Skip to main content

RAB9A Antibody (S09-7I8)

Novus Biologicals, part of Bio-Techne | Catalog # NBP3-19755

Recombinant Monoclonal Antibody
Novus Biologicals, part of Bio-Techne
Catalog #
Availability
Size / Price
Qty
Loading...
NBP3-19755-100ul
NBP3-19755-50ul

Key Product Details

Species Reactivity

Human, Mouse, Rat

Applications

Immunohistochemistry, Immunohistochemistry-Paraffin, Western Blot

Label

Unconjugated

Antibody Source

Recombinant Monoclonal Rabbit IgG Clone # S09-7I8 expressed in HEK293

Concentration

0.3 mg/ml

Product Specifications

Immunogen

A synthetic peptide of human RAB9A (Uniprot # P51151)

Clonality

Monoclonal

Host

Rabbit

Isotype

IgG

Theoretical MW

23 kDa.
Disclaimer note: The observed molecular weight of the protein may vary from the listed predicted molecular weight due to post translational modifications, post translation cleavages, relative charges, and other experimental factors.

Description

Novus Biologicals Rabbit RAB9A Antibody (S09-7I8) (NBP3-19755) is a recombinant monoclonal antibody validated for use in IHC and WB. All Novus Biologicals antibodies are covered by our 100% guarantee.

Scientific Data Images for RAB9A Antibody (S09-7I8)

Western Blot: RAB9A Antibody (S09-7I8) [NBP3-19755]

Western Blot: RAB9A Antibody (S09-7I8) [NBP3-19755]

Western Blot: RAB9A Antibody (S09-7I8) [NBP3-19755] - Western blot detection of RAB9A in 3T3, Hela cell lysates using NBP3-19755 (1:1000 diluted). Predicted band size: 23kDa. Observed band size: 23kDa.
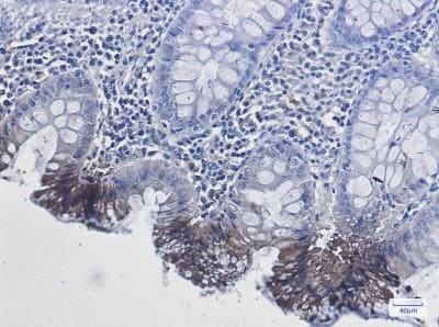
Immunohistochemistry-Paraffin: RAB9A Antibody (S09-7I8) [NBP3-19755]

Immunohistochemistry-Paraffin: RAB9A Antibody (S09-7I8) [NBP3-19755]

Immunohistochemistry-Paraffin: RAB9A Antibody (S09-7I8) [NBP3-19755] - Immunohistochemistry of RAB9A in paraffin-embedded Human colon cancer tissue using NBP3-19755 at dilution 1/50

Applications for RAB9A Antibody (S09-7I8)

Application
Recommended Usage

Immunohistochemistry

1/50

Western Blot

1/1000-1/5000

Formulation, Preparation, and Storage

Purification

Affinity purified

Formulation

50mM Tris-Glycine(pH 7.4), 0.15M NaCl, 40% Glycerol, 0.05% BSA

Preservative

0.01% Sodium Azide

Concentration

0.3 mg/ml

Shipping

The product is shipped with polar packs. Upon receipt, store it immediately at the temperature recommended below.

Stability & Storage

Store at 4C short term. Aliquot and store at -20C long term. Avoid freeze-thaw cycles.

Background: RAB9A

Rab proteins are a family of Ras-like GTPases involved in intracellular compartment protein transport. Different members of the 40+ member rab family are responsible for docking and fusion of transport vesicles between different compartments within the cell. Rab 9 is required for trafficking mannose 6-phosphate receptor between the late endosome to trans-Golgi network (TGN). By facilitating receptor transport, rab 9 enables cells to efficiently recycle important cellular trafficking components. It is functionally necessary for rab 9, like other rab family members, to be prenylated by two 20-carbon geranylgeranyl groups at the C-terminus. Most prenylated rab 9 is membrane bound, however, 10-20% of the cellular pool of rab 9 is bound to GDP dissociation inhibitor-alpha (GDI-alpha) in the cytosol. GDI recycles prenylated, GDP bound rab 9 from their fusion targets back to their membranes of origin.

Alternate Names

RAB9A, member RAS oncogene family, RAB9RAB9, member RAS oncogene family, ras-related protein Rab-9A

Gene Symbol

RAB9A

Additional RAB9A Products

Product Documents for RAB9A Antibody (S09-7I8)

Certificate of Analysis

To download a Certificate of Analysis, please enter a lot number in the search box below.

Product Specific Notices for RAB9A Antibody (S09-7I8)

This product is for research use only and is not approved for use in humans or in clinical diagnosis. Primary Antibodies are guaranteed for 1 year from date of receipt.

Loading...
Loading...
Loading...
Loading...