Skip to main content

RAB11FIP4 Antibody (OTI13B5)

Novus Biologicals, part of Bio-Techne | Catalog # NBP2-45496

Novus Biologicals, part of Bio-Techne
Catalog #
Availability
Size / Price
Qty
Loading...
NBP2-45496

Key Product Details

Species Reactivity

Validated:

Human, Mouse, Rat

Cited:

Human

Applications

Immunohistochemistry, Immunohistochemistry-Paraffin, Western Blot

Label

Unconjugated

Antibody Source

Monoclonal Mouse IgG2B Clone # OTI13B5

Concentration

1 mg/ml

Product Specifications

Immunogen

Human recombinant protein fragment corresponding to amino acids 91-177 of human RAB11FIP4(NP_116321) produced in E.coli.

Reactivity Notes

Please note that this antibody is reactive to Mouse and derived from the same host, Mouse. Mouse-On-Mouse blocking reagent may be needed for IHC and ICC experiments to reduce high background signal. You can find these reagents under catalog numbers PK-2200-NB and MP-2400-NB. Please contact Technical Support if you have any questions.

Clonality

Monoclonal

Host

Mouse

Isotype

IgG2B

Theoretical MW

71.7 kDa.
Disclaimer note: The observed molecular weight of the protein may vary from the listed predicted molecular weight due to post translational modifications, post translation cleavages, relative charges, and other experimental factors.

Description

Novus Biologicals Mouse RAB11FIP4 Antibody (OTI13B5) (NBP2-45496) is a monoclonal antibody validated for use in IHC and WB. Anti-RAB11FIP4 Antibody: Cited in 1 publication. All Novus Biologicals antibodies are covered by our 100% guarantee.

Scientific Data Images for RAB11FIP4 Antibody (OTI13B5)

Western Blot: RAB11FIP4 Antibody (OTI13B5) [NBP2-45496]

Western Blot: RAB11FIP4 Antibody (OTI13B5) [NBP2-45496]

Western Blot: RAB11FIP4 Antibody (13B5) [NBP2-45496] - Analysis of HEK293T cells were transiently transfected with the pCMV6-ENTRY control (Left lane) or pCMV6-ENTRY RAB11FIP4.
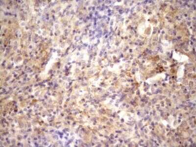
Immunohistochemistry: RAB11FIP4 Antibody (OTI13B5) [NBP2-45496]

Immunohistochemistry: RAB11FIP4 Antibody (OTI13B5) [NBP2-45496]

Immunohistochemistry: RAB11FIP4 Antibody (13B5) [NBP2-45496] - Analysis of Carcinoma of Human bladder tissue. (Heat-induced epitope retrieval by Tris-EDTA, pH8.0)

Applications for RAB11FIP4 Antibody (OTI13B5)

Application
Recommended Usage

Immunohistochemistry

1:150

Western Blot

1:2000

Formulation, Preparation, and Storage

Purification

Immunogen affinity purified

Formulation

PBS (pH 7.3), 1.0% BSA and 50% Glycerol

Preservative

0.02% Sodium Azide

Concentration

1 mg/ml

Shipping

The product is shipped with polar packs. Upon receipt, store it immediately at the temperature recommended below.

Stability & Storage

Store at -20C. Avoid freeze-thaw cycles.

Background: RAB11FIP4

Alternate Names

ARFO2, Arfophilin-2, FIP4-Rab11, FLJ00131, KIAA1821arfophilin-2, MGC11316, MGC126566, RAB11 family interacting protein 4 (class II), rab11 family-interacting protein 4, RAB11-FIP4

Gene Symbol

RAB11FIP4

Additional RAB11FIP4 Products

Product Documents for RAB11FIP4 Antibody (OTI13B5)

Certificate of Analysis

To download a Certificate of Analysis, please enter a lot number in the search box below.

Product Specific Notices for RAB11FIP4 Antibody (OTI13B5)

This product is for research use only and is not approved for use in humans or in clinical diagnosis. Primary Antibodies are guaranteed for 1 year from date of receipt.

Loading...
Loading...
Loading...
Loading...