PRP19 Antibody - BSA Free
Novus Biologicals, part of Bio-Techne | Catalog # NBP3-35253
Key Product Details
Species Reactivity
Human, Mouse, Rat
Applications
Immunohistochemistry, Immunohistochemistry-Paraffin, Western Blot, ELISA, Immunocytochemistry/ Immunofluorescence, Immunoprecipitation
Label
Unconjugated
Antibody Source
Polyclonal Rabbit IgG
Format
BSA Free
Concentration
Please see the vial label for concentration. If unlisted please contact technical services.
Product Specifications
Immunogen
Recombinant fusion protein containing a sequence corresponding to amino acids 127-416 of human PRP19 (NP_055317.1).
Sequence:
AREALATLKPQAGLIVPQAVPSSQPSVVGAGEPMDLGELVGMTPEIIQKLQDKATVLTTERKKRGKTVPEELVKPEELSKYRQVASHVGLHSASIPGILALDLCPSDTNKILTGGADKNVVVFDKSSEQILATLKGHTKKVTSVVFHPSQDLVFSASPDATIRIWSVPNASCVQVVRAHESAVTGLSLHATGDYLLSSSDDQYWAFSDIQTGRVLTKVTDETSGCSLTCAQFHPDGLIFGTGTMDSQIKIWDLKERTNVANFPGHSGPITSIAFSENGYYLATAADDSSV
Sequence:
AREALATLKPQAGLIVPQAVPSSQPSVVGAGEPMDLGELVGMTPEIIQKLQDKATVLTTERKKRGKTVPEELVKPEELSKYRQVASHVGLHSASIPGILALDLCPSDTNKILTGGADKNVVVFDKSSEQILATLKGHTKKVTSVVFHPSQDLVFSASPDATIRIWSVPNASCVQVVRAHESAVTGLSLHATGDYLLSSSDDQYWAFSDIQTGRVLTKVTDETSGCSLTCAQFHPDGLIFGTGTMDSQIKIWDLKERTNVANFPGHSGPITSIAFSENGYYLATAADDSSV
Clonality
Polyclonal
Host
Rabbit
Isotype
IgG
Theoretical MW
55 kDa.
Disclaimer note: The observed molecular weight of the protein may vary from the listed predicted molecular weight due to post translational modifications, post translation cleavages, relative charges, and other experimental factors.
Disclaimer note: The observed molecular weight of the protein may vary from the listed predicted molecular weight due to post translational modifications, post translation cleavages, relative charges, and other experimental factors.
Description
Novus Biologicals Rabbit PRP19 Antibody - BSA Free (NBP3-35253) is a polyclonal antibody validated for use in IHC, WB, ELISA, ICC/IF and IP. All Novus Biologicals antibodies are covered by our 100% guarantee.
Scientific Data Images for PRP19 Antibody - BSA Free
Immunohistochemistry: PRP19 Antibody [NBP3-35253] -
Immunohistochemistry: PRP19 Antibody [NBP3-35253] - Immunohistochemistry analysis of paraffin-embedded Human lung cancer using PRP19 Rabbit pAb at dilution of 1:100 (40x lens). Microwave antigen retrieval performed with 0.01M PBS Buffer (pH 7.2) prior to IHC staining.Immunohistochemistry: PRP19 Antibody [NBP3-35253] -
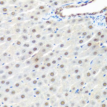
Immunohistochemistry: PRP19 Antibody [NBP3-35253] - Immunohistochemistry analysis of paraffin-embedded Rat liver using PRP19 Rabbit pAb at dilution of 1:100 (40x lens). Microwave antigen retrieval performed with 0.01M PBS Buffer (pH 7.2) prior to IHC staining.Immunohistochemistry: PRP19 Antibody [NBP3-35253] -
Immunohistochemistry: PRP19 Antibody [NBP3-35253] - Immunohistochemistry analysis of paraffin-embedded Human stomach using PRP19 Rabbit pAb at dilution of 1:100 (40x lens). Microwave antigen retrieval performed with 0.01M PBS Buffer (pH 7.2) prior to IHC staining.Applications for PRP19 Antibody - BSA Free
Application
Recommended Usage
Immunocytochemistry/ Immunofluorescence
1:50 - 1:200
Immunohistochemistry-Paraffin
1:50 - 1:200
Immunoprecipitation
0.5ug - 4ug antibody for 200ug - 400ug extracts of whole cells
Western Blot
1:500 - 1:2000
Formulation, Preparation, and Storage
Purification
Affinity purified
Formulation
PBS (pH 7.3), 50% glycerol
Format
BSA Free
Preservative
0.02% Sodium Azide
Concentration
Please see the vial label for concentration. If unlisted please contact technical services.
Shipping
The product is shipped with polar packs. Upon receipt, store it immediately at the temperature recommended below.
Stability & Storage
Store at -20C. Avoid freeze-thaw cycles.
Background: PRP19
Alternate Names
hPso4, NMP200SNEV, Nuclear matrix protein 200, nuclear matrix protein NMP200 related to splicing factor PRP19, pre-mRNA-processing factor 19, PRP19/PSO4 pre-mRNA processing factor 19 homolog (S. cerevisiae), PRP19PRP19/PSO4 homolog (S. cerevisiae), PSO4PRP19/PSO4 homolog, Senescence evasion factor, UBOX4
Gene Symbol
PRPF19
Additional PRP19 Products
Product Documents for PRP19 Antibody - BSA Free
Product Specific Notices for PRP19 Antibody - BSA Free
This product is for research use only and is not approved for use in humans or in clinical diagnosis. Primary Antibodies are guaranteed for 1 year from date of receipt.
Loading...
Loading...
Loading...
Loading...