Skip to main content

PTPN3 Antibody - BSA Free

Novus Biologicals, part of Bio-Techne | Catalog # NBP3-47467

Novus Biologicals, part of Bio-Techne
Catalog #
Availability
Size / Price
Qty
Loading...
NBP3-47467

Key Product Details

Species Reactivity

Human, Mouse, Rat

Applications

Immunohistochemistry, Western Blot, ELISA

Label

Unconjugated

Antibody Source

Polyclonal Rabbit IgG

Format

BSA Free

Concentration

Please see the vial label for concentration. If unlisted please contact technical services.

Product Specifications

Immunogen

Tyrosine-protein phosphatase non-receptor type 3. (Uniprot# P26045)

Clonality

Polyclonal

Host

Rabbit

Isotype

IgG

Description

Novus Biologicals Rabbit PTPN3 Antibody - BSA Free (NBP3-47467) is a polyclonal antibody validated for use in IHC, WB and ELISA. All Novus Biologicals antibodies are covered by our 100% guarantee.

Scientific Data Images for PTPN3 Antibody - BSA Free

PTPN3 Antibody - BSA Free

Western Blot: PTPN3 Antibody - BSA Free [NBP3-47467] -

Western Blot: PTPN3 Antibody - BSA Free [NBP3-47467] - Mouse brain were subjected to SDS PAGE followed by western blot with (PTPN3 antibody) at dilution of 1:1000
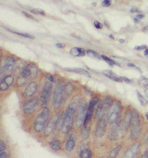
PTPN3 Antibody - BSA Free

Immunohistochemistry: PTPN3 Antibody - BSA Free [NBP3-47467] -

Immunohistochemistry: PTPN3 Antibody - BSA Free [NBP3-47467] - Immunohistochemistry of paraffin-embedded human ovary cancer tissue slide using (PTPN3 Antibody) at dilution of 1:200

Applications for PTPN3 Antibody - BSA Free

Application
Recommended Usage

Immunohistochemistry

1:50-1:200

Western Blot

1:200-1:2000
Application Notes
Theoretical Molecular Weight is 83 kDa, 88 kDa, 104 kDa

Formulation, Preparation, and Storage

Purification

Immunogen affinity purified

Formulation

PBS, 50% Glycerol, pH (7.3)

Format

BSA Free

Preservative

0.02% Sodium Azide

Concentration

Please see the vial label for concentration. If unlisted please contact technical services.

Shipping

The product is shipped with polar packs. Upon receipt, store it immediately at the temperature recommended below.

Stability & Storage

Store at -20C. Avoid freeze-thaw cycles.

Background: PTPN3

The protein encoded by the PTPN3 gene is a member of the protein tyrosine phosphatase (PTP) family. PTPs are known to be signaling molecules that regulate a variety of cellular processes including cell growth, differentiation, mitotic cycle, and oncogenic transformation. This protein contains a C-terminal PTP domain and an N-terminal domain homologous to the band 4.1 superfamily of cytoskeletal-associated proteins. P97, a cell cycle regulator involved in a variety of membrane related functions, has been shown to be a substrate of this PTP. This PTP was also found to interact with, and be regulated by adaptor protein 14-3-3 beta. Several alternatively spliced transcript variants encoding different isoforms have been found for this gene. (provided by RefSeq)

Long Name

Tyrosine-protein phosphatase non-receptor type 3

Alternate Names

PTP-H1, PTPH1

Gene Symbol

PTPN3

Additional PTPN3 Products

Product Documents for PTPN3 Antibody - BSA Free

Certificate of Analysis

To download a Certificate of Analysis, please enter a lot number in the search box below.

Product Specific Notices for PTPN3 Antibody - BSA Free

This product is for research use only and is not approved for use in humans or in clinical diagnosis. Primary Antibodies are guaranteed for 1 year from date of receipt.

Loading...
Loading...
Loading...
Loading...