Skip to main content

PTRF Antibody - BSA Free

Novus Biologicals, part of Bio-Techne | Catalog # NBP3-35822

Novus Biologicals, part of Bio-Techne
Catalog #
Availability
Size / Price
Qty
Loading...
NBP3-35822-100ul
NBP3-35822-20ul

Key Product Details

Species Reactivity

Human, Mouse, Rat

Applications

ELISA, Immunocytochemistry/ Immunofluorescence, Immunohistochemistry, Immunohistochemistry-Paraffin, Western Blot

Label

Unconjugated

Antibody Source

Polyclonal Rabbit IgG

Format

BSA Free

Concentration

Please see the vial label for concentration. If unlisted please contact technical services.

Product Specifications

Immunogen

Recombinant fusion protein containing a sequence corresponding to amino acids 200-280 of human PTRF (NP_036364.2).

Sequence:
ELSSDEAVEVEEVIEESRAERIKRSGLRRVDDFKKAFSKEKMEKTKVRTRENLEKTRLKTKENLEKTRHTLEKRMNKLGTR

Clonality

Polyclonal

Host

Rabbit

Isotype

IgG

Theoretical MW

43 kDa.
Disclaimer note: The observed molecular weight of the protein may vary from the listed predicted molecular weight due to post translational modifications, post translation cleavages, relative charges, and other experimental factors.

Description

Novus Biologicals Rabbit PTRF Antibody - BSA Free (NBP3-35822) is a polyclonal antibody validated for use in IHC, WB, ELISA and ICC/IF. All Novus Biologicals antibodies are covered by our 100% guarantee.

Scientific Data Images for PTRF Antibody - BSA Free

PTRF Antibody

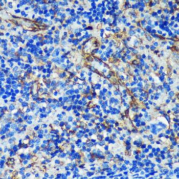
Immunohistochemistry: PTRF Antibody [NBP3-35822] -

Immunohistochemistry: PTRF Antibody [NBP3-35822] - Immunohistochemistry analysis of paraffin-embedded Human placenta using PTRF Rabbit pAb at dilution of 1:100 (40x lens). Microwave antigen retrieval performed with 0.01M PBS Buffer (pH 7.2) prior to IHC staining.
PTRF Antibody

Immunocytochemistry/ Immunofluorescence: PTRF Antibody [NBP3-35822] -

Immunocytochemistry/ Immunofluorescence: PTRF Antibody [NBP3-35822] - Immunofluorescence analysis of C6 cells using PTRF Rabbit pAb at dilution of 1:100. Secondary antibody: Cy3-conjugated Goat anti-Rabbit IgG (H+L) at 1:500 dilution. Blue: DAPI for nuclear staining.
PTRF Antibody

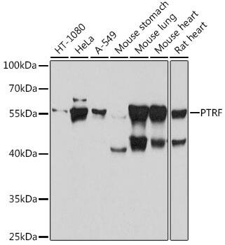
Western Blot: PTRF Antibody [NBP3-35822] -

Western Blot: PTRF Antibody [NBP3-35822] - Western blot analysis of various lysates using PTRF Rabbit pAb at 1:1000 dilution.
Secondary antibody: HRP-conjugated Goat anti-Rabbit IgG (H+L) at 1:10000 dilution.
Lysates/proteins: 25ug per lane.
Blocking buffer: 3% nonfat dry milk in TBST.
Detection: ECL Basic Kit.
Exposure time: 10s.

Applications for PTRF Antibody - BSA Free

Application
Recommended Usage

Immunocytochemistry/ Immunofluorescence

1:50 - 1:200

Immunohistochemistry-Paraffin

1:50 - 1:200

Western Blot

1:500 - 1:2000

Formulation, Preparation, and Storage

Purification

Affinity purified

Formulation

PBS (pH 7.3), 50% glycerol

Format

BSA Free

Preservative

0.05% Proclin 300

Concentration

Please see the vial label for concentration. If unlisted please contact technical services.

Shipping

The product is shipped with polar packs. Upon receipt, store it immediately at the temperature recommended below.

Stability & Storage

Store at -20C. Avoid freeze-thaw cycles.

Background: PTRF

PTRF (polymerase I and transcript release factor) was first identified as a TTF-I and RNA polymerase I (RNA Pol I) interacting protein that functions in the termination of RNA polymerase I transcription. PTRF has also been described as a protein that localizes to the plasma membrane and caveolae of adipocytes and whose localization is under the control of insulin. In this context, PTRF has been observed to associate with a lipase and have an extranuclear role in the regulation of lipolysis. PTRF is also known as FKSG13.

Alternate Names

CAVIN, Cavin-1, CGL4, FLJ90031, polymerase I and transcript release factor, RNA polymerase I and transcript release factor, TTF-I interacting peptide 12

Gene Symbol

PTRF

Additional PTRF Products

Product Documents for PTRF Antibody - BSA Free

Certificate of Analysis

To download a Certificate of Analysis, please enter a lot number in the search box below.

Product Specific Notices for PTRF Antibody - BSA Free

This product is for research use only and is not approved for use in humans or in clinical diagnosis. Primary Antibodies are guaranteed for 1 year from date of receipt.

Loading...
Loading...
Loading...
Loading...