Skip to main content

RALBP1 Antibody (OTI11B2)

Novus Biologicals, part of Bio-Techne | Catalog # NBP2-02293

Novus Biologicals, part of Bio-Techne

Key Product Details

Species Reactivity

Human, Mouse, Rat, Canine

Applications

Immunohistochemistry, Immunohistochemistry-Paraffin, Western Blot, Flow Cytometry, Immunocytochemistry/ Immunofluorescence, Immunoprecipitation

Label

Unconjugated

Antibody Source

Monoclonal Mouse IgG1 Clone # OTI11B2

Concentration

0.84 mg/ml

Product Specifications

Immunogen

Full length human recombinant protein of human RALBP1 (NP_006779) produced in HEK293T cell.

Reactivity Notes

Please note that this antibody is reactive to Mouse and derived from the same host, Mouse. Mouse-On-Mouse blocking reagent may be needed for IHC and ICC experiments to reduce high background signal. You can find these reagents under catalog numbers PK-2200-NB and MP-2400-NB. Please contact Technical Support if you have any questions.

Clonality

Monoclonal

Host

Mouse

Isotype

IgG1

Theoretical MW

76 kDa.
Disclaimer note: The observed molecular weight of the protein may vary from the listed predicted molecular weight due to post translational modifications, post translation cleavages, relative charges, and other experimental factors.

Description

Novus Biologicals Mouse RALBP1 Antibody (OTI11B2) (NBP2-02293) is a monoclonal antibody validated for use in IHC, WB, Flow, ICC/IF and IP. All Novus Biologicals antibodies are covered by our 100% guarantee.

Scientific Data Images for RALBP1 Antibody (OTI11B2)

Western Blot: RALBP1 Antibody (OTI11B2) [NBP2-02293]

Western Blot: RALBP1 Antibody (OTI11B2) [NBP2-02293]

Western Blot: RALBP1 Antibody (OTI11B2) [NBP2-02293] - Analysis of extracts (35ug) from 9 different cell lines by using anti-RALBP1 monoclonal antibody.
Immunocytochemistry/ Immunofluorescence: RALBP1 Antibody (OTI11B2) [NBP2-02293]

Immunocytochemistry/ Immunofluorescence: RALBP1 Antibody (OTI11B2) [NBP2-02293]

Immunocytochemistry/Immunofluorescence: RALBP1 Antibody (OTI11B2) [NBP2-02293] - Staining of COS7 cells transiently transfected by pCMV6-ENTRY RALBP1.
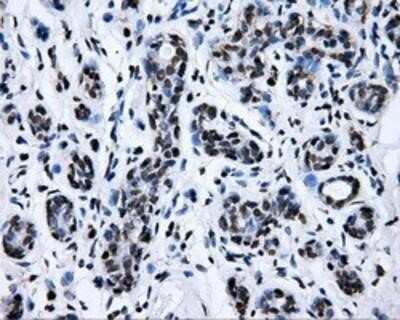
Immunohistochemistry-Paraffin: RALBP1 Antibody (OTI11B2) [NBP2-02293]

Immunohistochemistry-Paraffin: RALBP1 Antibody (OTI11B2) [NBP2-02293]

Immunohistochemistry-Paraffin: RALBP1 Antibody (OTI11B2) [NBP2-02293] - Staining of paraffin-embedded prostate tissue using anti-RALBP1 mouse monoclonal antibody.

Applications for RALBP1 Antibody (OTI11B2)

Application
Recommended Usage

Flow Cytometry

1:100

Immunocytochemistry/ Immunofluorescence

1:100

Immunohistochemistry

1:50

Immunohistochemistry-Paraffin

1:50

Immunoprecipitation

4ug/ml

Western Blot

1:2000

Formulation, Preparation, and Storage

Purification

Immunogen affinity purified

Formulation

PBS (pH 7.3), 1.0% BSA and 50% Glycerol

Preservative

0.02% Sodium Azide

Concentration

0.84 mg/ml

Shipping

The product is shipped with polar packs. Upon receipt, store it immediately at the temperature recommended below.

Stability & Storage

Store at -20C. Avoid freeze-thaw cycles.

Background: RALBP1

Can activate specifically hydrolysis of GTP bound to RAC1 and CDC42, but not RALA. Mediates ATP-dependent transport of S-(2,4-dinitrophenyl)-glutathione (DNP-SG) and doxorubicin (DOX) and is the major ATP-dependent transporter of glutathione conjugates of electrophiles (GS-E) and DOX in erythrocytes. Can catalyze transport of glutathione conjugates and xenobiotics, and may contribute to the multidrug resistance phenomenon. Serves as a scaffold protein that brings together proteins forming an endocytotic complex during interphase and also with CDC2 to switch off endocytosis, One of its substrates would be EPN1/Epsin

Alternate Names

Dinitrophenyl S-glutathione ATPase, ralA binding protein 1, ralA-binding protein 1,76 kDa Ral-interacting protein, RalBP1, Ral-interacting protein 1, RIP, RIP1, RLIP1, RLIP76DNP-SG ATPase

Entrez Gene IDs

866 (Human)

Gene Symbol

SERPINA6

Additional RALBP1 Products

Product Documents for RALBP1 Antibody (OTI11B2)

Certificate of Analysis

To download a Certificate of Analysis, please enter a lot number in the search box below.

Product Specific Notices for RALBP1 Antibody (OTI11B2)

This product is for research use only and is not approved for use in humans or in clinical diagnosis. Primary Antibodies are guaranteed for 1 year from date of receipt.

Loading...
Loading...
Loading...
Loading...
Loading...
Loading...