Skip to main content

PRPK Antibody - BSA Free

Novus Biologicals, part of Bio-Techne | Catalog # NBP3-24799

Novus Biologicals, part of Bio-Techne
Catalog #
Availability
Size / Price
Qty
Loading...
NBP3-24799

Key Product Details

Species Reactivity

Validated:

Human

Predicted:

Rat (90%). Backed by our 100% Guarantee.

Applications

Immunohistochemistry, Immunohistochemistry-Paraffin, Western Blot

Label

Unconjugated

Antibody Source

Polyclonal Rabbit IgG

Format

BSA Free

Concentration

Concentrations vary lot to lot. See vial label for concentration. If unlisted please contact technical services.

Product Specifications

Immunogen

This antibody has been engineered to specifically recognize the recombinant protein PRPK using the following amino acid sequence: FGLSFISALPEDKGVDLYVLEKAFLSTHPNTETVFEAFLKSYSTSSKKARPVLKKLDEVRLRGRKRSMVG

Clonality

Polyclonal

Host

Rabbit

Isotype

IgG

Description

Novus Biologicals Rabbit PRPK Antibody - BSA Free (NBP3-24799) is a polyclonal antibody validated for use in IHC and WB. All Novus Biologicals antibodies are covered by our 100% guarantee.

Scientific Data Images for PRPK Antibody - BSA Free

PRPK Antibody Western Blot: PRPK Antibody [NBP3-24799]

Western Blot: PRPK Antibody [NBP3-24799]

Analysis in human cell line RT-4 and human cell line U-251 MG.
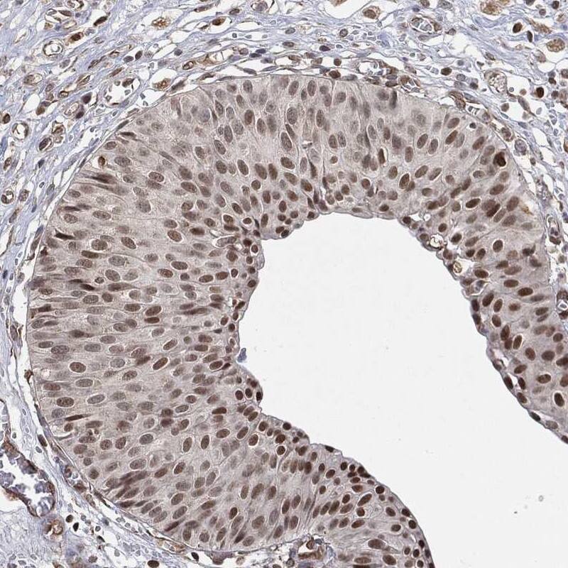
PRPK Antibody Immunohistochemistry-Paraffin: PRPK Antibody [NBP3-24799]

Immunohistochemistry-Paraffin: PRPK Antibody [NBP3-24799]

Staining of human urinary bladder shows nuclear positivity in urothelial cells.

Applications for PRPK Antibody - BSA Free

Application
Recommended Usage

Immunohistochemistry

1:50 - 1:200

Immunohistochemistry-Paraffin

1:50 - 1:200

Western Blot

0.04-0.4 µg/ml
Application Notes
For IHC-Paraffin, we recommend using Heat-Induced Epitope Retrieval (HIER) with a pH level of 6. This optimized retrieval method ensures the best results for your experiments.

Formulation, Preparation, and Storage

Purification

Affinity purified

Formulation

PBS (pH 7.2) and 40% Glycerol

Format

BSA Free

Preservative

0.02% Sodium Azide

Concentration

Concentrations vary lot to lot. See vial label for concentration. If unlisted please contact technical services.

Shipping

The product is shipped with polar packs. Upon receipt, store it immediately at the temperature recommended below.

Stability & Storage

Store at 4C short term. Aliquot and store at -20C long term. Avoid freeze-thaw cycles.

Background: PRPK

Protein kinase that phosphorylates 'Ser-15' of p53/TP53 protein and may therefore participate in itsactivation

Alternate Names

BUD32, C20orf64, chromosome 20 open reading frame 64, dJ101A2, dJ101A2.2, EC 2.7.11.1, Nori-2, Nori-2p, p53-related protein kinase, PRPK, TP53 regulating kinase, TP53-regulating kinase

Gene Symbol

TP53RK

Additional PRPK Products

Product Documents for PRPK Antibody - BSA Free

Certificate of Analysis

To download a Certificate of Analysis, please enter a lot number in the search box below.

Product Specific Notices for PRPK Antibody - BSA Free

This product is for research use only and is not approved for use in humans or in clinical diagnosis. Primary Antibodies are guaranteed for 1 year from date of receipt.

Loading...
Loading...
Loading...
Loading...