Skip to main content

R-Spondin 3 Antibody (OTI3D5)

Novus Biologicals, part of Bio-Techne | Catalog # NBP2-45637

Novus Biologicals, part of Bio-Techne
Catalog #
Availability
Size / Price
Qty
Loading...
NBP2-45637

Key Product Details

Species Reactivity

Validated:

Human, Mouse, Rat

Cited:

Mouse

Applications

Validated:

Immunohistochemistry, Immunohistochemistry-Paraffin

Cited:

Immunohistochemistry-Paraffin

Label

Unconjugated

Antibody Source

Monoclonal Mouse IgG1 Clone # OTI3D5

Concentration

1 mg/ml

Product Specifications

Immunogen

Human recombinant protein fragment corresponding to amino acids 22-272 of human RSPO3 (NP_116173) produced in E.coli.

Reactivity Notes

Mouse reactivity reported in scientific literature (PMID: 30329043). Please note that this antibody is reactive to Mouse and derived from the same host, Mouse. Mouse-On-Mouse blocking reagent may be needed for IHC and ICC experiments to reduce high background signal. You can find these reagents under catalog numbers PK-2200-NB and MP-2400-NB. Please contact Technical Support if you have any questions.

Clonality

Monoclonal

Host

Mouse

Isotype

IgG1

Theoretical MW

30.7 kDa.
Disclaimer note: The observed molecular weight of the protein may vary from the listed predicted molecular weight due to post translational modifications, post translation cleavages, relative charges, and other experimental factors.

Description

Novus Biologicals Mouse R-Spondin 3 Antibody (OTI3D5) (NBP2-45637) is a monoclonal antibody validated for use in IHC. Anti-R-Spondin 3 Antibody: Cited in 1 publication. All Novus Biologicals antibodies are covered by our 100% guarantee.

Scientific Data Images for R-Spondin 3 Antibody (OTI3D5)

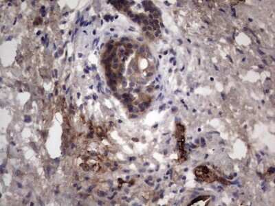
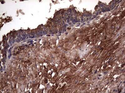
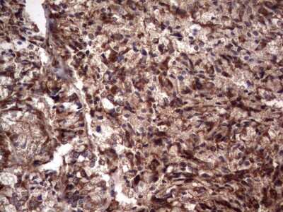
Immunohistochemistry: R-Spondin 3 Antibody (OTI3D5) [NBP2-45637]

Immunohistochemistry: R-Spondin 3 Antibody (OTI3D5) [NBP2-45637]

Immunohistochemistry: R-Spondin 3 Antibody (3D5) [NBP2-45637] - Analysis of Human lymph node tissue. (Heat-induced epitope retrieval by 1 mM EDTA in 10mM Tris, pH8.5, 120C for 3min)
Immunohistochemistry: R-Spondin 3 Antibody (OTI3D5) [NBP2-45637]

Immunohistochemistry: R-Spondin 3 Antibody (OTI3D5) [NBP2-45637]

Immunohistochemistry: R-Spondin 3 Antibody (3D5) [NBP2-45637] - Analysis of Adenocarcinoma of Human breast tissue. (Heat-induced epitope retrieval by 1 mM EDTA in 10mM Tris, pH8.5, 120C for 3min)
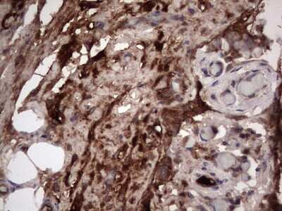
Immunohistochemistry: R-Spondin 3 Antibody (OTI3D5) [NBP2-45637]

Immunohistochemistry: R-Spondin 3 Antibody (OTI3D5) [NBP2-45637]

Immunohistochemistry: R-Spondin 3 Antibody (3D5) [NBP2-45637] - Analysis of Adenocarcinoma of Human colon tissue. (Heat-induced epitope retrieval by 1 mM EDTA in 10mM Tris, pH8.5, 120C for 3min)

Applications for R-Spondin 3 Antibody (OTI3D5)

Application
Recommended Usage

Immunohistochemistry

1:150
Application Notes
Use in Immunohistochemistry-paraffin reported in scientific literature (PMID: 30329043).

Formulation, Preparation, and Storage

Purification

Immunogen affinity purified

Formulation

PBS (pH 7.3), 1.0% BSA and 50% Glycerol

Preservative

0.02% Sodium Azide

Concentration

1 mg/ml

Shipping

The product is shipped with polar packs. Upon receipt, store it immediately at the temperature recommended below.

Stability & Storage

Store at -20C. Avoid freeze-thaw cycles.

Background: R-Spondin 3

The RSPO3 gene encodes a member of the thrombospondin type 1 repeat supergene family. In addition, the protein contains afurin-like cysteine-rich region. Furin-like repeat domains have been found in a variety of eukaryotic proteinsinvolved in the mechanism of

Long Name

Roof Plate-specific Spondin 3

Alternate Names

Cristin 1, PWTSR, RSPO3, RSpondin 3, THSD2

Gene Symbol

RSPO3

Additional R-Spondin 3 Products

Product Documents for R-Spondin 3 Antibody (OTI3D5)

Certificate of Analysis

To download a Certificate of Analysis, please enter a lot number in the search box below.

Product Specific Notices for R-Spondin 3 Antibody (OTI3D5)

This product is for research use only and is not approved for use in humans or in clinical diagnosis. Primary Antibodies are guaranteed for 1 year from date of receipt.

Loading...
Loading...
Loading...
Loading...