Skip to main content

RBBP9 Antibody (OTI4G3)

Novus Biologicals, part of Bio-Techne | Catalog # NBP2-03025

Novus Biologicals, part of Bio-Techne
Catalog #
Availability
Size / Price
Qty
Loading...
NBP2-03025

Key Product Details

Species Reactivity

Human, Mouse, Rat

Applications

Flow Cytometry, Immunocytochemistry/ Immunofluorescence, Immunohistochemistry, Immunohistochemistry-Paraffin, Western Blot

Label

Unconjugated

Antibody Source

Monoclonal Mouse IgG2A Clone # OTI4G3

Concentration

1 mg/ml

Product Specifications

Immunogen

Full length human recombinant protein of human RBBP9 (NP_006597) produced in HEK293T cell.

Reactivity Notes

Please note that this antibody is reactive to Mouse and derived from the same host, Mouse. Mouse-On-Mouse blocking reagent may be needed for IHC and ICC experiments to reduce high background signal. You can find these reagents under catalog numbers PK-2200-NB and MP-2400-NB. Please contact Technical Support if you have any questions.

Clonality

Monoclonal

Host

Mouse

Isotype

IgG2A

Theoretical MW

20.8 kDa.
Disclaimer note: The observed molecular weight of the protein may vary from the listed predicted molecular weight due to post translational modifications, post translation cleavages, relative charges, and other experimental factors.

Description

Novus Biologicals Mouse RBBP9 Antibody (OTI4G3) (NBP2-03025) is a monoclonal antibody validated for use in IHC, WB, Flow and ICC/IF. All Novus Biologicals antibodies are covered by our 100% guarantee.

Scientific Data Images for RBBP9 Antibody (OTI4G3)

Western Blot: RBBP9 Antibody (OTI4G3) [NBP2-03025]

Western Blot: RBBP9 Antibody (OTI4G3) [NBP2-03025]

Western Blot: RBBP9 Antibody (4G3) [NBP2-03025] - HEK293T cells were transfected with the pCMV6-ENTRY control (Left lane) or pCMV6-ENTRY RBBP9 (Right lane) cDNA for 48 hrs and lysed. Equivalent amounts of cell lysates (5 ug per lane) were separated by SDS-PAGE and immunoblotted with anti-RBBP9.
Immunocytochemistry/Immunofluorescence: RBBP9 Antibody (4G3) [NBP2-03025] Staining of COS7 cells transiently transfected by pCMV6-ENTRY RBBP9.
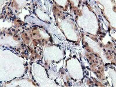
Immunohistochemistry-Paraffin: RBBP9 Antibody (OTI4G3) [NBP2-03025]

Immunohistochemistry-Paraffin: RBBP9 Antibody (OTI4G3) [NBP2-03025]

Immunohistochemistry-Paraffin: RBBP9 Antibody (4G3) [NBP2-03025] - Staining of paraffin-embedded Carcinoma of Human thyroid tissue using anti-RBBP9 mouse monoclonal antibody.

Applications for RBBP9 Antibody (OTI4G3)

Application
Recommended Usage

Flow Cytometry

1:100

Immunocytochemistry/ Immunofluorescence

1:100

Immunohistochemistry

1:150

Immunohistochemistry-Paraffin

1:150

Western Blot

1:2000

Formulation, Preparation, and Storage

Purification

Immunogen affinity purified

Formulation

PBS (pH 7.3), 1.0% BSA and 50% Glycerol

Preservative

0.02% Sodium Azide

Concentration

1 mg/ml

Shipping

The product is shipped with polar packs. Upon receipt, store it immediately at the temperature recommended below.

Stability & Storage

Store at -20C. Avoid freeze-thaw cycles.

Background: RBBP9

The protein encoded by this gene is a retinoblastoma binding protein that may play a role in the regulation of cell proliferation and differentiation. Two alternatively spliced transcript variants of this gene with identical predicted protein products have been reported, one of which is a nonsense-mediated decay candidate. [provided by RefSeq]. COMPLETENESS: complete on the 3' end.

Alternate Names

B5T-overexpressed gene protein, Bog, BOGB5T overexpressed gene protein, EC 3.-, Protein BOG, putative hydrolase RBBP9, RBBP10, RBBP-10, RBBP-9, retinoblastoma binding protein 9, Retinoblastoma-binding protein 10, Retinoblastoma-binding protein 9MGC9236, retinoma-binding protein 9

Entrez Gene IDs

10741 (Human)

Gene Symbol

RBBP9

Additional RBBP9 Products

Product Documents for RBBP9 Antibody (OTI4G3)

Certificate of Analysis

To download a Certificate of Analysis, please enter a lot number in the search box below.

Product Specific Notices for RBBP9 Antibody (OTI4G3)

This product is for research use only and is not approved for use in humans or in clinical diagnosis. Primary Antibodies are guaranteed for 1 year from date of receipt.

Loading...
Loading...
Loading...
Loading...
Loading...