Skip to main content

Protein O-Glucosyltransferase 1/POGLUT1/KTELC1 Antibody - BSA Free

Novus Biologicals, part of Bio-Techne | Catalog # NBP1-90311

Novus Biologicals, part of Bio-Techne
Catalog #
Availability
Size / Price
Qty
Loading...
NBP1-90311
NBP1-90311-25ul

Key Product Details

Species Reactivity

Validated:

Human, Mouse

Cited:

Human, Mouse

Applications

Validated:

Immunohistochemistry, Immunohistochemistry-Paraffin, Western Blot

Cited:

Immunohistochemistry-Paraffin, Western Blot, IF/IHC

Label

Unconjugated

Antibody Source

Polyclonal Rabbit IgG

Format

BSA Free

Concentration

Concentrations vary lot to lot. See vial label for concentration. If unlisted please contact technical services.

Product Specifications

Immunogen

This antibody was developed against Recombinant Protein corresponding to amino acids: VQELLQFVKANDDVAQEIAERGSQFIRNHLQMDDITCYWENLLSEYSKFLSYNVTRRKGYDQIIPKMLKTEL

Reactivity Notes

Immunogen displays the following percentage of sequence identity for non-tested species: Rat (89%). Mouse reactivity reported in scientific literature (PMID: 29953591).

Clonality

Polyclonal

Host

Rabbit

Isotype

IgG

Description

Novus Biologicals Rabbit Protein O-Glucosyltransferase 1/POGLUT1/KTELC1 Antibody - BSA Free (NBP1-90311) is a polyclonal antibody validated for use in IHC and WB. Anti-Protein O-Glucosyltransferase 1/POGLUT1/KTELC1 Antibody: Cited in 3 publications. All Novus Biologicals antibodies are covered by our 100% guarantee.

Scientific Data Images for Protein O-Glucosyltransferase 1/POGLUT1/KTELC1 Antibody - BSA Free

Immunohistochemistry-Paraffin: Protein O-Glucosyltransferase 1/POGLUT1/KTELC1 Antibody [NBP1-90311]

Immunohistochemistry-Paraffin: Protein O-Glucosyltransferase 1/POGLUT1/KTELC1 Antibody [NBP1-90311]

Immunohistochemistry-Paraffin: Protein O-Glucosyltransferase 1/POGLUT1/KTELC1 Antibody [NBP1-90311] - Staining of human kidney shows weak cytoplasmic positivity in cells in tubules.
Immunohistochemistry-Paraffin: Protein O-Glucosyltransferase 1/POGLUT1/KTELC1 Antibody [NBP1-90311]

Immunohistochemistry-Paraffin: Protein O-Glucosyltransferase 1/POGLUT1/KTELC1 Antibody [NBP1-90311]

Immunohistochemistry-Paraffin: Protein O-Glucosyltransferase 1/POGLUT1/KTELC1 Antibody [NBP1-90311] - Staining of human liver shows no positivity in hepatocytes as expected.
Protein O-Glucosyltransferase 1/POGLUT1/KTELC1 Antibody - BSA Free Immunohistochemistry: Protein O-Glucosyltransferase 1/POGLUT1/KTELC1 Antibody - BSA Free [NBP1-90311]

Immunohistochemistry: Protein O-Glucosyltransferase 1/POGLUT1/KTELC1 Antibody - BSA Free [NBP1-90311]

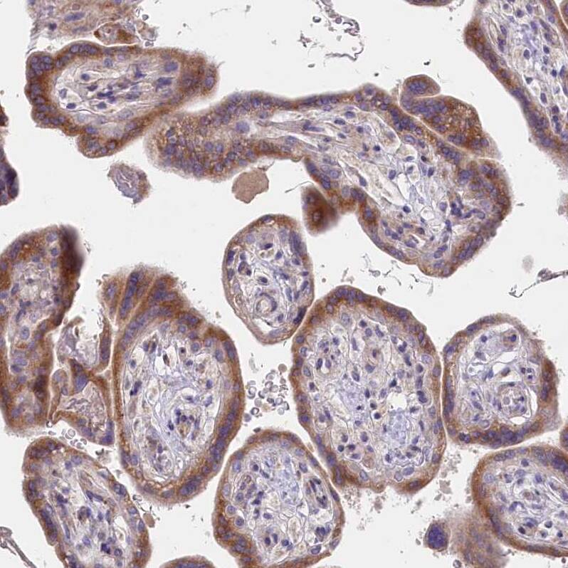
Staining of human placenta shows moderate cytoplasmic positivity in trophoblastic cells.

Applications for Protein O-Glucosyltransferase 1/POGLUT1/KTELC1 Antibody - BSA Free

Application
Recommended Usage

Immunohistochemistry

1:500 - 1:1000

Immunohistochemistry-Paraffin

1:500-1:1000

Western Blot

0.04-0.4 ug/ml
Application Notes
For IHC-Paraffin, HIER pH 6 retrieval is recommended.

Formulation, Preparation, and Storage

Purification

Affinity purified

Formulation

PBS (pH 7.2) and 40% Glycerol

Format

BSA Free

Preservative

0.02% Sodium Azide

Concentration

Concentrations vary lot to lot. See vial label for concentration. If unlisted please contact technical services.

Shipping

The product is shipped with polar packs. Upon receipt, store it immediately at the temperature recommended below.

Stability & Storage

Store at 4C short term. Aliquot and store at -20C long term. Avoid freeze-thaw cycles.

Background: Protein O-Glucosyltransferase 1/POGLUT1

KTELC1 may be involved in important physiological functions in the liver

Alternate Names

CLP46, KDELCL1, KTELC1, MDS010, MDSRP, POGLUT1, Rumi

Gene Symbol

POGLUT1

Additional Protein O-Glucosyltransferase 1/POGLUT1 Products

Product Documents for Protein O-Glucosyltransferase 1/POGLUT1/KTELC1 Antibody - BSA Free

Certificate of Analysis

To download a Certificate of Analysis, please enter a lot number in the search box below.

Product Specific Notices for Protein O-Glucosyltransferase 1/POGLUT1/KTELC1 Antibody - BSA Free

This product is for research use only and is not approved for use in humans or in clinical diagnosis. Primary Antibodies are guaranteed for 1 year from date of receipt.

Loading...
Loading...
Loading...
Loading...