Skip to main content

RALBP1 Antibody (5C10W9)

Novus Biologicals, part of Bio-Techne | Catalog # NBP3-33554

Novus Biologicals, part of Bio-Techne
Catalog #
Availability
Size / Price
Qty
Loading...
NBP3-33554-100ul
NBP3-33554-20ul

Key Product Details

Species Reactivity

Human, Mouse, Rat

Applications

Immunohistochemistry, Immunohistochemistry-Paraffin, ELISA, Immunocytochemistry/ Immunofluorescence

Label

Unconjugated

Antibody Source

Monoclonal Rabbit IgG Clone # 5C10W9

Concentration

Please see the vial label for concentration. If unlisted please contact technical services.

Product Specifications

Immunogen

A synthetic peptide corresponding to a sequence within amino acids 200-300 of human RALBP1 (Q15311).

Sequence:
RTMMYDGIRLPAVFRECIDYVEKYGMKCEGIYRVSGIKSKVDELKAAYDREESTNLEDYEPNTVASLLKQYLRDLPENLLTKELMPRFEEACGRTTETEKV

Clonality

Monoclonal

Host

Rabbit

Isotype

IgG

Theoretical MW

76 kDa.
Disclaimer note: The observed molecular weight of the protein may vary from the listed predicted molecular weight due to post translational modifications, post translation cleavages, relative charges, and other experimental factors.

Description

Novus Biologicals Rabbit RALBP1 Antibody (5C10W9) (NBP3-33554) is a monoclonal antibody validated for use in IHC, ELISA and ICC/IF. All Novus Biologicals antibodies are covered by our 100% guarantee.

Scientific Data Images for RALBP1 Antibody (5C10W9)

RALBP1 Antibody (5C10W9)

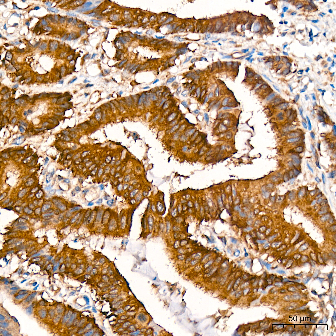
Immunohistochemistry: RALBP1 Antibody (5C10W9) [NBP3-33554] -

Immunohistochemistry: RALBP1 Antibody (5C10W9) [NBP3-33554] - Immunohistochemistry analysis of RALBP1 in paraffin-embedded rat colon tissue using RALBP1 Rabbit mAb at a dilution of 1:200 (40x lens). High pressure antigen retrieval was performed with 0.01 M citrate buffer (pH 6.0) prior to IHC staining.
RALBP1 Antibody (5C10W9)

Immunohistochemistry: RALBP1 Antibody (5C10W9) [NBP3-33554] -

Immunohistochemistry: RALBP1 Antibody (5C10W9) [NBP3-33554] - Immunohistochemistry analysis of RALBP1 in paraffin-embedded mouse brain tissue using RALBP1 Rabbit mAb at a dilution of 1:200 (40x lens). High pressure antigen retrieval was performed with 0.01 M citrate buffer (pH 6.0) prior to IHC staining.
RALBP1 Antibody (5C10W9)

Immunohistochemistry: RALBP1 Antibody (5C10W9) [NBP3-33554] -

Immunohistochemistry: RALBP1 Antibody (5C10W9) [NBP3-33554] - Immunohistochemistry analysis of RALBP1 in paraffin-embedded mouse testis tissue using RALBP1 Rabbit mAb at a dilution of 1:200 (40x lens). High pressure antigen retrieval was performed with 0.01 M citrate buffer (pH 6.0) prior to IHC staining.

Applications for RALBP1 Antibody (5C10W9)

Application
Recommended Usage

ELISA

Recommended starting concentration is 1 ug/mL

Immunocytochemistry/ Immunofluorescence

1:50 - 1:200

Immunohistochemistry-Paraffin

1:50 - 1:200

Formulation, Preparation, and Storage

Purification

Affinity purified

Formulation

PBS (pH 7.3), 50% glycerol, 0.05% BSA

Preservative

0.02% Sodium Azide

Concentration

Please see the vial label for concentration. If unlisted please contact technical services.

Shipping

The product is shipped with polar packs. Upon receipt, store it immediately at the temperature recommended below.

Stability & Storage

Store at -20C. Avoid freeze-thaw cycles.

Background: RALBP1

The receptor interacting protein kinase 1 (RIP1) is essential for the activation of nuclear factor kappaB (NF-kappaB) by tumor necrosis factor alpha (TNFalpha). RIP1 can be polyubiquitinated at Lys 377, which is required for the activation of IkappaB kinase (IKK) and NF-kappaB.

Alternate Names

Dinitrophenyl S-glutathione ATPase, ralA binding protein 1, ralA-binding protein 1,76 kDa Ral-interacting protein, RalBP1, Ral-interacting protein 1, RIP, RIP1, RLIP1, RLIP76DNP-SG ATPase

Gene Symbol

RALBP1

Additional RALBP1 Products

Product Documents for RALBP1 Antibody (5C10W9)

Certificate of Analysis

To download a Certificate of Analysis, please enter a lot number in the search box below.

Product Specific Notices for RALBP1 Antibody (5C10W9)

This product is for research use only and is not approved for use in humans or in clinical diagnosis. Primary Antibodies are guaranteed for 1 year from date of receipt.

Loading...
Loading...
Loading...
Loading...