Skip to main content

Rac1 Antibody - Azide and BSA Free

Novus Biologicals, part of Bio-Techne | Catalog # NBP2-94917

Novus Biologicals, part of Bio-Techne
Catalog #
Availability
Size / Price
Qty
Loading...
NBP2-94917-0.02ml
NBP2-94917-0.1ml

Key Product Details

Species Reactivity

Human, Mouse, Rat

Applications

ELISA, Immunocytochemistry/ Immunofluorescence, Immunohistochemistry, Immunohistochemistry-Paraffin, Western Blot

Label

Unconjugated

Antibody Source

Polyclonal Rabbit IgG

Format

Azide and BSA Free

Concentration

Please see the vial label for concentration. If unlisted please contact technical services.

Product Specifications

Immunogen

Recombinant fusion protein containing a sequence corresponding to amino acids 1-192 of human Rac1/2/3 (NP_008839.2). MQAIKCVVVGDGAVGKTCLLISYTTNAFPGEYIPTVFDNYSANVMVDGKPVNLGLWDTAGQEDYDRLRPLSYPQTDVFLICFSLVSPASFENVRAKWYPEVRHHCPNTPIILVGTKLDLRDDKDTIEKLKEKKLTPITYPQGLAMAKEIGAVKYLECSALTQRGLKTVFDEAIRAVLCPPPVKKRKRKCLLL

Clonality

Polyclonal

Host

Rabbit

Isotype

IgG

Description

Novus Biologicals Rabbit Rac1 Antibody - Azide and BSA Free (NBP2-94917) is a polyclonal antibody validated for use in IHC, WB, ELISA and ICC/IF. All Novus Biologicals antibodies are covered by our 100% guarantee.

Scientific Data Images for Rac1 Antibody - Azide and BSA Free

Western Blot: Rac1 AntibodyAzide and BSA Free [NBP2-94917]

Western Blot: Rac1 AntibodyAzide and BSA Free [NBP2-94917]

Western Blot: Rac1 Antibody [NBP2-94917] - Western blot analysis of extracts of various cell lines, using Rac1 antibody (NBP2-94917) at 1:1000 dilution. Secondary antibody: HRP Goat Anti-Rabbit IgG (H+L) at 1:10000 dilution. Lysates/proteins: 25ug per lane. Blocking buffer: 3% nonfat dry milk in TBST. Detection: ECL Basic Kit. Exposure time: 30s.
Immunocytochemistry/ Immunofluorescence: Rac1 Antibody - Azide and BSA Free [NBP2-94917]

Immunocytochemistry/ Immunofluorescence: Rac1 Antibody - Azide and BSA Free [NBP2-94917]

Immunocytochemistry/Immunofluorescence: Rac1 Antibody [NBP2-94917] - Immunofluorescence analysis of NIH-3T3 cells using Rac1 Rabbit pAb (NBP2-94917) at dilution of 1:100 (40x lens). Blue: DAPI for nuclear staining.
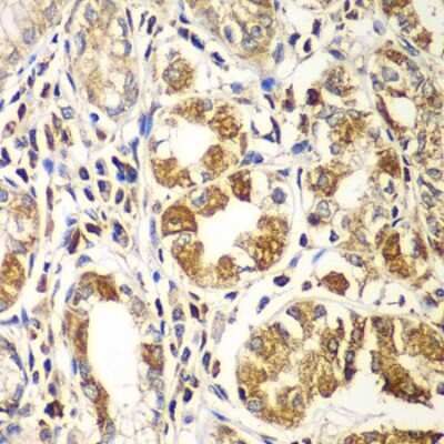
Immunohistochemistry-Paraffin: Rac1 Antibody - Azide and BSA Free [NBP2-94917]

Immunohistochemistry-Paraffin: Rac1 Antibody - Azide and BSA Free [NBP2-94917]

Immunohistochemistry-Paraffin: Rac1 Antibody [NBP2-94917] - Paraffin-embedded human gastric using Rac1 .

Applications for Rac1 Antibody - Azide and BSA Free

Application
Recommended Usage

ELISA

Recommended starting concentration is 1 ug/mL

Immunocytochemistry/ Immunofluorescence

1:50 - 1:200

Immunohistochemistry

1:50 - 1:200

Western Blot

1:500 - 1:1000

Formulation, Preparation, and Storage

Purification

Affinity purified

Formulation

PBS (pH 7.3), 50% glycerol

Format

Azide and BSA Free

Preservative

0.05% Proclin 300

Concentration

Please see the vial label for concentration. If unlisted please contact technical services.

Shipping

The product is shipped with polar packs. Upon receipt, store it immediately at the temperature recommended below.

Stability & Storage

Store at -20C. Avoid freeze-thaw cycles.

Background: Rac1

Plasma membrane-associated small GTPase which cycles between active GTP-bound and inactive GDP-bound states. In its active state, binds to a variety of effector proteins to regulate cellular responses such as secretory processes, phagocytosis of apoptotic cells, epithelial cell polarization and growth-factor induced formation of membrane ruffles.

Long Name

Ras-related C3 Botulinum Toxin Substrate 1 (Rho Family, small GTP binding Protein Rac1)

Alternate Names

p21-Rac1, TC-25

Gene Symbol

RAC1

Additional Rac1 Products

Product Documents for Rac1 Antibody - Azide and BSA Free

Certificate of Analysis

To download a Certificate of Analysis, please enter a lot number in the search box below.

Product Specific Notices for Rac1 Antibody - Azide and BSA Free

This product is for research use only and is not approved for use in humans or in clinical diagnosis. Primary Antibodies are guaranteed for 1 year from date of receipt.

Loading...
Loading...
Loading...
Loading...

⚠ WARNING: This product can expose you to chemicals including Methotrexate, which is known to the State of California to cause reproductive toxicity with developmental effects. For more information, go to www.P65Warnings.ca.gov