized there before being transported back into the nucleus. No difference between protein isolated from purified nuclei and whole brain extract on immunoblots has been found.
Marker
Neuronal Marker
Clonality
Monoclonal
Host
Rabbit
Isotype
IgG Kappa
Theoretical MW
48 kDa.
Disclaimer note: The observed molecular weight of the protein may vary from the listed predicted molecular weight due to post translational modifications, post translation cleavages, relative charges, and other experimental factors.
Disclaimer note: The observed molecular weight of the protein may vary from the listed predicted molecular weight due to post translational modifications, post translation cleavages, relative charges, and other experimental factors.
Description
1.0 mg/ml of antibody purified from Bioreactor Concentrate by Protein A/G. Prepared in 10mM PBS WITHOUT BSA & azide. Also available at 200 ug/ml WITH BSA & azide (NBP3-13857).
Antibody with azide - store at 2 to 8C. Antibody without azide - store at -20 to -80 C.
Antibody with azide - store at 2 to 8C. Antibody without azide - store at -20 to -80 C.
Scientific Data Images for RBFOX3/NeuN Antibody (NeuN/288R) - Azide and BSA Free
RBFOX3/NeuN Antibody (NeuN/288R)
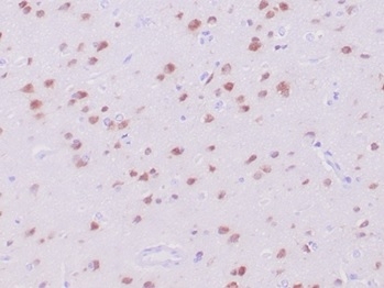
Formalin-fixed, paraffin-embedded human cerebellum stained with RBFOX3/NeuN antibody (NeuN/288R). Inset: PBS instead of primary antibody, secondary negative control.RBFOX3/NeuN Antibody (NeuN/288R)
Formalin-fixed, paraffin-embedded human cerebrum stained with RBFOX3/NeuN antibody (NeuN/288R). HIER: Tris/EDTA, pH9.0, 45min. Secondary: HRP-polymer, 30min. DAB, 5min.Western Blot: RBFOX3/NeuN Antibody (NeuN/288R) - Azide and BSA Free [NBP3-14002] -
Western Blot Analysis of human brain tissue lysate using RBFOX3/NeuN Antibody (NeuN/288R) - Azide and BSA Free.Applications for RBFOX3/NeuN Antibody (NeuN/288R) - Azide and BSA Free
Application
Recommended Usage
Immunohistochemistry-Paraffin
1-2 ug/ml
Application Notes
Immunohistochemistry (Formalin-fixed): 1-2ug/ml for 30 minutes at RT. Staining of formalin-fixed tissues requires heating tissue sections in 10mM Tris with 1mM EDTA, pH 9.0, for 45 min at 95C followed by cooling at RT for 20 minutes
Formulation, Preparation, and Storage
Purification
Protein A or G purified
Formulation
10mM PBS
Format
Azide and BSA Free
Preservative
No Preservative
Concentration
1 mg/ml
Shipping
The product is shipped with polar packs. Upon receipt, store it immediately at the temperature recommended below.
Stability & Storage
Store at -20 to -80C. Avoid freeze-thaw cycles.
Background: RBFOX3/NeuN
Rbfox proteins participate in regulation of alternative splicing between family members as well as in autoregulation. While the breadth of brain and muscle specific targets for alternative splicing is well established for Rbfox proteins, those specific to Rbfox3/NeuN along with its alternative splicing mechanism are less understood. Rbfox3 has been shown to regulate neuronal differentiation by alternative splicing of Numb pre-mRNA and has a role in adult neurogenesis. Dysfunctional Rbfox3/NeuN has been associated with various neurological disorders such as neurodevelopmental delay, autism spectrum disorder, Benign rolandic epilepsy (BRE), and cognitive impairments (1,2).
References
1. Duan W, Zhang YP, Hou Z, Huang C, Zhu H, Zhang CQ, Yin Q. (2016) Novel Insights into NeuN: from Neuronal Marker to Splicing Regulator. Mol Neurobiol. 53(3):1637-1647. PMID: 25680637.
2. Su CH, D D, Tarn WY. (2018) Alternative Splicing in Neurogenesis and Brain Development. Front Mol Biosci. 5:12. PMID: 29484299
Long Name
RNA binding fox-1 homolog 3
Alternate Names
FOX-3, FOX3, HRNBP3, NEUN
Gene Symbol
RBFOX3
Additional RBFOX3/NeuN Products
Product Documents for RBFOX3/NeuN Antibody (NeuN/288R) - Azide and BSA Free
Product Specific Notices for RBFOX3/NeuN Antibody (NeuN/288R) - Azide and BSA Free
This product is for research use only and is not approved for use in humans or in clinical diagnosis. Primary Antibodies are guaranteed for 1 year from date of receipt.
Loading...
Loading...
Loading...
Loading...