Skip to main content

Ran Antibody - BSA Free

Novus Biologicals, part of Bio-Techne | Catalog # NBP2-32280

Novus Biologicals, part of Bio-Techne

Key Product Details

Validated by

Biological Validation

Species Reactivity

Human, Mouse

Applications

Immunohistochemistry, Western Blot, Immunoprecipitation

Label

Unconjugated

Antibody Source

Polyclonal Rabbit IgG

Format

BSA Free

Concentration

1.0 mg/ml

Product Specifications

Immunogen

The immunogen this antibody was made to, maps to a region between residue 175 to 225 of human Ras Related Nuclear Protein using the numbering given in entry NP_006316.1 GeneID 5901.

Clonality

Polyclonal

Host

Rabbit

Isotype

IgG

Description

Novus Biologicals Rabbit Ran Antibody - BSA Free (NBP2-32280) is a polyclonal antibody validated for use in IHC, WB and IP. All Novus Biologicals antibodies are covered by our 100% guarantee.

Scientific Data Images for Ran Antibody - BSA Free

Western Blot: Ran Antibody [NBP2-32280]

Western Blot: Ran Antibody [NBP2-32280]

Western Blot: Ran Antibody [NBP2-32280] - Samples: Whole cell lysate (50 ug) from HeLa, 293T, Jurkat, mouse TCMK-1, and mouse NIH3T3 cells. Antibodies: Affinity purified rabbit anti-RAN antibody NBP2-32280 used for WB at 0.1 ug/ml. Detection: Chemiluminescence with an exposure time of 3 minutes.
Immunohistochemistry: Ran Antibody [NBP2-32280]

Immunohistochemistry: Ran Antibody [NBP2-32280]

Immunohistochemistry: Ran Antibody [NBP2-32280] - Samples: FFPE serial sections of mouse renal cell carcinoma. Antibody: Affinity purified rabbit anti- RAN used at a dilution of 1:5,000 (0.2ug/ml). Detection: DAB. Counterstain: Hematoxylin (blue).
Immunohistochemistry: Ran Antibody [NBP2-32280]

Immunohistochemistry: Ran Antibody [NBP2-32280]

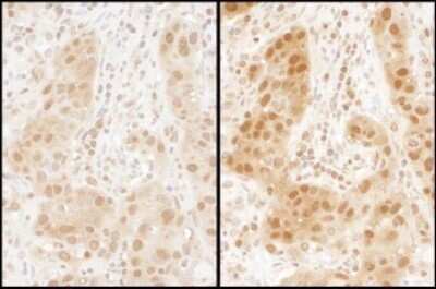
Immunohistochemistry: Ran Antibody [NBP2-32280] - Samples: FFPE serial sections of human breast carcinoma. Antibody: Affinity purified rabbit anti- RAN used at a dilution of 1:5,000 (0.2ug/ml). Detection: DAB. Counterstain: Hematoxylin (blue).

Applications for Ran Antibody - BSA Free

Application
Recommended Usage

Immunoprecipitation

2 - 10 ug/mg lysate

Western Blot

1:2000 - 1:10000

Formulation, Preparation, and Storage

Purification

Immunogen affinity purified

Formulation

Tris-Citrate/Phosphate (pH 7.0 - 8.0)

Format

BSA Free

Preservative

0.09% Sodium Azide

Concentration

1.0 mg/ml

Shipping

The product is shipped with polar packs. Upon receipt, store it immediately at the temperature recommended below.

Stability & Storage

Store at 4C. Do not freeze.

Background: Ran

Alternate Names

Androgen receptor-associated protein 24, ARA24Gsp1, GTPase Ran, GTP-binding nuclear protein Ran, guanosine triphosphatase Ran, member RAS oncogene family, OK/SW-cl.81, RAN, member RAS oncogene family, RanGTPase, Ras-like protein TC4, Ras-related nuclear protein, TC4

Gene Symbol

RAN

Additional Ran Products

Product Documents for Ran Antibody - BSA Free

Certificate of Analysis

To download a Certificate of Analysis, please enter a lot number in the search box below.

Product Specific Notices for Ran Antibody - BSA Free

This product is for research use only and is not approved for use in humans or in clinical diagnosis. Primary Antibodies are guaranteed for 1 year from date of receipt.

Loading...
Loading...
Loading...
Loading...