Skip to main content

RABL3 Antibody - BSA Free

Novus Biologicals, part of Bio-Techne | Catalog # NBP3-46810

Novus Biologicals, part of Bio-Techne
Catalog #
Availability
Size / Price
Qty
Loading...
NBP3-46810

Key Product Details

Species Reactivity

Human, Mouse, Rat

Applications

Immunohistochemistry, Western Blot, ELISA, Immunoprecipitation

Label

Unconjugated

Antibody Source

Polyclonal Rabbit IgG

Format

BSA Free

Concentration

Please see the vial label for concentration. If unlisted please contact technical services.

Product Specifications

Immunogen

RAB, member of RAS oncogene family-like 3. (Uniprot# Q5HYI8)

Clonality

Polyclonal

Host

Rabbit

Isotype

IgG

Theoretical MW

26 kDa.
Disclaimer note: The observed molecular weight of the protein may vary from the listed predicted molecular weight due to post translational modifications, post translation cleavages, relative charges, and other experimental factors.

Description

Novus Biologicals Rabbit RABL3 Antibody - BSA Free (NBP3-46810) is a polyclonal antibody validated for use in IHC, WB, ELISA and IP. All Novus Biologicals antibodies are covered by our 100% guarantee.

Scientific Data Images for RABL3 Antibody - BSA Free

RABL3 Antibody - BSA Free

Western Blot: RABL3 Antibody - BSA Free [NBP3-46810] -

Western Blot: RABL3 Antibody - BSA Free [NBP3-46810] - Human lung tissue were subjected to SDS PAGE followed by western blot with (RABL3 antibody) at dilution of 1:300
RABL3 Antibody - BSA Free

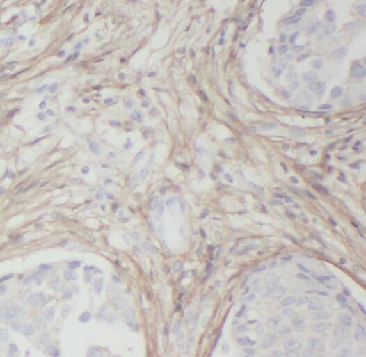
Immunohistochemistry: RABL3 Antibody - BSA Free [NBP3-46810] -

Immunohistochemistry: RABL3 Antibody - BSA Free [NBP3-46810] - Immunohistochemistry of paraffin-embedded human breast cancer tissue slide using (RABL3 Antibody) at dilution of 1:50
RABL3 Antibody - BSA Free

Immunoprecipitation: RABL3 Antibody - BSA Free [NBP3-46810] -

Immunoprecipitation: RABL3 Antibody - BSA Free [NBP3-46810] - IP Result of anti-RABL3 (IP:, 3ug; Detection: 1:300) with mouse lung tissue lysate 4000ug.

Applications for RABL3 Antibody - BSA Free

Application
Recommended Usage

Immunohistochemistry

1:20-1:200

Immunoprecipitation

1:200-1:1000

Western Blot

1:500-1:2000

Formulation, Preparation, and Storage

Purification

Immunogen affinity purified

Formulation

PBS, 50% Glycerol, pH (7.3)

Format

BSA Free

Preservative

0.02% Sodium Azide

Concentration

Please see the vial label for concentration. If unlisted please contact technical services.

Shipping

The product is shipped with polar packs. Upon receipt, store it immediately at the temperature recommended below.

Stability & Storage

Store at -20C. Avoid freeze-thaw cycles.

Background: RABL3

RABL3( AAH20832, 1 a.a. - 237 a.a.) full-length recombinant protein with GST.

Alternate Names

MGC23920, RAB, member of RAS oncogene family-like 3, rab-like protein 3

Gene Symbol

RABL3

Additional RABL3 Products

Product Documents for RABL3 Antibody - BSA Free

Certificate of Analysis

To download a Certificate of Analysis, please enter a lot number in the search box below.

Product Specific Notices for RABL3 Antibody - BSA Free

This product is for research use only and is not approved for use in humans or in clinical diagnosis. Primary Antibodies are guaranteed for 1 year from date of receipt.

Loading...
Loading...
Loading...
Loading...