Skip to main content

RANBP9 Antibody (4P10V6)

Novus Biologicals, part of Bio-Techne | Catalog # NBP3-15702

Recombinant Monoclonal Antibody
Novus Biologicals, part of Bio-Techne
Catalog #
Availability
Size / Price
Qty
Loading...
NBP3-15702-100ul
NBP3-15702-20ul

Key Product Details

Species Reactivity

Human, Mouse, Rat

Applications

Immunohistochemistry, Immunohistochemistry-Paraffin, Western Blot

Label

Unconjugated

Antibody Source

Recombinant Monoclonal Rabbit IgG Clone # 4P10V6 expressed in HEK293

Concentration

Please see the vial label for concentration. If unlisted please contact technical services.

Product Specifications

Immunogen

A synthetic peptide corresponding to a sequence within amino acids 100-200 of human RANBP9 (Q96S59). SGPPAPPGLAAGPGPAGGAPTPALVAGSSAAAPFPHGDSALNEQEKELQRRLKRLYPAVDEQETPLPRSWSPKDKFSYIGLSQNNLRVHYKGHGKTPKDAA

Clonality

Monoclonal

Host

Rabbit

Isotype

IgG

Description

Novus Biologicals Rabbit RANBP9 Antibody (4P10V6) (NBP3-15702) is a recombinant monoclonal antibody validated for use in IHC and WB. All Novus Biologicals antibodies are covered by our 100% guarantee.

Scientific Data Images for RANBP9 Antibody (4P10V6)

Western Blot: RANBP9 Antibody (4P10V6) [NBP3-15702]

Western Blot: RANBP9 Antibody (4P10V6) [NBP3-15702]

Western Blot: RANBP9 Antibody (4P10V6) [NBP3-15702] - Western blot analysis of extracts of various cell lines, using RANBP9 antibody (NBP3-15702) at 1:1000 dilution. Secondary antibody: HRP Goat Anti-Rabbit IgG (H+L) at 1:10000 dilution. Lysates/proteins: 25ug per lane. Blocking buffer: 3% nonfat dry milk in TBST. Detection: ECL Basic Kit. Exposure time: 10s.
Immunohistochemistry-Paraffin: RANBP9 Antibody (4P10V6) [NBP3-15702]

Immunohistochemistry-Paraffin: RANBP9 Antibody (4P10V6) [NBP3-15702]

Immunohistochemistry-Paraffin: RANBP9 Antibody (4P10V6) [NBP3-15702] - Immunohistochemistry of paraffin-embedded human brain using RANBP9 Rabbit mAb (NBP3-15702) at dilution of 1:100 (40x lens).Perform microwave antigen retrieval with 10 mM Tris/EDTA buffer pH 9.0 before commencing with IHC staining protocol.
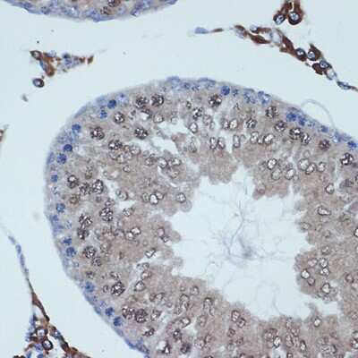
Immunohistochemistry-Paraffin: RANBP9 Antibody (4P10V6) [NBP3-15702]

Immunohistochemistry-Paraffin: RANBP9 Antibody (4P10V6) [NBP3-15702]

Immunohistochemistry-Paraffin: RANBP9 Antibody (4P10V6) [NBP3-15702] - Immunohistochemistry of paraffin-embedded rat testis using RANBP9 Rabbit mAb (NBP3-15702) at dilution of 1:100 (40x lens).Perform microwave antigen retrieval with 10 mM Tris/EDTA buffer pH 9.0 before commencing with IHC staining protocol.

Applications for RANBP9 Antibody (4P10V6)

Application
Recommended Usage

Immunohistochemistry

1:50 - 1:200

Western Blot

1:500 - 1:1000

Formulation, Preparation, and Storage

Purification

Affinity purified

Formulation

PBS (pH 7.3), 50% glycerol, 0.05% BSA

Preservative

0.02% Sodium Azide

Concentration

Please see the vial label for concentration. If unlisted please contact technical services.

Shipping

The product is shipped with polar packs. Upon receipt, store it immediately at the temperature recommended below.

Stability & Storage

Store at -20C. Avoid freeze-thaw cycles.

Background: RANBP9

Just as heat shock proteins function as chaperones for exposed hydrophobic patches, importins act as chaperones for exposed basic domains, and it is suggested that this represents a major and general cellular function of importins (1). RanBP9, a novel interacting protein, was localized within the centrosome throughout the cell cycle. Overexpression of RanBP9 produced multiple spots which were colocalized with gamma-tubulin and acted as ectopic microtubule nucleation sites, resulting in a reorganization of microtubule network (2). It has been shown that RanBP9 can induce GTP-Ras association and Erk phosphorylation and elevate serum response element-luciferase (SRE-LUC) expression, indicating that RanBP9 can activate the Ras-Erk-SRE pathway. Also RanBP9 stimulates Ras activation by recruiting Sos (3).

Alternate Names

BPM90, BPM-L, RAN binding protein 9, Ran Binding Protein in the Microtubule organizing center, ran binding protein, centrosomal, ran-binding protein 9, Ran-binding protein M, RanBP7, RanBP9, RanBPM, RANBPMnovel centrosomal protein RanBPM

Gene Symbol

RANBP9

Additional RANBP9 Products

Product Documents for RANBP9 Antibody (4P10V6)

Certificate of Analysis

To download a Certificate of Analysis, please enter a lot number in the search box below.

Product Specific Notices for RANBP9 Antibody (4P10V6)

This product is for research use only and is not approved for use in humans or in clinical diagnosis. Primary Antibodies are guaranteed for 1 year from date of receipt.

Loading...
Loading...
Loading...
Loading...