Skip to main content

PTPN14/PTPD2 Antibody (2B3H7) - BSA Free

Novus Biologicals, part of Bio-Techne | Catalog # NBP2-61809

Novus Biologicals, part of Bio-Techne
Catalog #
Availability
Size / Price
Qty
Loading...
NBP2-61809
NBP2-61809-0.025ml

Key Product Details

Species Reactivity

Human

Applications

ELISA, Flow Cytometry, Immunocytochemistry/ Immunofluorescence, Immunohistochemistry, Immunohistochemistry-Paraffin, Western Blot

Label

Unconjugated

Antibody Source

Monoclonal Mouse IgG1 Clone # 2B3H7

Format

BSA Free

Concentration

1 mg/ml

Product Specifications

Immunogen

Purified recombinant fragment of human PTPN14/PTPD2 (AA: 896-1169) expressed in E. Coli.

Clonality

Monoclonal

Host

Mouse

Isotype

IgG1

Theoretical MW

135.3 kDa.
Disclaimer note: The observed molecular weight of the protein may vary from the listed predicted molecular weight due to post translational modifications, post translation cleavages, relative charges, and other experimental factors.

Description

Novus Biologicals Mouse PTPN14/PTPD2 Antibody (2B3H7) - BSA Free (NBP2-61809) is a monoclonal antibody validated for use in IHC, WB, ELISA, Flow and ICC/IF. All Novus Biologicals antibodies are covered by our 100% guarantee.

Scientific Data Images for PTPN14/PTPD2 Antibody (2B3H7) - BSA Free

Western Blot: PTPN14/PTPD2 Antibody (2B3H7)BSA Free [NBP2-61809]

Western Blot: PTPN14/PTPD2 Antibody (2B3H7)BSA Free [NBP2-61809]

Western Blot: PTPN14/PTPD2 Antibody (2B3H7) [NBP2-61809] - Analysis using PTPN14 mAb against HEK293 (1) and PTPN14 (AA: 896-1169)-hIgGFc transfected HEK293 (2) cell lysate.
Immunocytochemistry/ Immunofluorescence: PTPN14/PTPD2 Antibody (2B3H7) - BSA Free [NBP2-61809]

Immunocytochemistry/ Immunofluorescence: PTPN14/PTPD2 Antibody (2B3H7) - BSA Free [NBP2-61809]

Immunocytochemistry/Immunofluorescence: PTPN14/PTPD2 Antibody (2B3H7) [NBP2-61809] - Analysis of Hela cells using PTPN14 mouse mAb (green). Blue: DRAQ5 fluorescent DNA dye. Red: Actin filaments have been labeled with Alexa Fluor- 555 phalloidin. Goat anti-Mouse IgG (H+L) DyLight 488 secondary antibody was used.
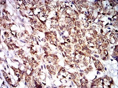
Immunohistochemistry: PTPN14/PTPD2 Antibody (2B3H7) - BSA Free [NBP2-61809]

Immunohistochemistry: PTPN14/PTPD2 Antibody (2B3H7) - BSA Free [NBP2-61809]

Immunohistochemistry: PTPN14/PTPD2 Antibody (2B3H7) [NBP2-61809] - Analysis of paraffin-embedded rectum cancer tissues using PTPN14 mouse mAb with DAB staining.

Applications for PTPN14/PTPD2 Antibody (2B3H7) - BSA Free

Application
Recommended Usage

ELISA

1:10000

Flow Cytometry

1:200-1:400

Immunocytochemistry/ Immunofluorescence

1:200-1:1000

Immunohistochemistry

1:200-1:1000

Immunohistochemistry-Paraffin

1:200-1:1000

Western Blot

1:500-1:2000

Formulation, Preparation, and Storage

Purification

Protein G purified

Formulation

PBS

Format

BSA Free

Preservative

0.05% Sodium Azide

Concentration

1 mg/ml

Shipping

The product is shipped with polar packs. Upon receipt, store it immediately at the temperature recommended below.

Stability & Storage

Store at 4C short term. Aliquot and store at -20C long term. Avoid freeze-thaw cycles.

Background: PTPN14

The protein encoded by this gene is a member of the protein tyrosine phosphatase (PTP) family. PTPs are known to be signaling molecules that regulate a variety of cellular processes including cell growth, differentiation, mitotic cycle, and oncogenic transformation. This PTP contains an N-terminal noncatalytic domain similar to that of band 4.1 superfamily cytoskeleton-associated proteins, which suggested the membrane or cytoskeleton localization of this protein. It appears to regulate lymphatic development in mammals, and a loss of function mutation has been found in a kindred with a lymphedema-choanal atresia.;

Long Name

Protein Tyrosine Phosphatase Non-receptor Type 14

Alternate Names

PEZ

Gene Symbol

PTPN14

Additional PTPN14 Products

Product Documents for PTPN14/PTPD2 Antibody (2B3H7) - BSA Free

Certificate of Analysis

To download a Certificate of Analysis, please enter a lot number in the search box below.

Product Specific Notices for PTPN14/PTPD2 Antibody (2B3H7) - BSA Free

This product is for research use only and is not approved for use in humans or in clinical diagnosis. Primary Antibodies are guaranteed for 1 year from date of receipt.

Loading...
Loading...
Loading...
Loading...
Loading...