Skip to main content

RASSF4 Antibody - BSA Free

Novus Biologicals, part of Bio-Techne | Catalog # NBP3-46787

Novus Biologicals, part of Bio-Techne
Catalog #
Availability
Size / Price
Qty
Loading...
NBP3-46787

Key Product Details

Species Reactivity

Human, Mouse

Applications

Immunohistochemistry, Western Blot, ELISA

Label

Unconjugated

Antibody Source

Polyclonal Rabbit IgG

Format

BSA Free

Concentration

Please see the vial label for concentration. If unlisted please contact technical services.

Product Specifications

Immunogen

Ras association(RalGDS/AF-6) domain family member 4. (Uniprot# Q9H2L5)

Clonality

Polyclonal

Host

Rabbit

Isotype

IgG

Theoretical MW

37 kDa.
Disclaimer note: The observed molecular weight of the protein may vary from the listed predicted molecular weight due to post translational modifications, post translation cleavages, relative charges, and other experimental factors.

Description

Novus Biologicals Rabbit RASSF4 Antibody - BSA Free (NBP3-46787) is a polyclonal antibody validated for use in IHC, WB and ELISA. All Novus Biologicals antibodies are covered by our 100% guarantee.

Scientific Data Images for RASSF4 Antibody - BSA Free

RASSF4 Antibody - BSA Free

Western Blot: RASSF4 Antibody - BSA Free [NBP3-46787] -

Western Blot: RASSF4 Antibody - BSA Free [NBP3-46787] - Transfected HEK-293 cells were subjected to SDS PAGE followed by western blot with (RASSF4 Antibody) at dilution of 1:1000
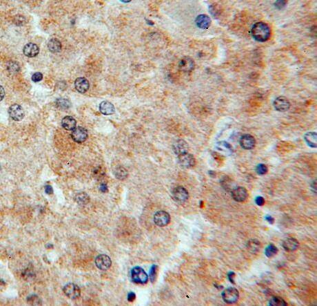
RASSF4 Antibody - BSA Free

Immunohistochemistry: RASSF4 Antibody - BSA Free [NBP3-46787] -

Immunohistochemistry: RASSF4 Antibody - BSA Free [NBP3-46787] - Immunohistochemistry of paraffin-embedded human liver using (RASSF4 antibody) at dilution of 1:100

Applications for RASSF4 Antibody - BSA Free

Application
Recommended Usage

Immunohistochemistry

1:20-1:200

Western Blot

1:500-1:5000

Formulation, Preparation, and Storage

Purification

Immunogen affinity purified

Formulation

PBS, 50% Glycerol, pH (7.3)

Format

BSA Free

Preservative

0.02% Sodium Azide

Concentration

Please see the vial label for concentration. If unlisted please contact technical services.

Shipping

The product is shipped with polar packs. Upon receipt, store it immediately at the temperature recommended below.

Stability & Storage

Store at -20C. Avoid freeze-thaw cycles.

Background: RASSF4

The function of this gene has not yet been determined but may involve a role in tumor suppression. Alternative splicingof this gene results in several transcript variants; however, most of the variants have not been fully described.(provided by RefSeq)

Alternate Names

AD037, MGC44914, Ras association (RalGDS/AF-6) domain family 4, Ras association (RalGDS/AF-6) domain family member 4, Ras association domain family 4, ras association domain-containing protein 4, tumor suppressor RASSF4

Gene Symbol

RASSF4

Additional RASSF4 Products

Product Documents for RASSF4 Antibody - BSA Free

Certificate of Analysis

To download a Certificate of Analysis, please enter a lot number in the search box below.

Product Specific Notices for RASSF4 Antibody - BSA Free

This product is for research use only and is not approved for use in humans or in clinical diagnosis. Primary Antibodies are guaranteed for 1 year from date of receipt.

Loading...
Loading...
Loading...
Loading...