Skip to main content

Rab11A Antibody (JE42-00)

Novus Biologicals, part of Bio-Techne | Catalog # NBP3-32883

Recombinant Monoclonal Antibody
Novus Biologicals, part of Bio-Techne
Catalog #
Availability
Size / Price
Qty
Loading...
NBP3-32883

Key Product Details

Species Reactivity

Human, Mouse, Rat

Applications

Immunohistochemistry, Immunohistochemistry-Paraffin, Western Blot

Label

Unconjugated

Antibody Source

Recombinant Monoclonal Rabbit IgG Clone # JE42-00 expressed in HEK293

Concentration

1 mg/ml

Product Specifications

Immunogen

Recombinant protein within Human Rab11A aa 117-216 / 216. (Uniprot: P62491)

Localization

Cell membrane.

Clonality

Monoclonal

Host

Rabbit

Isotype

IgG

Theoretical MW

24 kDa.
Disclaimer note: The observed molecular weight of the protein may vary from the listed predicted molecular weight due to post translational modifications, post translation cleavages, relative charges, and other experimental factors.

Description

Novus Biologicals Rabbit Rab11A Antibody (JE42-00) (NBP3-32883) is a recombinant monoclonal antibody validated for use in IHC and WB. All Novus Biologicals antibodies are covered by our 100% guarantee.

Scientific Data Images for Rab11A Antibody (JE42-00)

Rab11A Antibody (JE42-00)

Western Blot: Rab11A Antibody (JE42-00) [NBP3-32883]

Western Blot: Rab11A Antibody (JE42-00) [NBP3-32883] - Western blot analysis of Rab11A on different lysates with Rabbit anti-Rab11A antibody (NBP3-32883) at 1/1,000 dilution.

Lane 1: HeLa cell lysate (20 ug/Lane)
Lane 2: A549 cell lysate (20 ug/Lane)
Lane 3: SH-SY5Y cell lysate (20 ug/Lane)
Lane 4: Neuro-2a cell lysate (20 ug/Lane)
Lane 5: C6 cell lysate (20 ug/Lane)
Lane 6: Mouse testis tissue lysate (40 ug/Lane)
Lane 7: Rat testis tissue lysate (40 ug/Lane)
Lane 8: Rat brain tissue lysate (40 ug/Lane)

Predicted band size: 24 kDa
Observed band size: 24 kDa

Exposure time: 2 minutes 37 seconds;

4-20% SDS-PAGE gel.

Proteins were transferred to a PVDF membrane and blocked with 5% NFDM/TBST for 1 hour at room temperature. The primary antibody (NBP3-32883) at 1/1,000 dilution was used in 5% NFDM/TBST at room temperature for 2 hours. Goat Anti-Rabbit IgG - HRP Secondary Antibody at 1:100,000 dilution was used for 1 hour at room temperature.
Rab11A Antibody (JE42-00)

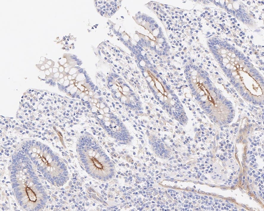
Immunohistochemistry: Rab11A Antibody (JE42-00) [NBP3-32883]

Immunohistochemistry: Rab11A Antibody (JE42-00) [NBP3-32883] - Immunohistochemical analysis of paraffin-embedded human small intestine tissue with Rabbit anti-Rab11A antibody (NBP3-32883) at 1/1,000 dilution.

The section was pre-treated using heat mediated antigen retrieval with Tris-EDTA buffer (pH 9.0) for 20 minutes. The tissues were blocked in 1% BSA for 20 minutes at room temperature, washed with ddH2O and PBS, and then probed with the primary antibody (NBP3-32883) at 1/1,000 dilution for 1 hour at room temperature. The detection was performed using an HRP conjugated compact polymer system. DAB was used as the chromogen. Tissues were counterstained with hematoxylin and mounted with DPX.

Applications for Rab11A Antibody (JE42-00)

Application
Recommended Usage

Immunohistochemistry-Paraffin

1:1000

Western Blot

1:1000

Formulation, Preparation, and Storage

Purification

Protein A purified

Formulation

1*TBS (pH7.4), 0.05% BSA and 40% Glycerol

Preservative

0.05% Sodium Azide

Concentration

1 mg/ml

Shipping

The product is shipped with polar packs. Upon receipt, store it immediately at the temperature recommended below.

Stability & Storage

Store at 4C short term. Aliquot and store at -20C long term. Avoid freeze-thaw cycles.

Background: Rab11A

Rab proteins are low-molecular-weight GTP-binding proteins that form the largest branch of the Ras superfamily of GTPases. Located on the cytoplasmic face of organelles and vesicles, rab proteins are involved in intracellular membrane fusion reactions. Three membrane proteins, synaptosomal associated protein of 25 kDa (SNAP-25), synaptobrevin, and syntaxin, form the core of a ubiquitous membrane fusion machine that interacts with the soluble proteins N-ethylmaleimide-sensitive factor (NSF) and a-SNAP. Rab proteins, in coordination with the core fusion machinery and Munc-18, help to mediate vesicle docking and fusion. There are over 40 Rab proteins in mammals. Rab11a and Rab11b are known markers for protein trafficking, sorting, and recycling in the endosomal pathway. The Rab11 proteins are enriched in recycling endosomes and the trans-Golgi network, where they regulate membrane recycling back to the plasma membrane. Rab11a is ubiquitously expressed, while Rab11b is expressed mainly in the heart and brain.

Long Name

RAs Genes from Brain Protein 11A

Alternate Names

Rab-11, YL8

Gene Symbol

RAB11A

Additional Rab11A Products

Product Documents for Rab11A Antibody (JE42-00)

Certificate of Analysis

To download a Certificate of Analysis, please enter a lot number in the search box below.

Product Specific Notices for Rab11A Antibody (JE42-00)

This product is for research use only and is not approved for use in humans or in clinical diagnosis. Primary Antibodies are guaranteed for 1 year from date of receipt.

Loading...
Loading...
Loading...
Loading...