Skip to main content

PRRC1 Antibody - BSA Free

Novus Biologicals, part of Bio-Techne | Catalog # NBP1-83514

Novus Biologicals, part of Bio-Techne
Catalog #
Availability
Size / Price
Qty
Loading...
NBP1-83514
NBP1-83514-25ul

Key Product Details

Species Reactivity

Validated:

Human

Predicted:

Mouse (98%), Rat (98%). Backed by our 100% Guarantee.

Applications

Immunohistochemistry, Immunohistochemistry-Paraffin, Western Blot

Label

Unconjugated

Antibody Source

Polyclonal Rabbit IgG

Format

BSA Free

Concentration

Concentrations vary lot to lot. See vial label for concentration. If unlisted please contact technical services.

Product Specifications

Immunogen

This antibody was developed against Recombinant Protein corresponding to amino acids: AFQEVFGLAVVVGEAGQSNIAPQPVGYAAGLKGAQERIDSLRRTGVIHEKQTAVSVENFIAELLPDKWFDIGCLVVEDPVH

Clonality

Polyclonal

Host

Rabbit

Isotype

IgG

Theoretical MW

47 kDa.
Disclaimer note: The observed molecular weight of the protein may vary from the listed predicted molecular weight due to post translational modifications, post translation cleavages, relative charges, and other experimental factors.

Description

Novus Biologicals Rabbit PRRC1 Antibody - BSA Free (NBP1-83514) is a polyclonal antibody validated for use in IHC and WB. All Novus Biologicals antibodies are covered by our 100% guarantee.

Scientific Data Images for PRRC1 Antibody - BSA Free

PRRC1 Antibody - BSA Free Western Blot: PRRC1 Antibody - BSA Free [NBP1-83514]

Western Blot: PRRC1 Antibody - BSA Free [NBP1-83514]

Analysis in human cell line RH-30.
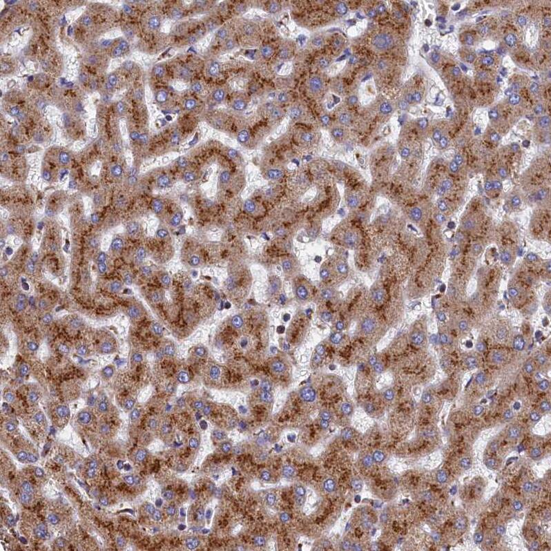
PRRC1 Antibody - BSA Free Immunohistochemistry-Paraffin: PRRC1 Antibody - BSA Free [NBP1-83514]

Immunohistochemistry-Paraffin: PRRC1 Antibody - BSA Free [NBP1-83514]

Staining of human liver shows strong cytoplasmic granular positivity in hepatocytes.
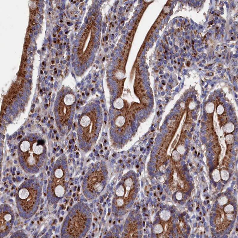
PRRC1 Antibody - BSA Free Immunohistochemistry-Paraffin: PRRC1 Antibody - BSA Free [NBP1-83514]

Immunohistochemistry-Paraffin: PRRC1 Antibody - BSA Free [NBP1-83514]

Staining of human duodenum shows strong cytoplasmic granular positivity in glandular cells.

Applications for PRRC1 Antibody - BSA Free

Application
Recommended Usage

Immunohistochemistry

1:500 - 1:1000

Immunohistochemistry-Paraffin

1:500 - 1:1000

Western Blot

0.04-0.4 ug/ml
Application Notes
For IHC-Paraffin, HIER pH 6 retrieval is recommended.

Formulation, Preparation, and Storage

Purification

Immunogen affinity purified

Formulation

PBS (pH 7.2) and 40% Glycerol

Format

BSA Free

Preservative

0.02% Sodium Azide

Concentration

Concentrations vary lot to lot. See vial label for concentration. If unlisted please contact technical services.

Shipping

The product is shipped with polar packs. Upon receipt, store it immediately at the temperature recommended below.

Stability & Storage

Store at 4C short term. Aliquot and store at -20C long term. Avoid freeze-thaw cycles.

Background: PRRC1

Alternate Names

proline-rich coiled-coil 1

Entrez Gene IDs

133619 (Human)

Gene Symbol

PRRC1

UniProt

Additional PRRC1 Products

Product Documents for PRRC1 Antibody - BSA Free

Certificate of Analysis

To download a Certificate of Analysis, please enter a lot number in the search box below.

Product Specific Notices for PRRC1 Antibody - BSA Free

This product is for research use only and is not approved for use in humans or in clinical diagnosis. Primary Antibodies are guaranteed for 1 year from date of receipt.

Loading...
Loading...
Loading...
Loading...