Ras-GAP Antibody - BSA Free
Novus Biologicals, part of Bio-Techne | Catalog # NBP2-55354
Key Product Details
Validated by
Orthogonal Validation
Species Reactivity
Validated:
Human
Predicted:
Mouse (99%), Rat (99%). Backed by our 100% Guarantee.
Applications
Immunohistochemistry, Immunohistochemistry-Paraffin
Label
Unconjugated
Antibody Source
Polyclonal Rabbit IgG
Format
BSA Free
Concentration
Concentrations vary lot to lot. See vial label for concentration. If unlisted please contact technical services.
Product Specifications
Immunogen
This antibody was developed against a recombinant protein corresponding to the following amino acid sequence: LLSSHIPLKGIEPGSLRVRARYSMEKIMPEEEYSEFKELILQKELHVVYALSHVCGQDRTLLASILLRIFLHEKLESLLLCTLNDREISMEDEATT
Clonality
Polyclonal
Host
Rabbit
Isotype
IgG
Description
Novus Biologicals Rabbit Ras-GAP Antibody - BSA Free (NBP2-55354) is a polyclonal antibody validated for use in IHC. All Novus Biologicals antibodies are covered by our 100% guarantee.
Scientific Data Images for Ras-GAP Antibody - BSA Free
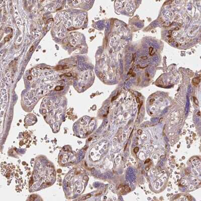
Immunohistochemistry-Paraffin: Ras-GAP Antibody [NBP2-55354]
Immunohistochemistry-Paraffin: Ras-GAP Antibody [NBP2-55354] - Staining of human placenta shows high expression.Immunohistochemistry-Paraffin: Ras-GAP Antibody [NBP2-55354]
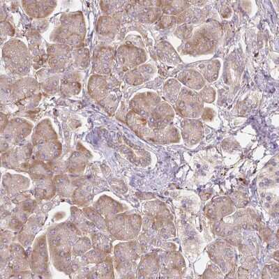
Immunohistochemistry-Paraffin: Ras-GAP Antibody [NBP2-55354] - Staining of human pancreas shows low expression as expected.Applications for Ras-GAP Antibody - BSA Free
Application
Recommended Usage
Immunohistochemistry
1:500 - 1:1000
Immunohistochemistry-Paraffin
1:500 - 1:1000
Application Notes
For IHC-Paraffin, HIER pH 6 retrieval is recommended.
Formulation, Preparation, and Storage
Purification
Affinity purified
Formulation
PBS (pH 7.2) and 40% Glycerol
Format
BSA Free
Preservative
0.02% Sodium Azide
Concentration
Concentrations vary lot to lot. See vial label for concentration. If unlisted please contact technical services.
Shipping
The product is shipped with polar packs. Upon receipt, store it immediately at the temperature recommended below.
Stability & Storage
Store at 4C short term. Aliquot and store at -20C long term. Avoid freeze-thaw cycles.
Background: Ras-GAP
Long Name
GTPase activating protein
Alternate Names
CM-AVM, PKWS, RASA1, RasGAP
Gene Symbol
RASA1
Additional Ras-GAP Products
Product Documents for Ras-GAP Antibody - BSA Free
Product Specific Notices for Ras-GAP Antibody - BSA Free
This product is for research use only and is not approved for use in humans or in clinical diagnosis. Primary Antibodies are guaranteed for 1 year from date of receipt.
Loading...
Loading...
Loading...
Loading...