PTPRN2 Antibody - BSA Free
Novus Biologicals, part of Bio-Techne | Catalog # NBP1-81628
Key Product Details
Species Reactivity
Human
Applications
Immunohistochemistry, Immunohistochemistry-Paraffin, Western Blot, Immunocytochemistry/ Immunofluorescence
Label
Unconjugated
Antibody Source
Polyclonal Rabbit IgG
Format
BSA Free
Concentration
Concentrations vary lot to lot. See vial label for concentration. If unlisted please contact technical services.
Product Specifications
Immunogen
This antibody was developed against Recombinant Protein corresponding to amino acids: QDDDDRLYQEVHRLSATLGGLLQDHGSRLLPGALPFARPLDMERKKSEHPESSLSSEEETAGVENVKSQTYSKDLLGQQPHSEPGAAAFGELQNQMPGPSKEEQSLPAGAQ
Clonality
Polyclonal
Host
Rabbit
Isotype
IgG
Scientific Data Images for PTPRN2 Antibody - BSA Free
Western Blot: PTPRN2 Antibody [NBP1-81628]
Western Blot: PTPRN2 Antibody [NBP1-81628] - Analysis in human cell line U-87 MG.Immunocytochemistry/ Immunofluorescence: PTPRN2 Antibody [NBP1-81628]
Immunocytochemistry/Immunofluorescence: PTPRN2 Antibody [NBP1-81628] - Staining of human cell line AF22 shows localization to vesicles. Antibody staining is shown in green.Immunohistochemistry-Paraffin: PTPRN2 Antibody [NBP1-81628]
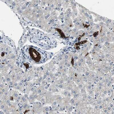
Immunohistochemistry-Paraffin: PTPRN2 Antibody [NBP1-81628] - Staining of human liver shows strong cytoplasmic positivity in bile duct cells.Applications for PTPRN2 Antibody - BSA Free
Application
Recommended Usage
Immunocytochemistry/ Immunofluorescence
0.25-2 ug/ml
Immunohistochemistry
1:50 - 1:200
Immunohistochemistry-Paraffin
1:50 - 1:200
Western Blot
0.04-0.4 ug/ml
Application Notes
IHC-Paraffin, HIER pH 6 retrieval is recommended. ICC/IF, Fixation/Permeabilization: PFA/Triton X-100.
Formulation, Preparation, and Storage
Purification
Affinity purified
Formulation
PBS (pH 7.2) and 40% Glycerol
Format
BSA Free
Preservative
0.02% Sodium Azide
Concentration
Concentrations vary lot to lot. See vial label for concentration. If unlisted please contact technical services.
Shipping
The product is shipped with polar packs. Upon receipt, store it immediately at the temperature recommended below.
Stability & Storage
Store at 4C short term. Aliquot and store at -20C long term. Avoid freeze-thaw cycles.
Background: PTPRN2
Alternate Names
EC 3.1.3.48, IA-2beta, IAR/receptor-like protein-tyrosine phosphatase, ICAARIARPTPRP, Islet cell autoantigen-related protein, KIAA0387, Phogrin, protein tyrosine phosphatase receptor pi, protein tyrosine phosphatase, receptor type, N polypeptide 2, receptor-type tyrosine-protein phosphatase N2, R-PTP-N2, tyrosine phosphatase IA-2 beta
Gene Symbol
PTPRN2
Additional PTPRN2 Products
Product Documents for PTPRN2 Antibody - BSA Free
Product Specific Notices for PTPRN2 Antibody - BSA Free
This product is for research use only and is not approved for use in humans or in clinical diagnosis. Primary Antibodies are guaranteed for 1 year from date of receipt.
Loading...
Loading...
Loading...
Loading...