Skip to main content

Pyruvate Dehydrogenase E2 Antibody (JE34-38)

Novus Biologicals, part of Bio-Techne | Catalog # NBP3-32880

Recombinant Monoclonal Antibody
Novus Biologicals, part of Bio-Techne
Catalog #
Availability
Size / Price
Qty
Loading...
NBP3-32880

Key Product Details

Species Reactivity

Human, Mouse, Rat

Applications

Immunohistochemistry, Immunohistochemistry-Paraffin, Western Blot

Label

Unconjugated

Antibody Source

Recombinant Monoclonal Rabbit IgG Clone # JE34-38 expressed in HEK293

Concentration

1 mg/ml

Product Specifications

Immunogen

Synthetic peptide within human Pyruvate Dehydrogenase E2 aa 574-624/647. (Uniprot: P10515)

Localization

Mitochondrion matrix.

Clonality

Monoclonal

Host

Rabbit

Isotype

IgG

Theoretical MW

69 kDa.
Disclaimer note: The observed molecular weight of the protein may vary from the listed predicted molecular weight due to post translational modifications, post translation cleavages, relative charges, and other experimental factors.

Description

Novus Biologicals Rabbit Pyruvate Dehydrogenase E2 Antibody (JE34-38) (NBP3-32880) is a recombinant monoclonal antibody validated for use in IHC and WB. All Novus Biologicals antibodies are covered by our 100% guarantee.

Scientific Data Images for Pyruvate Dehydrogenase E2 Antibody (JE34-38)

Pyruvate Dehydrogenase E2 Antibody (JE34-38)

Western Blot: Pyruvate Dehydrogenase E2 Antibody (JE34-38) [NBP3-32880]

Western Blot: Pyruvate Dehydrogenase E2 Antibody (JE34-38) [NBP3-32880] - Western blot analysis of Pyruvate Dehydrogenase E2 on different lysates with Rabbit anti-Pyruvate Dehydrogenase E2 antibody (NBP3-32880) at 1/500 dilution.

Lane 1: SK-Br-3 cell lysate
Lane 2: K562 cell lysate
Lane 3: Daudi cell lysate
Lane 4: HL-60 cell lysate

Lysates/proteins at 10 ug/Lane.

Predicted band size: 69 kDa
Observed band size: 69 kDa

Exposure time: 2 minutes;

8% SDS-PAGE gel.

Proteins were transferred to a PVDF membrane and blocked with 5% NFDM/TBST for 1 hour at room temperature. The primary antibody (NBP3-32880) at 1/500 dilution was used in 5% NFDM/TBST at room temperature for 2 hours. Goat Anti-Rabbit IgG - HRP Secondary Antibody at 1:300,000 dilution was used for 1 hour at room temperature.
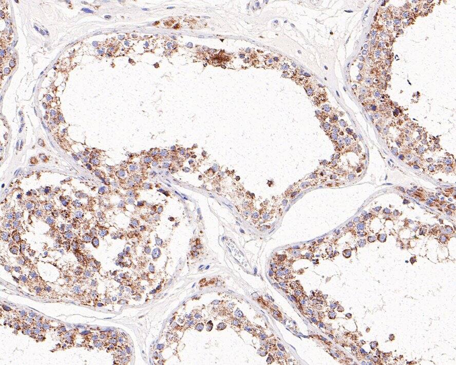
Pyruvate Dehydrogenase E2 Antibody (JE34-38)

Immunohistochemistry: Pyruvate Dehydrogenase E2 Antibody (JE34-38) [NBP3-32880]

Immunohistochemistry: Pyruvate Dehydrogenase E2 Antibody (JE34-38) [NBP3-32880] - Immunohistochemical analysis of paraffin-embedded human testis tissue with Rabbit anti-Pyruvate Dehydrogenase E2 antibody (NBP3-32880) at 1/200 dilution.

The section was pre-treated using heat mediated antigen retrieval with Tris-EDTA buffer (pH 9.0) for 20 minutes. The tissues were blocked in 1% BSA for 20 minutes at room temperature, washed with ddH2O and PBS, and then probed with the primary antibody (NBP3-32880) at 1/200 dilution for 1 hour at room temperature. The detection was performed using an HRP conjugated compact polymer system. DAB was used as the chromogen. Tissues were counterstained with hematoxylin and mounted with DPX.

Applications for Pyruvate Dehydrogenase E2 Antibody (JE34-38)

Application
Recommended Usage

Immunohistochemistry-Paraffin

1:200

Western Blot

1:500

Formulation, Preparation, and Storage

Purification

Protein A purified

Formulation

1*TBS (pH7.4), 0.05% BSA and 40% Glycerol

Preservative

0.05% Sodium Azide

Concentration

1 mg/ml

Shipping

The product is shipped with polar packs. Upon receipt, store it immediately at the temperature recommended below.

Stability & Storage

Store at 4C short term. Aliquot and store at -20C long term. Avoid freeze-thaw cycles.

Background: Pyruvate Dehydrogenase E2

The DLAT gene encodes dihydrolipoamide acetyltransferase (EC 2.3.1.12), the E2 subunit of the mammalian pyruvate dehydrogenase complex (PDC; EC 1.2.4.1) of the inner mitochondrial membrane. Patients with primary biliary cirrhosis (PBC; MIM 109720) show autoantibodies to DLAT.[supplied by OMIM]

Alternate Names

70 kDa mitochondrial autoantigen of primary biliary cirrhosis, dihydrolipoamide S-acetyltransferase, DLTA, E2 component of pyruvate dehydrogenase complex, EC 2.3.1, M2 antigen complex 70 kDa subunit, PBC, PDC-E2EC 2.3.1.12, PDCE2mitochondrial

Gene Symbol

DLAT

Additional Pyruvate Dehydrogenase E2 Products

Product Documents for Pyruvate Dehydrogenase E2 Antibody (JE34-38)

Certificate of Analysis

To download a Certificate of Analysis, please enter a lot number in the search box below.

Product Specific Notices for Pyruvate Dehydrogenase E2 Antibody (JE34-38)

This product is for research use only and is not approved for use in humans or in clinical diagnosis. Primary Antibodies are guaranteed for 1 year from date of receipt.

Loading...
Loading...
Loading...
Loading...