Skip to main content

RAB6A Antibody - BSA Free

Novus Biologicals, part of Bio-Techne | Catalog # NBP2-32386

Novus Biologicals, part of Bio-Techne
Catalog #
Availability
Size / Price
Qty
Loading...
NBP2-32386

Key Product Details

Species Reactivity

Validated:

Human

Cited:

Human

Predicted:

Mouse (96%), Rat (96%). Backed by our 100% Guarantee.

Applications

Validated:

Immunohistochemistry, Immunohistochemistry-Paraffin, Western Blot, Immunocytochemistry/ Immunofluorescence

Cited:

Western Blot

Label

Unconjugated

Antibody Source

Polyclonal Rabbit IgG

Format

BSA Free

Concentration

Concentrations vary lot to lot. See vial label for concentration. If unlisted please contact technical services.

Product Specifications

Immunogen

This antibody was developed against a recombinant protein corresponding to amino acids: SREDMIDIKLEKPQEQPVSEGGCSC

Clonality

Polyclonal

Host

Rabbit

Isotype

IgG

Description

Novus Biologicals Rabbit RAB6A Antibody - BSA Free (NBP2-32386) is a polyclonal antibody validated for use in IHC, WB and ICC/IF. Anti-RAB6A Antibody: Cited in 1 publication. All Novus Biologicals antibodies are covered by our 100% guarantee.

Scientific Data Images for RAB6A Antibody - BSA Free

Western Blot: RAB6A Antibody [NBP2-32386]

Western Blot: RAB6A Antibody [NBP2-32386]

Western Blot: RAB6A Antibody [NBP2-32386] - Analysis in human cell line SK-MEL-30.
Immunocytochemistry/ Immunofluorescence: RAB6A Antibody [NBP2-32386]

Immunocytochemistry/ Immunofluorescence: RAB6A Antibody [NBP2-32386]

Immunocytochemistry/Immunofluorescence: RAB6A Antibody [NBP2-32386] - Staining of human cell line Hep G2 shows localization to the Golgi apparatus. Antibody staining is shown in green.
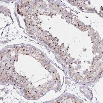
Immunohistochemistry-Paraffin: RAB6A Antibody [NBP2-32386]

Immunohistochemistry-Paraffin: RAB6A Antibody [NBP2-32386]

Immunohistochemistry-Paraffin: RAB6A Antibody [NBP2-32386] - Staining of human Testis shows strong granular cytoplasmic positivity in cells in seminiferous ducts.

Applications for RAB6A Antibody - BSA Free

Application
Recommended Usage

Immunocytochemistry/ Immunofluorescence

0.25-2 ug/ml

Immunohistochemistry

1:50 - 1:200

Immunohistochemistry-Paraffin

1:50 - 1:200

Western Blot

0.04-0.4 ug/ml
Application Notes
For IHC-Paraffin, HIER pH 6 retrieval is recommended. ICC/IF Fixation Permeabilization: Use PFA/Triton X-100.

Formulation, Preparation, and Storage

Purification

Immunogen affinity purified

Formulation

PBS (pH 7.2) and 40% Glycerol

Format

BSA Free

Preservative

0.02% Sodium Azide

Concentration

Concentrations vary lot to lot. See vial label for concentration. If unlisted please contact technical services.

Shipping

The product is shipped with polar packs. Upon receipt, store it immediately at the temperature recommended below.

Stability & Storage

Store at 4C short term. Aliquot and store at -20C long term. Avoid freeze-thaw cycles.

Background: RAB6A

Protein transport. Regulator of membrane traffic from the Golgi apparatus towards the endoplasmic reticulum (ER). Has a low GTPase activity

Alternate Names

GTP-binding protein RAB6A', GTP-binding protein RAB6B, Oncogene RAB6, Rab GTPase, Rab-6, RAB6, member RAS oncogene family, RAB6A', Rab6A variant 3, RAB6A, member RAS oncogene family, RAB6B, RAB6rab-6, ras-related protein Rab-6A

Gene Symbol

RAB6A

Additional RAB6A Products

Product Documents for RAB6A Antibody - BSA Free

Certificate of Analysis

To download a Certificate of Analysis, please enter a lot number in the search box below.

Product Specific Notices for RAB6A Antibody - BSA Free

This product is for research use only and is not approved for use in humans or in clinical diagnosis. Primary Antibodies are guaranteed for 1 year from date of receipt.

Loading...
Loading...
Loading...
Loading...