Skip to main content

RAP80 Antibody - BSA Free

Novus Biologicals, part of Bio-Techne | Catalog # NBP1-76828

Novus Biologicals, part of Bio-Techne

Key Product Details

Species Reactivity

Human, Mouse

Applications

Immunohistochemistry, Immunohistochemistry-Paraffin, Western Blot, ELISA, Immunocytochemistry/ Immunofluorescence

Label

Unconjugated

Antibody Source

Polyclonal Rabbit IgG

Format

BSA Free

Concentration

1 mg/ml

Product Specifications

Immunogen

Antibody was raised against a 17 amino acid synthetic peptide from near the carboxy terminus of human RAP80. The immunogen is located within amino acids 520 - 570 of RAP80. Amino Acid Squence: TRRQKEAKTKSDSGTA

Reactivity Notes

Immunogen displays the following percentage of sequence identity for non-tested species: Porcine (81%)

Clonality

Polyclonal

Host

Rabbit

Isotype

IgG

Description

Novus Biologicals Rabbit RAP80 Antibody - BSA Free (NBP1-76828) is a polyclonal antibody validated for use in IHC, WB, ELISA and ICC/IF. All Novus Biologicals antibodies are covered by our 100% guarantee.

Scientific Data Images for RAP80 Antibody - BSA Free

Western Blot: RAP80 AntibodyBSA Free [NBP1-76828]

Western Blot: RAP80 AntibodyBSA Free [NBP1-76828]

Western Blot: RAP80 Antibody [NBP1-76828] - 293 cell lysate in (A) the absence and (B) presence of blocking peptide with RAP80 antibody at 2 ug/ml.
RAP80 Antibody - BSA Free

Immunocytochemistry/ Immunofluorescence: RAP80 Antibody - BSA Free [NBP1-76828] -

Immunocytochemistry/ Immunofluorescence: RAP80 Antibody - BSA Free [NBP1-76828] - Immunofluorescence of RAP80 in Human Spleen cells with RAP80 antibody at 20 ug/mL.
RAP80 Antibody - BSA Free

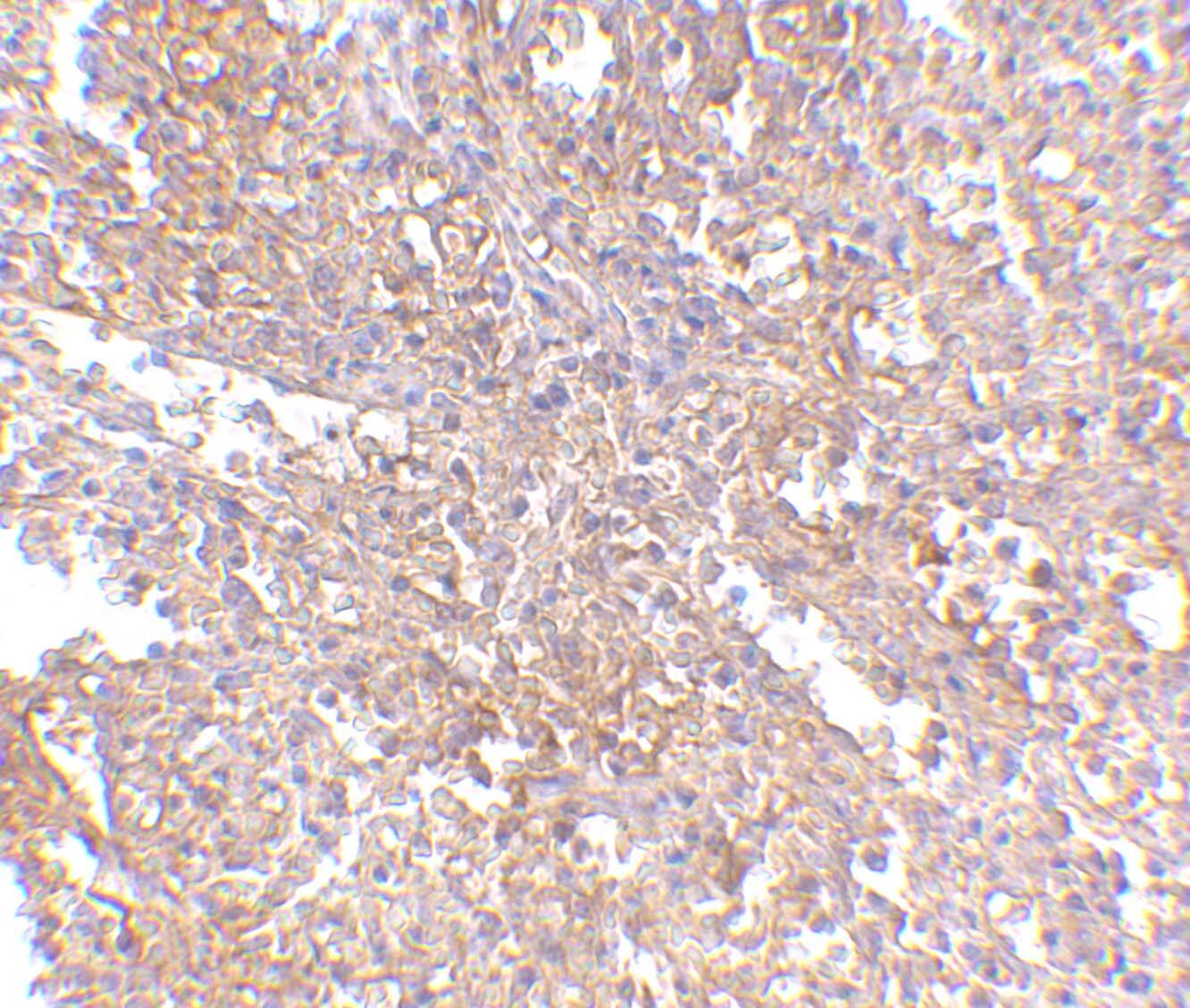
Immunohistochemistry: RAP80 Antibody - BSA Free [NBP1-76828] -

Immunohistochemistry: RAP80 Antibody - BSA Free [NBP1-76828] - Immunohistochemistry of RAP80 in human spleen tissue with RAP80 antibody at 2.5 ug/mL.

Applications for RAP80 Antibody - BSA Free

Application
Recommended Usage

ELISA

1:100-1:2000

Immunocytochemistry/ Immunofluorescence

20 ug/ml

Immunohistochemistry

2.5 ug/ml

Immunohistochemistry-Paraffin

2.5 ug/ml

Western Blot

2 ug/ml

Formulation, Preparation, and Storage

Purification

Peptide affinity purified

Formulation

PBS

Format

BSA Free

Preservative

0.02% Sodium Azide

Concentration

1 mg/ml

Shipping

The product is shipped with polar packs. Upon receipt, store it immediately at the temperature recommended below.

Stability & Storage

Store at 4C short term. Aliquot and store at -20C long term. Avoid freeze-thaw cycles.

Background: RAP80

RAP80 was initially identified as zinc-finger containing nuclear protein that is highly expressed in testis and interacts with the retinoid-related testis-associated receptor (RTR). Later experiments revealed that RAP80 is recruited by the Coiled-coil domain 98 (CCDC98) protein to the breast cancer-1 protein BRCA1, allowing the formation of BRCA1 foci in response to DNA damage caused by ionizing radiation. Both RAP80 and CCDC98 are required for DNA damage resistance, G2-M checkpoint control, and DNA repair. Cells depleted of either RAP80 or CCDC98 exhibited increased sensitivity to ionizing radiation, although not as much as in BRCA1-depleted cells, suggesting that RAP80 and CCDC98 control only part of the DNA damage response role of BRCA1. At least four isoforms of RAP80 are known to exist.

Long Name

Receptor Associated Protein 80

Alternate Names

RXRIP110, UIMC1, X2HRIP110

Gene Symbol

UIMC1

Additional RAP80 Products

Product Documents for RAP80 Antibody - BSA Free

Certificate of Analysis

To download a Certificate of Analysis, please enter a lot number in the search box below.

Product Specific Notices for RAP80 Antibody - BSA Free

This product is for research use only and is not approved for use in humans or in clinical diagnosis. Primary Antibodies are guaranteed for 1 year from date of receipt.

Loading...
Loading...
Loading...
Loading...