RAX Antibody - BSA Free
Novus Biologicals, part of Bio-Techne | Catalog # NBP2-86764
Key Product Details
Species Reactivity
Human
Applications
Immunohistochemistry, Immunohistochemistry-Paraffin, Western Blot
Label
Unconjugated
Antibody Source
Polyclonal Rabbit
Format
BSA Free
Concentration
0.5 mg/ml
Product Specifications
Immunogen
The immunogen is a synthetic peptide directed towards the N-terminal region of human RAX. Peptide sequence: MHLPGCAPAMADGSFSLAGHLLRSPGGSTSRLHSIEAILGFTKDDGILGT The peptide sequence for this immunogen was taken from within the described region.
Clonality
Polyclonal
Host
Rabbit
Description
Novus Biologicals Rabbit RAX Antibody - BSA Free (NBP2-86764) is a polyclonal antibody validated for use in IHC and WB. All Novus Biologicals antibodies are covered by our 100% guarantee.
Scientific Data Images for RAX Antibody - BSA Free
Western Blot: RAX Antibody [NBP2-86764]
Western Blot: RAX Antibody [NBP2-86764] - Host: Rabbit. Target Name: RAX. Sample Tissue: Human Fetal Lung. Antibody Dilution: 1.0ug/mlImmunohistochemistry: RAX Antibody [NBP2-86764]
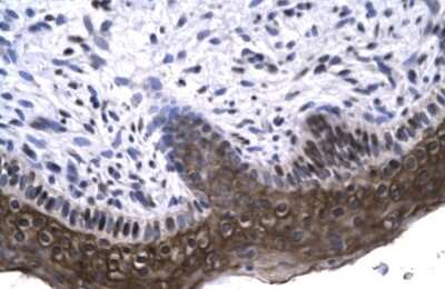
Immunohistochemistry: RAX Antibody [NBP2-86764] - Human SpermatophoreWestern Blot: RAX Antibody [NBP2-86764]
Western Blot: RAX Antibody [NBP2-86764] - Host: Rabbit. Target Name: RAX. Sample Tissue: Human 293T Whole Cell. Antibody Dilution: 1ug/mlApplications for RAX Antibody - BSA Free
Application
Recommended Usage
Western Blot
1.0 ug/ml
Formulation, Preparation, and Storage
Purification
Affinity purified
Formulation
PBS, 2% Sucrose
Format
BSA Free
Preservative
0.09% Sodium Azide
Concentration
0.5 mg/ml
Shipping
The product is shipped with polar packs. Upon receipt, store it immediately at the temperature recommended below.
Stability & Storage
Store at 4C short term. Aliquot and store at -20C long term. Avoid freeze-thaw cycles.
Background: RAX
Alternate Names
MCOP3, retina and anterior neural fold homeobox, retinal homeobox protein Rx, RXRetina and anterior neural fold homeobox protein
Gene Symbol
RAX
Additional RAX Products
Product Specific Notices for RAX Antibody - BSA Free
This product is for research use only and is not approved for use in humans or in clinical diagnosis. Primary Antibodies are guaranteed for 1 year from date of receipt.
Loading...
Loading...
Loading...
Loading...