Skip to main content

RBBP9 Antibody (7E10) - BSA Free

Novus Biologicals, part of Bio-Techne | Catalog # NBP3-43025

Novus Biologicals, part of Bio-Techne
Catalog #
Availability
Size / Price
Qty
Loading...
NBP3-43025

Key Product Details

Species Reactivity

Human

Applications

ELISA, Immunohistochemistry, Western Blot

Label

Unconjugated

Antibody Source

Monoclonal Mouse IgG1 Clone # 7E10

Format

BSA Free

Concentration

Please see the vial label for concentration. If unlisted please contact technical services.

Product Specifications

Immunogen

retinoblastoma binding protein 9 - (Uniprot# O75884)

Clonality

Monoclonal

Host

Mouse

Isotype

IgG1

Theoretical MW

22 kDa.
Disclaimer note: The observed molecular weight of the protein may vary from the listed predicted molecular weight due to post translational modifications, post translation cleavages, relative charges, and other experimental factors.

Description

Novus Biologicals Mouse RBBP9 Antibody (7E10) - BSA Free (NBP3-43025) is a monoclonal antibody validated for use in IHC, WB and ELISA. All Novus Biologicals antibodies are covered by our 100% guarantee.

Scientific Data Images for RBBP9 Antibody (7E10) - BSA Free

RBBP9 Antibody (7E10)

Western Blot: RBBP9 Antibody (7E10) [NBP3-43025] -

Western Blot: RBBP9 Antibody (7E10) [NBP3-43025] - A549 cells were subjected to SDS PAGE followed by western blot with (RBBP9 antibody) at dilution of 1:500
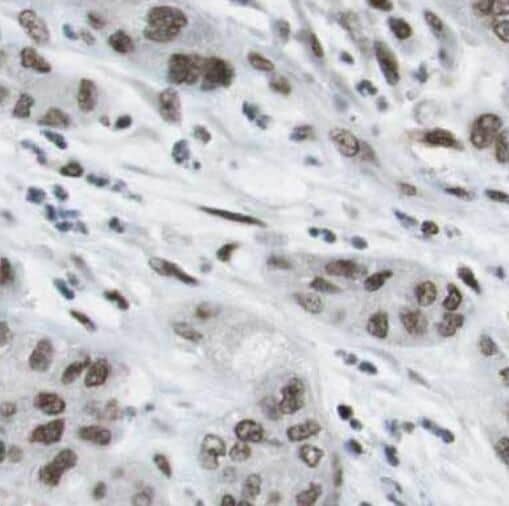
RBBP9 Antibody (7E10)

Immunohistochemistry: RBBP9 Antibody (7E10) [NBP3-43025] -

Immunohistochemistry: RBBP9 Antibody (7E10) [NBP3-43025] - Immunohistochemistry of paraffin-embedded human pancreas using (RBBP9 antibody) at dilution of 1:50

Applications for RBBP9 Antibody (7E10) - BSA Free

Application
Recommended Usage

Immunohistochemistry

1:20 - 1:200

Western Blot

1:500 - 1:2000

Formulation, Preparation, and Storage

Purification

Protein A or G purified

Formulation

PBS (pH 7.3), 50% glycerol

Format

BSA Free

Preservative

0.02% Sodium Azide

Concentration

Please see the vial label for concentration. If unlisted please contact technical services.

Shipping

The product is shipped with polar packs. Upon receipt, store it immediately at the temperature recommended below.

Stability & Storage

Store at -20C. Avoid freeze-thaw cycles.

Background: RBBP9

RBBP9 is encoded by this gene is a retinoblastoma binding protein that may play a role in the regulation of cell proliferation and differentiation. Two alternatively spliced transcript variants of this gene with identical predicted protein products have been reported, one of which is a nonsense-mediated decay candidate. [provided by RefSeq]

Alternate Names

B5T-overexpressed gene protein, Bog, BOGB5T overexpressed gene protein, EC 3.-, Protein BOG, putative hydrolase RBBP9, RBBP10, RBBP-10, RBBP-9, retinoblastoma binding protein 9, Retinoblastoma-binding protein 10, Retinoblastoma-binding protein 9MGC9236, retinoma-binding protein 9

Gene Symbol

RBBP9

Additional RBBP9 Products

Product Documents for RBBP9 Antibody (7E10) - BSA Free

Certificate of Analysis

To download a Certificate of Analysis, please enter a lot number in the search box below.

Product Specific Notices for RBBP9 Antibody (7E10) - BSA Free

This product is for research use only and is not approved for use in humans or in clinical diagnosis. Primary Antibodies are guaranteed for 1 year from date of receipt.

Loading...
Loading...
Loading...
Loading...