Ran Antibody (8D1A6) - BSA Free
Novus Biologicals, part of Bio-Techne | Catalog # NBP2-61832
Key Product Details
Species Reactivity
Human, Mouse, Rat, Monkey
Applications
Immunohistochemistry, Immunohistochemistry-Paraffin, Western Blot, ELISA, Flow Cytometry, Immunocytochemistry/ Immunofluorescence
Label
Unconjugated
Antibody Source
Monoclonal Mouse IgG1 Clone # 8D1A6
Format
BSA Free
Concentration
1 mg/ml
Product Specifications
Immunogen
Purified recombinant fragment of human RAN (AA: 1-216) expressed in E. Coli.
Clonality
Monoclonal
Host
Mouse
Isotype
IgG1
Theoretical MW
24.4 kDa.
Disclaimer note: The observed molecular weight of the protein may vary from the listed predicted molecular weight due to post translational modifications, post translation cleavages, relative charges, and other experimental factors.
Disclaimer note: The observed molecular weight of the protein may vary from the listed predicted molecular weight due to post translational modifications, post translation cleavages, relative charges, and other experimental factors.
Description
Novus Biologicals Mouse Ran Antibody (8D1A6) - BSA Free (NBP2-61832) is a monoclonal antibody validated for use in IHC, WB, ELISA, Flow and ICC/IF. Anti-Ran Antibody: Cited in 1 publication. All Novus Biologicals antibodies are covered by our 100% guarantee.
Scientific Data Images for Ran Antibody (8D1A6) - BSA Free
Western Blot: Ran Antibody (8D1A6)BSA Free [NBP2-61832]
Western Blot: Ran Antibody (8D1A6) [NBP2-61832] - Analysis using RAN mAb against HEK293 (1) and RAN (AA: 1-216)-hIgGFc transfected HEK293 (2) cell lysate.Immunocytochemistry/ Immunofluorescence: Ran Antibody (8D1A6) - BSA Free [NBP2-61832]
Immunocytochemistry/Immunofluorescence: Ran Antibody (8D1A6) [NBP2-61832] - Analysis of HepG2 cells using RAN mouse mAb (green). Blue: DRAQ5 fluorescent DNA dye. Red: Actin filaments have been labeled with Alexa Fluor- 555 phalloidin. Goat anti-Mouse IgG (H+L) DyLight 488 secondary antibody was used.Immunohistochemistry: Ran Antibody (8D1A6) - BSA Free [NBP2-61832]
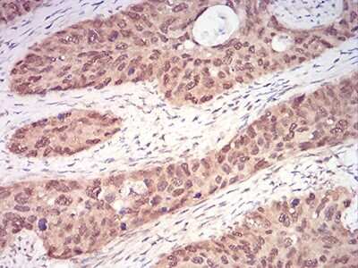
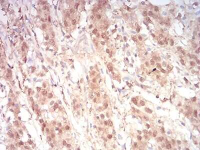
Immunohistochemistry: Ran Antibody (8D1A6) [NBP2-61832] - Analysis of paraffin-embedded stomach cancer tissues using RAN mouse mAb with DAB staining.Applications for Ran Antibody (8D1A6) - BSA Free
Application
Recommended Usage
ELISA
1:10000
Flow Cytometry
1:200-1:400
Immunocytochemistry/ Immunofluorescence
1:200-1:1000
Immunohistochemistry
1:200-1:1000
Immunohistochemistry-Paraffin
1:200-1:1000
Western Blot
1:500-1:2000
Reviewed Applications
Read 1 review rated 5 using NBP2-61832 in the following applications:
Formulation, Preparation, and Storage
Purification
Protein G purified
Formulation
PBS
Format
BSA Free
Preservative
0.05% Sodium Azide
Concentration
1 mg/ml
Shipping
The product is shipped with polar packs. Upon receipt, store it immediately at the temperature recommended below.
Stability & Storage
Store at 4C short term. Aliquot and store at -20C long term. Avoid freeze-thaw cycles.
Background: Ran
Alternate Names
Androgen receptor-associated protein 24, ARA24Gsp1, GTPase Ran, GTP-binding nuclear protein Ran, guanosine triphosphatase Ran, member RAS oncogene family, OK/SW-cl.81, RAN, member RAS oncogene family, RanGTPase, Ras-like protein TC4, Ras-related nuclear protein, TC4
Gene Symbol
RAN
Additional Ran Products
Product Documents for Ran Antibody (8D1A6) - BSA Free
Product Specific Notices for Ran Antibody (8D1A6) - BSA Free
This product is for research use only and is not approved for use in humans or in clinical diagnosis. Primary Antibodies are guaranteed for 1 year from date of receipt.
Loading...
Loading...
Loading...
Loading...
Loading...