Skip to main content

PRPF39 Antibody

Novus Biologicals, part of Bio-Techne | Catalog # NBP3-48451

Novus Biologicals, part of Bio-Techne
Catalog #
Availability
Size / Price
Qty
Loading...
NBP3-48451

Key Product Details

Species Reactivity

Human

Applications

Immunohistochemistry, Immunohistochemistry-Paraffin, Western Blot

Label

Unconjugated

Antibody Source

Polyclonal Rabbit IgG

Concentration

Concentrations vary lot to lot. See vial label for concentration. If unlisted please contact technical services.

Product Specifications

Immunogen

Recombinant protein encompassing a sequence within the center region of human PRPF39. The exact sequence is proprietary.

Clonality

Polyclonal

Host

Rabbit

Isotype

IgG

Description

Novus Biologicals Rabbit PRPF39 Antibody (NBP3-48451) is a polyclonal antibody validated for use in IHC and WB. All Novus Biologicals antibodies are covered by our 100% guarantee.

Scientific Data Images for PRPF39 Antibody

PRPF39 Antibody

Immunohistochemistry: PRPF39 Antibody [NBP3-48451] -

Immunohistochemical analysis of paraffin-embedded Cal27 xenograft , using PRPF39(NBP3-48451) antibody at 1:500 dilution. ^[^GTX]br>Antigen Retrieval: Citrate buffer, pH 6.0, 15 min
PRPF39 Antibody

Western Blot: PRPF39 Antibody [NBP3-48451] -

Sample (30 ug of whole cell lysate)
A: Raji
7.5% SDS PAGE
NBP3-48451 diluted at 1:1000
PRPF39 Antibody

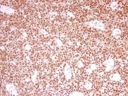
Immunohistochemistry-Paraffin: PRPF39 Antibody [NBP3-48451] -

PRPF39 antibody [N2C1], Internal detects PRPF39 protein at nucleus in human lung carcinoma by immunohistochemical analysis.
Sample: Paraffin-embedded human lung carcinoma.
PRPF39 antibody [N2C1], Internal (NBP3-48451) diluted at 1:250.
^[^GTX]br>Antigen Retrieval: Citrate buffer, pH 6.0, 15 min

Applications for PRPF39 Antibody

Application
Recommended Usage

Immunohistochemistry-Paraffin

1:100-1:1000

Western Blot

1:500-1:10000

Formulation, Preparation, and Storage

Purification

Antigen Affinity-purified

Formulation

PBS, 1% BSA, 20% Glycerol

Preservative

0.01% Thimerosal

Concentration

Concentrations vary lot to lot. See vial label for concentration. If unlisted please contact technical services.

Shipping

The product is shipped with polar packs. Upon receipt, store it immediately at the temperature recommended below.

Stability & Storage

Store at 4C short term. Aliquot and store at -20C long term. Avoid freeze-thaw cycles.

Background: PRPF39

Alternate Names

FLJ11128, FLJ20666, FLJ45460, MGC149842, MGC149843, pre-mRNA-processing factor 39, PRP39 homolog, PRP39 pre-mRNA processing factor 39 homolog (S. cerevisiae), PRP39 pre-mRNA processing factor 39 homolog (yeast)

Gene Symbol

PRPF39

Additional PRPF39 Products

Product Documents for PRPF39 Antibody

Certificate of Analysis

To download a Certificate of Analysis, please enter a lot number in the search box below.

Product Specific Notices for PRPF39 Antibody

This product is for research use only and is not approved for use in humans or in clinical diagnosis. Primary Antibodies are guaranteed for 1 year from date of receipt.

Loading...
Loading...
Loading...
Loading...