Skip to main content

RAB9A Antibody - BSA Free

Novus Biologicals, part of Bio-Techne | Catalog # NBP3-12712

Novus Biologicals, part of Bio-Techne
Catalog #
Availability
Size / Price
Qty
Loading...
NBP3-12712-100ul
NBP3-12712-50ul

Key Product Details

Species Reactivity

Human

Applications

Immunohistochemistry-Paraffin, Immunoprecipitation, Western Blot

Label

Unconjugated

Antibody Source

Polyclonal Rabbit IgG

Format

BSA Free

Concentration

Please see the vial label for concentration. If unlisted please contact technical services.

Product Specifications

Immunogen

Produced in rabbits immunized with E. coli-derived Human RAB9A fragment

Clonality

Polyclonal

Host

Rabbit

Isotype

IgG

Description

This antibody can be stored at 2-8C for one month without detectable loss of activity. Antibody products are stable for twelve months from date of receipt when stored at -20C to -80C. Avoid repeated freeze-thaw cycles.

Protein A & Antigen Affinity purified

Scientific Data Images for RAB9A Antibody - BSA Free

Western Blot: RAB9A Antibody [NBP3-12712]

Western Blot: RAB9A Antibody [NBP3-12712]

Western Blot: RAB9A Antibody [NBP3-12712] - Lane A: HeLa Whole Cell LysateLane B: Jurkat Whole Cell LysateLane C: HepG2 Whole Cell LysateLane D: K562 Whole Cell LysateLysates/proteins at 30 ug per lane.SecondaryGoat Anti-Rabbit IgG (H+L)/HRP at 1/10000 dilution.Developed using the ECL technique.Performed under reducing conditions.Predicted band size:22 kDaObserved band size:24 kDa
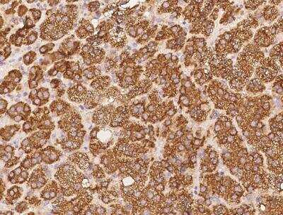
Immunohistochemistry-Paraffin: RAB9A Antibody [NBP3-12712]

Immunohistochemistry-Paraffin: RAB9A Antibody [NBP3-12712]

Immunohistochemistry-Paraffin: RAB9A Antibody [NBP3-12712] - Staining of human RAB9A in human adrenal gland with rabbit polyclonal antibody at 1:500 dilution.
Immunoprecipitation: RAB9A Antibody [NBP3-12712]

Immunoprecipitation: RAB9A Antibody [NBP3-12712]

Immunoprecipitation: RAB9A Antibody [NBP3-12712] - Lane A:0.5 mg HeLa Whole Cell Lysate4 uL anti-RAB9A rabbit polyclonal antibody and 60 ug of Immunomagnetic beads Protein A/G.Primary antibody:Anti-RAB9A rabbit polyclonal antibody,at 1:100 dilution Secondary antibody:Goat Anti-Rabbit IgG (H+L)/HRP at 1/10000 dilutionDeveloped using the ECL technique.Performed under reducing conditions.Predicted band size: 22 kDaObserved band size :22 kDa

Applications for RAB9A Antibody - BSA Free

Application
Recommended Usage

Immunohistochemistry-Paraffin

1:200-1:1000

Immunoprecipitation

1-5uL/mg of uLysate

Western Blot

1:500-1:2000

Formulation, Preparation, and Storage

Purification

Antigen and protein A Affinity-purified

Formulation

PBS

Format

BSA Free

Preservative

0.03% Proclin 300

Concentration

Please see the vial label for concentration. If unlisted please contact technical services.

Shipping

The product is shipped with polar packs. Upon receipt, store it immediately at the temperature recommended below.

Stability & Storage

Store at 4C short term. Aliquot and store at -20C long term. Avoid freeze-thaw cycles.

Background: RAB9A

Rab proteins are a family of Ras-like GTPases involved in intracellular compartment protein transport. Different members of the 40+ member rab family are responsible for docking and fusion of transport vesicles between different compartments within the cell. Rab 9 is required for trafficking mannose 6-phosphate receptor between the late endosome to trans-Golgi network (TGN). By facilitating receptor transport, rab 9 enables cells to efficiently recycle important cellular trafficking components. It is functionally necessary for rab 9, like other rab family members, to be prenylated by two 20-carbon geranylgeranyl groups at the C-terminus. Most prenylated rab 9 is membrane bound, however, 10-20% of the cellular pool of rab 9 is bound to GDP dissociation inhibitor-alpha (GDI-alpha) in the cytosol. GDI recycles prenylated, GDP bound rab 9 from their fusion targets back to their membranes of origin.

Alternate Names

RAB9A, member RAS oncogene family, RAB9RAB9, member RAS oncogene family, ras-related protein Rab-9A

Gene Symbol

RAB9A

Additional RAB9A Products

Product Documents for RAB9A Antibody - BSA Free

Certificate of Analysis

To download a Certificate of Analysis, please enter a lot number in the search box below.

Product Specific Notices for RAB9A Antibody - BSA Free

This product is for research use only and is not approved for use in humans or in clinical diagnosis. Primary Antibodies are guaranteed for 1 year from date of receipt.

Loading...
Loading...
Loading...
Loading...