Pyruvate Dehydrogenase E1-alpha subunit Antibody - BSA Free
Novus Biologicals, part of Bio-Techne | Catalog # NBP2-95253
Key Product Details
Species Reactivity
Human, Mouse, Rat
Applications
Immunocytochemistry/ Immunofluorescence, Immunohistochemistry, Immunohistochemistry-Paraffin, Immunoprecipitation, Western Blot
Label
Unconjugated
Antibody Source
Polyclonal Rabbit IgG
Format
BSA Free
Concentration
Please see the vial label for concentration. If unlisted please contact technical services.
Product Specifications
Immunogen
Recombinant fusion protein containing a sequence corresponding to amino acids 30-390 of human PDHA1 (NP_000275.1). FANDATFEIKKCDLHRLEEGPPVTTVLTREDGLKYYRMMQTVRRMELKADQLYKQKIIRGFCHLCDGQEACCVGLEAGINPTDHLITAYRAHGFTFTRGLSVREILAELTGRKGGCAKGKGGSMHMYAKNFYGGNGIVGAQVPLGAGIALACKYNGKDEVCLTLYGDGAANQGQIFEAYNMAALWKLPCIFICENNRYGMGTSVERAAASTDYYKRGDFIPGLRVDGMDILCVREATRFAAAYCRSGKGPILMELQTYRYHGHSMSDPGVSYRTREEIQEVRSKSDPIMLLKDRMVNSNLASVEELKEIDVEVRKEIEDAAQFATADPEPPLEELGYHIYSSDPPFEVRGANQWIKFKSVS
Clonality
Polyclonal
Host
Rabbit
Isotype
IgG
Description
Novus Biologicals Rabbit Pyruvate Dehydrogenase E1-alpha subunit Antibody - BSA Free (NBP2-95253) is a polyclonal antibody validated for use in IHC, WB, ICC/IF and IP. All Novus Biologicals antibodies are covered by our 100% guarantee.
Scientific Data Images for Pyruvate Dehydrogenase E1-alpha subunit Antibody - BSA Free
Western Blot: Pyruvate Dehydrogenase E1-alpha subunit Antibody [NBP2-95253] -
Western Blot: Pyruvate Dehydrogenase E1-alpha subunit Antibody [NBP2-95253] - analysis of various lysates, using PDHA1 antibody at 1:1000 dilution.Secondary antibody: HRP Goat Anti-Rabbit IgG (H+L) at 1:10000 dilution.Lysates/proteins: 25ug per lane.Blocking buffer: 3% nonfat dry milk in TBST.Detection: ECL Basic Kit. Exposure time: 0.5s.Immunohistochemistry-Paraffin: Pyruvate Dehydrogenase E1-alpha subunit Antibody [NBP2-95253] -
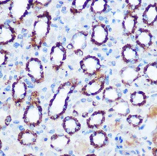
Immunohistochemistry-Paraffin: Pyruvate Dehydrogenase E1-alpha subunit Antibody [NBP2-95253] -Analysis of paraffin-embedded rat kidney using PDHA1 Rabbit pAb at dilution of 1:100 (40x lens).Perform microwave antigen retrieval with 10 mM Tris/EDTA buffer pH 9.0 before commencing with IHC staining protocol.Immunohistochemistry-Paraffin: Pyruvate Dehydrogenase E1-alpha subunit Antibody [NBP2-95253] -
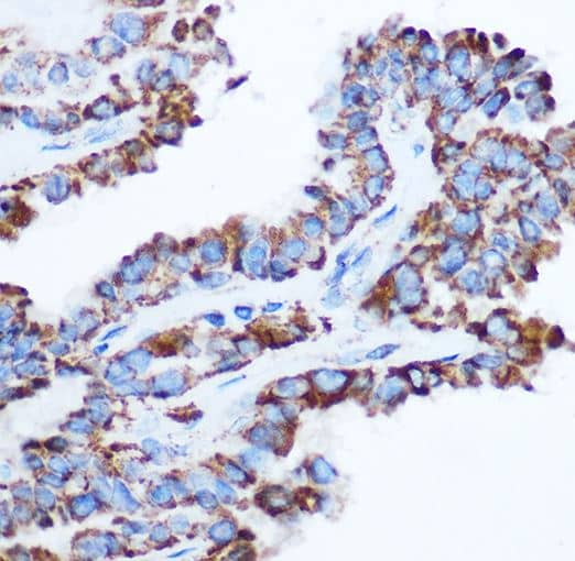
Immunohistochemistry-Paraffin: Pyruvate Dehydrogenase E1-alpha subunit Antibody [NBP2-95253] - Human thyroid cancer using PDHA1 Rabbit pAb at dilution of 1:100 (40x lens).Perform microwave antigen retrieval with 10 mM Tris/EDTA buffer pH 9.0 before commencing with IHC staining protocol.Applications for Pyruvate Dehydrogenase E1-alpha subunit Antibody - BSA Free
Application
Recommended Usage
Immunocytochemistry/ Immunofluorescence
1:50-1:200
Immunohistochemistry
1:50-1:200
Immunoprecipitation
1:20-1:50
Western Blot
1:500 - 1:1000
Formulation, Preparation, and Storage
Purification
Affinity purified
Formulation
PBS (pH 7.3), 50% glycerol
Format
BSA Free
Preservative
0.09% Sodium Azide
Concentration
Please see the vial label for concentration. If unlisted please contact technical services.
Shipping
The product is shipped with polar packs. Upon receipt, store it immediately at the temperature recommended below.
Stability & Storage
Store at -20C. Avoid freeze-thaw cycles.
Background: Pyruvate Dehydrogenase E1-alpha subunit
Alternate Names
EC 1.2.4.1, PDHA, PDHE1-A type I, PHE1APDHCE1A, pyruvate dehydrogenase (lipoamide) alpha 1, pyruvate dehydrogenase complex, E1-alpha polypeptide 1, pyruvate dehydrogenase E1 component subunit alpha, somatic form, mitochondrial
Gene Symbol
PDHA1
Additional Pyruvate Dehydrogenase E1-alpha subunit Products
Product Documents for Pyruvate Dehydrogenase E1-alpha subunit Antibody - BSA Free
Product Specific Notices for Pyruvate Dehydrogenase E1-alpha subunit Antibody - BSA Free
This product is for research use only and is not approved for use in humans or in clinical diagnosis. Primary Antibodies are guaranteed for 1 year from date of receipt.
Loading...
Loading...
Loading...
Loading...
⚠ WARNING: This product can expose you to chemicals including Methotrexate, which is known to the State of California to cause reproductive toxicity with developmental effects. For more information, go to www.P65Warnings.ca.gov