Skip to main content

RAB35 Antibody - Azide Free

Novus Biologicals, part of Bio-Techne | Catalog # NBP2-20042

Novus Biologicals, part of Bio-Techne
Catalog #
Availability
Size / Price
Qty
Loading...
NBP2-20042

Key Product Details

Species Reactivity

Validated:

Human, Mouse, Rat, Hamster

Cited:

Mouse

Predicted:

Bovine (100%), Chicken (98%), Porcine (100%), Rhesus Macaque (100%), Xenopus (96%). Backed by our 100% Guarantee.

Applications

Validated:

Immunohistochemistry, Immunohistochemistry-Paraffin, Western Blot, Immunocytochemistry/ Immunofluorescence

Cited:

Immunohistochemistry-Paraffin

Label

Unconjugated

Antibody Source

Polyclonal Rabbit IgG

Format

Azide Free

Concentration

Concentrations vary lot to lot. See vial label for concentration. If unlisted please contact technical services.

Product Specifications

Immunogen

Recombinant protein encompassing a sequence within the center region of human RAB35. The exact sequence is proprietary.

Localization

Cell membrane; Lipid-anchor; Cytoplasmic side (Potential); Melanosome

Clonality

Polyclonal

Host

Rabbit

Isotype

IgG

Theoretical MW

23 kDa.
Disclaimer note: The observed molecular weight of the protein may vary from the listed predicted molecular weight due to post translational modifications, post translation cleavages, relative charges, and other experimental factors.

Description

Novus Biologicals Rabbit RAB35 Antibody - Azide Free (NBP2-20042) is a polyclonal antibody validated for use in IHC, WB and ICC/IF. Anti-RAB35 Antibody: Cited in 1 publication. All Novus Biologicals antibodies are covered by our 100% guarantee.

Scientific Data Images for RAB35 Antibody - Azide Free

Immunocytochemistry/ Immunofluorescence: RAB35 Antibody [NBP2-20042]

Immunocytochemistry/ Immunofluorescence: RAB35 Antibody [NBP2-20042]

Immunocytochemistry/Immunofluorescence: RAB35 Antibody [NBP2-20042] - RAB35 antibody [N1C3] detects RAB35 protein at Golgi apparatus by immunofluorescent analysis.Sample: U87-MG cells were fixed in 4% paraformaldehyde at RT for 15 min.Green: RAB35 stained by RAB35 antibody [N1C3] diluted at 1:500.Blue: Hoechst 33342 staining.
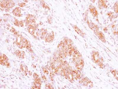
Immunohistochemistry-Paraffin: RAB35 Antibody [NBP2-20042]

Immunohistochemistry-Paraffin: RAB35 Antibody [NBP2-20042]

Immunohistochemistry-Paraffin: RAB35 Antibody [NBP2-20042] - Human breast cancer, using RAB35 antibody at 1:250 dilution. Antigen Retrieval: Citrate buffer, pH 6.0, 15 min.
Western Blot: RAB35 Antibody [NBP2-20042]

Western Blot: RAB35 Antibody [NBP2-20042]

Western Blot: RAB35 Antibody [NBP2-20042] - Non-transfected (-) and transfected (+) 293T whole cell extracts (30 ug) were separated by 12% SDS-PAGE, and the membrane was blotted with RAB35 antibody [N1C3] diluted at 1:2000. The HRP-conjugated anti-rabbit IgG antibody was used to detect the primary antibody.

Applications for RAB35 Antibody - Azide Free

Application
Recommended Usage

Immunocytochemistry/ Immunofluorescence

1:100-1:1000

Immunohistochemistry

1:100-1:1000

Immunohistochemistry-Paraffin

1:100-1:1000

Western Blot

1:500-1:3000

Formulation, Preparation, and Storage

Purification

Antigen Affinity-purified

Formulation

PBS, 1% BSA, 20% Glycerol

Format

Azide Free

Preservative

0.025% Proclin 300

Concentration

Concentrations vary lot to lot. See vial label for concentration. If unlisted please contact technical services.

Shipping

The product is shipped with polar packs. Upon receipt, store it immediately at the temperature recommended below.

Stability & Storage

Aliquot and store at -20C or -80C. Avoid freeze-thaw cycles.

Background: RAB35

Possesses GTPase activity

Alternate Names

GTP-binding protein RAY, H-ray, RAB1C, RAB35, member RAS oncogene family, Ras-related protein Rab-1C, ras-related protein rab-1c (GTP-binding protein ray), ras-related protein Rab-35, RAY

Gene Symbol

RAB35

UniProt

Additional RAB35 Products

Product Documents for RAB35 Antibody - Azide Free

Certificate of Analysis

To download a Certificate of Analysis, please enter a lot number in the search box below.

Product Specific Notices for RAB35 Antibody - Azide Free

This product is for research use only and is not approved for use in humans or in clinical diagnosis. Primary Antibodies are guaranteed for 1 year from date of receipt.

Loading...
Loading...
Loading...
Loading...