Pyruvate Dehydrogenase E1-alpha subunit [p Ser293] Antibody (JE58-27)
Novus Biologicals, part of Bio-Techne | Catalog # NBP3-32787
Recombinant Monoclonal Antibody
Key Product Details
Species Reactivity
Human, Mouse, Rat
Applications
Immunocytochemistry/ Immunofluorescence, Immunohistochemistry, Immunohistochemistry-Paraffin, Western Blot
Label
Unconjugated
Antibody Source
Recombinant Monoclonal Rabbit IgG Clone # JE58-27 expressed in HEK293
Concentration
1 mg/ml
Product Specifications
Immunogen
Synthetic phosphopeptide corresponding to residues surrounding Ser293 of human Pyruvate Dehydrogenase E1-alpha subunit protein. (Uniprot: P08559)
Modification
p Ser 293
Localization
Mitochondrion matrix.
Clonality
Monoclonal
Host
Rabbit
Isotype
IgG
Theoretical MW
43 kDa.
Disclaimer note: The observed molecular weight of the protein may vary from the listed predicted molecular weight due to post translational modifications, post translation cleavages, relative charges, and other experimental factors.
Disclaimer note: The observed molecular weight of the protein may vary from the listed predicted molecular weight due to post translational modifications, post translation cleavages, relative charges, and other experimental factors.
Description
Novus Biologicals Rabbit Pyruvate Dehydrogenase E1-alpha subunit [p Ser293] Antibody (JE58-27) (NBP3-32787) is a recombinant monoclonal antibody validated for use in IHC, WB and ICC/IF. All Novus Biologicals antibodies are covered by our 100% guarantee.
Scientific Data Images for Pyruvate Dehydrogenase E1-alpha subunit [p Ser293] Antibody (JE58-27)
Western Blot: Pyruvate Dehydrogenase E1-alpha subunit [p Ser293] Antibody (JE58-27) [NBP3-32787]
Western Blot: Pyruvate Dehydrogenase E1-alpha subunit [p Ser293] Antibody (JE58-27) [NBP3-32787] - Western blot analysis of Pyruvate Dehydrogenase E1-alpha subunit on different lysates with Rabbit anti-Pyruvate Dehydrogenase E1-alpha subunit antibody (NBP3-32787) at 1/1,000 dilution.Lane 1: A549 cell lysate (20 ug/Lane)
Lane 2: Jurkat cell lysate (20 ug/Lane)
Lane 3: HepG2 cell lysate (20 ug/Lane)
Lane 4: HeLa cell lysate (20 ug/Lane)
Lane 5: HEK-293 cell lysate (20 ug/Lane)
Lane 6: Human kidney tissue lysate (40 ug/Lane)
Lane 7: Mouse brain tissue lysate (40 ug/Lane)
Lane 8: Mouse heart tissue lysate (40 ug/Lane)
Predicted band size: 43 kDa
Observed band size: 43 kDa
Exposure time: 39 seconds;
4-20% SDS-PAGE gel.
Proteins were transferred to a PVDF membrane and blocked with 5% NFDM/TBST for 1 hour at room temperature. The primary antibody (NBP3-32787) at 1/1,000 dilution was used in 5% NFDM/TBST at room temperature for 2 hours. Goat Anti-Rabbit IgG - HRP Secondary Antibody at 1:100,000 dilution was used for 1 hour at room temperature.
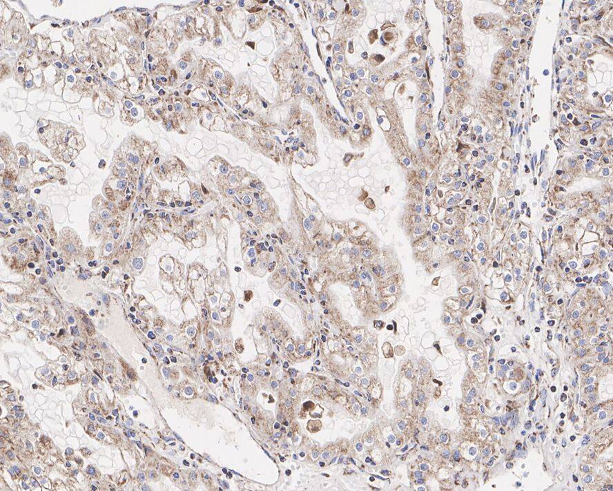
Immunohistochemistry: Pyruvate Dehydrogenase E1-alpha subunit [p Ser293] Antibody (JE58-27) [NBP3-32787]
Immunohistochemistry: Pyruvate Dehydrogenase E1-alpha subunit [p Ser293] Antibody (JE58-27) [NBP3-32787] - Immunohistochemical analysis of paraffin-embedded human renal clear cell carcinoma tissue with Rabbit anti-Pyruvate Dehydrogenase E1-alpha subunit antibody (NBP3-32787) at 1/500 dilution.The section was pre-treated using heat mediated antigen retrieval with Tris-EDTA buffer (pH 9.0) for 20 minutes. The tissues were blocked in 1% BSA for 20 minutes at room temperature, washed with ddH2O and PBS, and then probed with the primary antibody (NBP3-32787) at 1/500 dilution for 1 hour at room temperature. The detection was performed using an HRP conjugated compact polymer system. DAB was used as the chromogen. Tissues were counterstained with hematoxylin and mounted with DPX.
Immunocytochemistry/ Immunofluorescence: Pyruvate Dehydrogenase E1-alpha subunit [p Ser293] Antibody (JE58-27) [NBP3-32787]
Immunocytochemistry/ Immunofluorescence: Pyruvate Dehydrogenase E1-alpha subunit [p Ser293] Antibody (JE58-27) [NBP3-32787] - Immunocytochemistry analysis of Jurkat cells treated with or without lambdapp labeling Pyruvate Dehydrogenase E1-alpha subunit with Rabbit anti-Pyruvate Dehydrogenase E1-alpha subunit antibody (NBP3-32787) at 1/100 dilution.Cells were fixed in 4% paraformaldehyde for 10 minutes at 37 ℃, permeabilized with 0.05% Triton X-100 in PBS for 20 minutes, and then blocked with 2% negative goat serum for 30 minutes at room temperature. Cells were then incubated with Rabbit anti-Pyruvate Dehydrogenase E1-alpha subunit antibody (NBP3-32787) at 1/100 dilution in 2% negative goat serum overnight at 4 ℃. Goat Anti-Rabbit IgG H&L (iFluor™ 488) was used as the secondary antibody at 1/1,000 dilution. Nuclear DNA was labelled in blue with DAPI.
Beta tubulin (red) was stained at 1/200 dilution overnight at +4℃. Goat Anti-Mouse IgG H&L (iFluor™ 594) was used as the secondary antibody at 1/1,000 dilution.
Applications for Pyruvate Dehydrogenase E1-alpha subunit [p Ser293] Antibody (JE58-27)
Application
Recommended Usage
Immunocytochemistry/ Immunofluorescence
1:100
Immunohistochemistry-Paraffin
1:500-1:2000
Western Blot
1:1000
Formulation, Preparation, and Storage
Purification
Protein A purified
Formulation
1*TBS (pH7.4), 0.05% BSA and 40% Glycerol
Preservative
0.05% Sodium Azide
Concentration
1 mg/ml
Shipping
The product is shipped with polar packs. Upon receipt, store it immediately at the temperature recommended below.
Stability & Storage
Store at 4C short term. Aliquot and store at -20C long term. Avoid freeze-thaw cycles.
Background: Pyruvate Dehydrogenase E1-alpha subunit
Alternate Names
EC 1.2.4.1, PDHA, PDHE1-A type I, PHE1APDHCE1A, pyruvate dehydrogenase (lipoamide) alpha 1, pyruvate dehydrogenase complex, E1-alpha polypeptide 1, pyruvate dehydrogenase E1 component subunit alpha, somatic form, mitochondrial
Gene Symbol
PDHA1
Additional Pyruvate Dehydrogenase E1-alpha subunit Products
Product Documents for Pyruvate Dehydrogenase E1-alpha subunit [p Ser293] Antibody (JE58-27)
Product Specific Notices for Pyruvate Dehydrogenase E1-alpha subunit [p Ser293] Antibody (JE58-27)
This product is for research use only and is not approved for use in humans or in clinical diagnosis. Primary Antibodies are guaranteed for 1 year from date of receipt.
Loading...
Loading...
Loading...
Loading...