Skip to main content

RAP1A Antibody (1D4-1A3)

Novus Biologicals, part of Bio-Techne | Catalog # NBP2-22527

Novus Biologicals, part of Bio-Techne
Catalog #
Availability
Size / Price
Qty
Loading...
NBP2-22527-0.025mg
NBP2-22527

Key Product Details

Species Reactivity

Validated:

Human, Mouse, Rat

Cited:

Human, Rat

Applications

Validated:

Immunohistochemistry, Immunohistochemistry-Paraffin, Western Blot, Immunocytochemistry/ Immunofluorescence, Immunoprecipitation, Proximity Ligation Assay

Cited:

Western Blot, Proximity Ligation Assay

Label

Unconjugated

Antibody Source

Monoclonal Mouse IgG Clone # 1D4-1A3

Concentration

1 mg/ml

Product Specifications

Immunogen

Recombinant full-length human Rap1

Reactivity Notes

Rat reactivity reported in scientific literature (PMID: 30002060).

Clonality

Monoclonal

Host

Mouse

Isotype

IgG

Description

Novus Biologicals Mouse RAP1A Antibody (1D4-1A3) (NBP2-22527) is a monoclonal antibody validated for use in IHC, WB, ICC/IF and IP. Anti-RAP1A Antibody: Cited in 2 publications. All Novus Biologicals antibodies are covered by our 100% guarantee.

Scientific Data Images for RAP1A Antibody (1D4-1A3)

Western Blot: RAP1A Antibody (1D4-1A3) [NBP2-22527]

Western Blot: RAP1A Antibody (1D4-1A3) [NBP2-22527]

Western Blot: RAP1A Antibody (1D4-1A3) [NBP2-22527] - Analysis of 25 ug of various whole cell lysate per well.
Immunocytochemistry/ Immunofluorescence: RAP1A Antibody (1D4-1A3) [NBP2-22527]

Immunocytochemistry/ Immunofluorescence: RAP1A Antibody (1D4-1A3) [NBP2-22527]

Immunocytochemistry/Immunofluorescence: RAP1A Antibody (1D4-1A3) [NBP2-22527] - Analysis of Rap1 (green) in HeLa cells. Formalin fixed cells were permeabilized with 0.1% Triton X-100 in TBS for 10 minutes at room temperature and blocked with 1% BSA/TBST for 15 minutes at room temperature. Cells were probed with a Rap1 monoclonal antibody at a dilution of 1:100 for at least 1 hour at room temperature, washed with PBS, and incubated with DyLight 488-conjugated goat anti-mouse IgG secondary antibody at a dilution of 1:400 for 30 minutes at room temperature. Nuclei (blue) were stained with Hoechst 33342 dye.
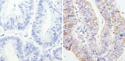
Immunohistochemistry-Paraffin: RAP1A Antibody (1D4-1A3) [NBP2-22527]

Immunohistochemistry-Paraffin: RAP1A Antibody (1D4-1A3) [NBP2-22527]

Immunohistochemistry-Paraffin: RAP1A Antibody (1D4-1A3) [NBP2-22527] - Analysis showing staining in the cytoplasm and membrane of human colon carcinoma (right) compared to a negative control without primary antibody (left).

Applications for RAP1A Antibody (1D4-1A3)

Application
Recommended Usage

Immunocytochemistry/ Immunofluorescence

1:50 - 1:200

Immunohistochemistry

1:50 - 1:500

Immunohistochemistry-Paraffin

1:50 - 1:500

Immunoprecipitation

2 ug

Western Blot

1:500 - 1:1000
Application Notes
Use in Proximity Ligation Assay reported in scientific literature (PMID:30002060).

Formulation, Preparation, and Storage

Purification

Protein A purified

Formulation

PBS with 1 mg/ml BSA and 30% glycerol

Preservative

0.05% Sodium Azide

Concentration

1 mg/ml

Shipping

The product is shipped with polar packs. Upon receipt, store it immediately at the temperature recommended below.

Stability & Storage

Store at -20C. Avoid freeze-thaw cycles.

Background: Rap1A

The product of this gene belongs to the family of RAS-related proteins. These proteins share approximately 50% amino acid identity with the classical RAS proteins and have numerous structural features in common. The most striking difference between RAP proteins and RAS proteins resides in their 61st amino acid: glutamine in RAS is replaced by threonine in RAP proteins. The product of this gene counteracts the mitogenic function of RAS because it can interact with RAS GAPs and RAF in a competitive manner. Two transcript variants encoding the same protein have been identified for this gene.

Long Name

Ras-related Protein 1A

Alternate Names

KREV-1, SMGP21

Entrez Gene IDs

5906 (Human)

Gene Symbol

RAP1A

UniProt

Additional Rap1A Products

Product Documents for RAP1A Antibody (1D4-1A3)

Certificate of Analysis

To download a Certificate of Analysis, please enter a lot number in the search box below.

Product Specific Notices for RAP1A Antibody (1D4-1A3)

This product is for research use only and is not approved for use in humans or in clinical diagnosis. Primary Antibodies are guaranteed for 1 year from date of receipt.

Loading...
Loading...
Loading...
Loading...