Skip to main content

PSP/BPIFA2 Antibody - BSA Free

Novus Biologicals, part of Bio-Techne | Catalog # NBP1-91704

Novus Biologicals, part of Bio-Techne
Catalog #
Availability
Size / Price
Qty
Loading...
NBP1-91704
NBP1-91704-25ul

Key Product Details

Validated by

Orthogonal Validation

Species Reactivity

Human

Applications

Immunohistochemistry, Immunohistochemistry-Paraffin

Label

Unconjugated

Antibody Source

Polyclonal Rabbit IgG

Format

BSA Free

Concentration

Concentrations vary lot to lot. See vial label for concentration. If unlisted please contact technical services.

Product Specifications

Immunogen

This antibody was developed against Recombinant Protein corresponding to amino acids: VDLGVLQKSSAWQLAKQKAQEAEKLLNNVISKLLPTNTDIFGLKISNSLILDVKAEPIDDGKGLNLSFPVTANVTVAGPIIGQII

Clonality

Polyclonal

Host

Rabbit

Isotype

IgG

Description

Novus Biologicals Rabbit PSP/BPIFA2 Antibody - BSA Free (NBP1-91704) is a polyclonal antibody validated for use in IHC. All Novus Biologicals antibodies are covered by our 100% guarantee.

Scientific Data Images for PSP/BPIFA2 Antibody - BSA Free

Immunohistochemistry-Paraffin: PSP/BPIFA2 Antibody [NBP1-91704]

Immunohistochemistry-Paraffin: PSP/BPIFA2 Antibody [NBP1-91704]

Immunohistochemistry-Paraffin: PSP/BPIFA2 Antibody [NBP1-91704] - Staining of human duodenum shows low expression as expected.
Immunohistochemistry-Paraffin: PSP/BPIFA2 Antibody [NBP1-91704]

Immunohistochemistry-Paraffin: PSP/BPIFA2 Antibody [NBP1-91704]

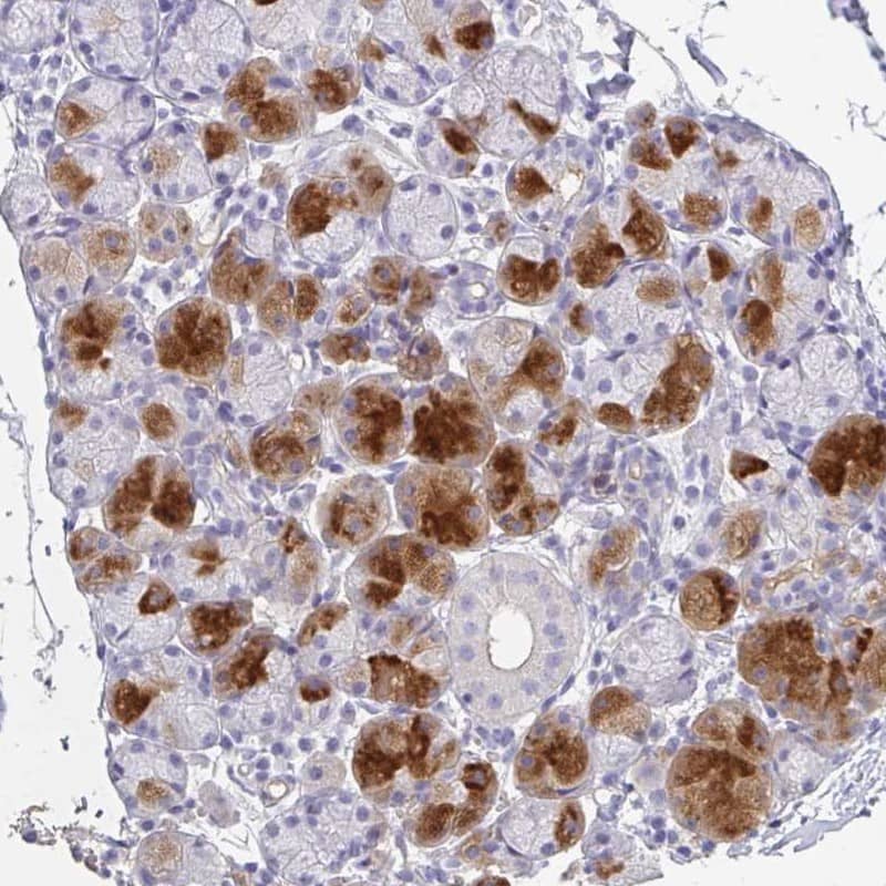
Immunohistochemistry-Paraffin: PSP/BPIFA2 Antibody [NBP1-91704] - Staining of human salivary gland shows strong cytoplasmic positivity in glandular cells.
Immunohistochemistry-Paraffin: PSP/BPIFA2 Antibody [NBP1-91704]

Immunohistochemistry-Paraffin: PSP/BPIFA2 Antibody [NBP1-91704]

Immunohistochemistry-Paraffin: PSP/BPIFA2 Antibody [NBP1-91704] - Staining in human salivary gland and duodenum tissues using anti-BPIFA2 antibody. Corresponding BPIFA2 RNA-seq data are presented for the same tissues.

Applications for PSP/BPIFA2 Antibody - BSA Free

Application
Recommended Usage

Immunohistochemistry

1:50 - 1:200

Immunohistochemistry-Paraffin

1:50 - 1:200
Application Notes
For IHC-Paraffin, HIER pH 6 retrieval is recommended.

Formulation, Preparation, and Storage

Purification

Immunogen affinity purified

Formulation

PBS (pH 7.2) and 40% Glycerol

Format

BSA Free

Preservative

0.02% Sodium Azide

Concentration

Concentrations vary lot to lot. See vial label for concentration. If unlisted please contact technical services.

Shipping

The product is shipped with polar packs. Upon receipt, store it immediately at the temperature recommended below.

Stability & Storage

Store at 4C short term. Aliquot and store at -20C long term. Avoid freeze-thaw cycles.

Background: PSP

Long Name

Parotid Secretory Protein

Alternate Names

BPIFA2, C20orf70, SPLUNC2

Gene Symbol

BPIFA2

Additional PSP Products

Product Documents for PSP/BPIFA2 Antibody - BSA Free

Certificate of Analysis

To download a Certificate of Analysis, please enter a lot number in the search box below.

Product Specific Notices for PSP/BPIFA2 Antibody - BSA Free

This product is for research use only and is not approved for use in humans or in clinical diagnosis. Primary Antibodies are guaranteed for 1 year from date of receipt.

Loading...
Loading...
Loading...
Loading...