Skip to main content

RAB18 Antibody - BSA Free

Novus Biologicals, part of Bio-Techne | Catalog # NBP1-85966

Novus Biologicals, part of Bio-Techne
Catalog #
Availability
Size / Price
Qty
Loading...
NBP1-85966
NBP1-85966-25ul

Key Product Details

Species Reactivity

Validated:

Human

Predicted:

Mouse (98%), Rat (97%). Backed by our 100% Guarantee.

Applications

Immunohistochemistry, Immunohistochemistry-Paraffin, Western Blot

Label

Unconjugated

Antibody Source

Polyclonal Rabbit IgG

Format

BSA Free

Concentration

Concentrations vary lot to lot. See vial label for concentration. If unlisted please contact technical services.

Product Specifications

Immunogen

This antibody was developed against Recombinant Protein corresponding to amino acids: VYDVTRRDTFVKLDNWLNELETYCTRNDIVNMLVGNKIDKENREVDRNEGLKFARKHSMLFIEASAKTCDGVQCAFEELVEKIIQTPGLWESENQNKGVKLSHREEGQGGGACGGYCSV

Reactivity Notes

Reactivity reported in scientific literature (PMID: 23435261)

Clonality

Polyclonal

Host

Rabbit

Isotype

IgG

Description

Novus Biologicals Rabbit RAB18 Antibody - BSA Free (NBP1-85966) is a polyclonal antibody validated for use in IHC and WB. Anti-RAB18 Antibody: Cited in 1 publication. All Novus Biologicals antibodies are covered by our 100% guarantee.

Scientific Data Images for RAB18 Antibody - BSA Free

RAB18 Antibody - BSA Free Immunohistochemistry-Paraffin: RAB18 Antibody - BSA Free [NBP1-85966]

Immunohistochemistry-Paraffin: RAB18 Antibody - BSA Free [NBP1-85966]

Staining of human kidney shows strong granular cytoplasmic positivity in cells in tubules.
RAB18 Antibody - BSA Free Immunohistochemistry-Paraffin: RAB18 Antibody - BSA Free [NBP1-85966]

Immunohistochemistry-Paraffin: RAB18 Antibody - BSA Free [NBP1-85966]

Staining of human small intestine shows moderate granular cytoplasmic positivity in glandular cells.
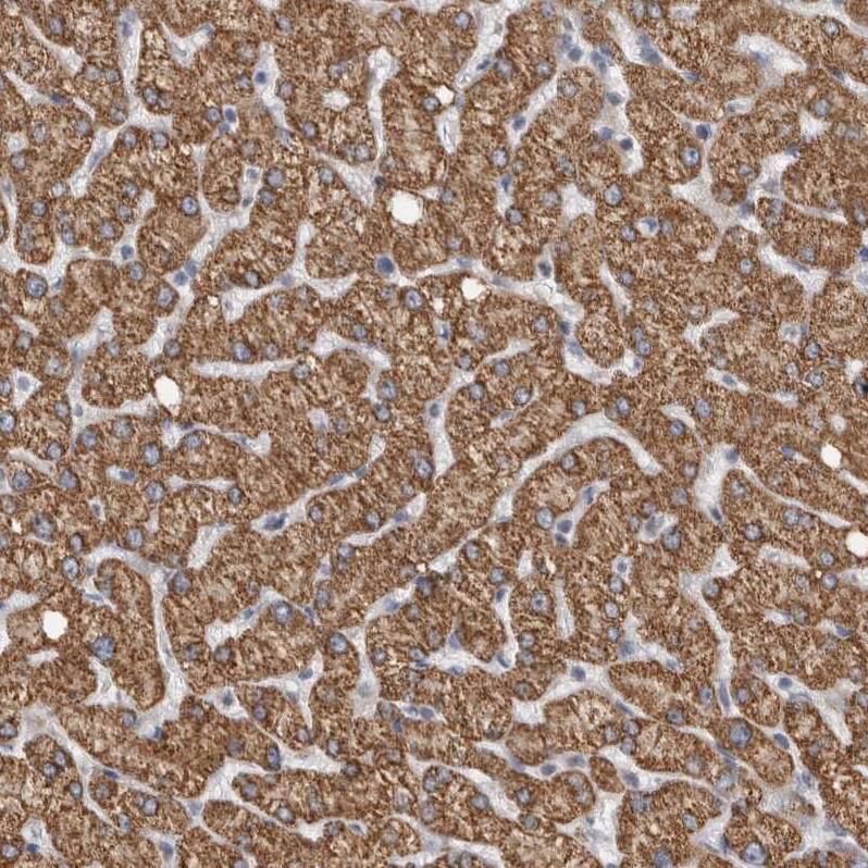
RAB18 Antibody - BSA Free Immunohistochemistry-Paraffin: RAB18 Antibody - BSA Free [NBP1-85966]

Immunohistochemistry-Paraffin: RAB18 Antibody - BSA Free [NBP1-85966]

Staining of human liver shows moderate granular cytoplasmic positivity in hepatocytes.

Applications for RAB18 Antibody - BSA Free

Application
Recommended Usage

Immunohistochemistry

1:200 - 1:500

Immunohistochemistry-Paraffin

1:50-1:200

Western Blot

0.04 - 0.4 ug/ml
Application Notes
For IHC-Paraffin, HIER pH 6 retrieval is recommended.

Formulation, Preparation, and Storage

Purification

Immunogen affinity purified

Formulation

PBS (pH 7.2) and 40% Glycerol

Format

BSA Free

Preservative

0.02% Sodium Azide

Concentration

Concentrations vary lot to lot. See vial label for concentration. If unlisted please contact technical services.

Shipping

The product is shipped with polar packs. Upon receipt, store it immediately at the temperature recommended below.

Stability & Storage

Store at 4C short term. Aliquot and store at -20C long term. Avoid freeze-thaw cycles.

Background: RAB18

Rab proteins are members of a family of Ras-related small GTPases that regulate membrane trafficking in organelles and transport vesicles.(supplied by OMIM)

Alternate Names

RAB18 small GTPase, RAB18, member RAS oncogene family, RAB18LI1, ras-related protein Rab-18

Entrez Gene IDs

22931 (Human)

Gene Symbol

RAB18

UniProt

Additional RAB18 Products

Product Documents for RAB18 Antibody - BSA Free

Certificate of Analysis

To download a Certificate of Analysis, please enter a lot number in the search box below.

Product Specific Notices for RAB18 Antibody - BSA Free

This product is for research use only and is not approved for use in humans or in clinical diagnosis. Primary Antibodies are guaranteed for 1 year from date of receipt.

Loading...
Loading...
Loading...
Loading...